症例詳細
Case detail
歯周外科処置を併用した奥歯のむし歯治療
治療症例の内容
- 診療科目
- 治療カテゴリ
- 担当医
- 藤巻太一朗(ドクタープロフィール)
- 患者様
- 30代女性
- 治療期間
- 7ヶ月
- 治療回数
- 5-10回
- 治療計画
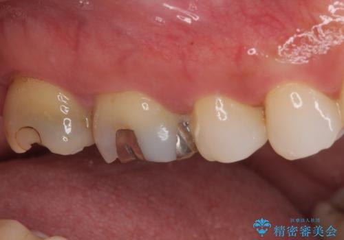
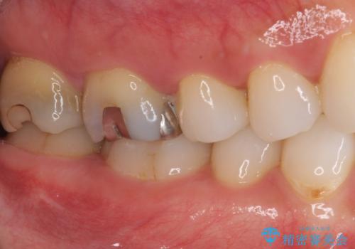
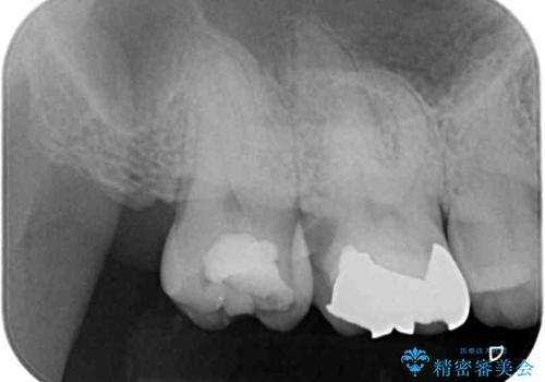
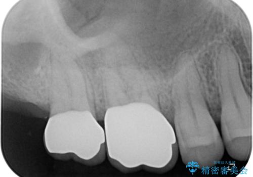
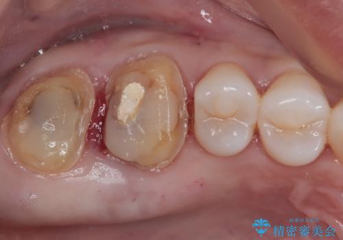
- むし歯治療途中で放置していた奥歯から、歯磨きの度に出血するとのことで来院された患者様です。
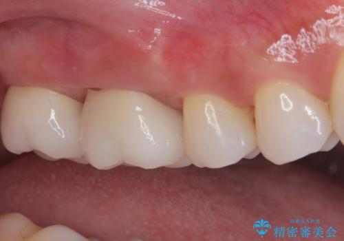
隣接する部分の間のむし歯が歯肉の奥深くにまで及んでおり、歯肉が腫れやすい状態となっていたため、歯肉の切除並びに歯槽骨の形態修正を行い、虫歯が歯肉の外に出てくるようにした上で、オールセラミックにて補綴することとしました。
- 費用(概算)
- 治療費の目安: 35万円(税込)費用は治療当時の料金となります
治療について
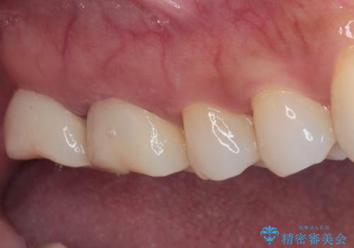
歯間ブラシを通す度に出血をするのは、ご自身の磨き方が悪いからと思っていらっしゃいましたが、治療後は全く出血することがなくなり、患者様には大変満足していただきました。
セラミック治療の注意事項(リスク・副作用など)
- 天然歯を削ります
- 硬い素材は天然歯を傷つけてしまう場合があります
- かみ合わせや歯ぎしりが強すぎる方はセラミックが割れてしまう可能性があります
- 自費診療(保険適用外治療)となります
外科処置の注意事項(リスク・副作用など)
- 外科手術のため、術後に出血、痛みや腫れ、違和感を伴います
- 口腔内の状態によっては適応できないことがあります
当サイトの内容、テキスト、画像等の無断転載、複製、複写、盗用を固く禁じます。














