症例詳細
Case detail
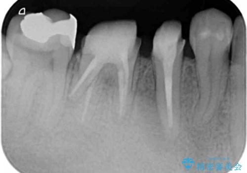
深い虫歯 セラミッククラウンの精度を高める歯周外科手術
治療症例の内容
- 患者様
- 20代男性
- 治療期間
- 8ヶ月
- 治療回数
- 5-10回
- 治療計画
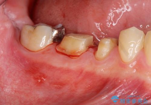
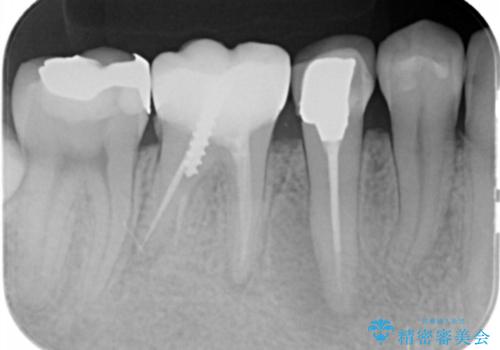
- 歯ぐきからの排膿や出血、根尖病変の存在により他院で抜歯を提案され、歯を残す方はないかと当院に相談に見えました。
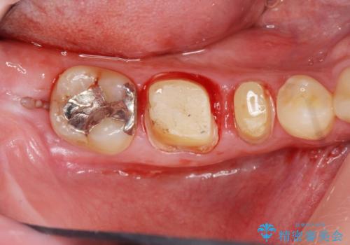
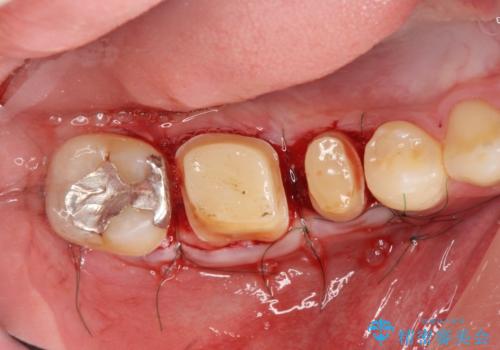
マイクロスコープを用いた根管治療を行ったのち、深い虫歯に起因する歯ぐきの腫れ・出血を改善すべく歯周外科を行いました。
歯周組織が落ち着くのを待ち、セラミッククラウンで機能・審美性を改善します。
- 費用(概算)
- 37.4万円(ジルコニアクラウン×2・仮歯×2・歯周外科)費用は治療当時の料金となります
治療について
歯内・歯周環境が整備されたことで長期的な予後の期待できるセラミック治療を行うことができました。
外科処置の注意事項(リスク・副作用など)
- 外科手術のため、術後に出血、痛みや腫れ、違和感を伴います
- 口腔内の状態によっては適応できないことがあります
セラミック治療の注意事項(リスク・副作用など)
- 天然歯を削ります
- 硬い素材は天然歯を傷つけてしまう場合があります
- かみ合わせや歯ぎしりが強すぎる方はセラミックが割れてしまう可能性があります
- 自費診療(保険適用外治療)となります
当サイトの内容、テキスト、画像等の無断転載、複製、複写、盗用を固く禁じます。













