症例詳細
Case detail
変色と捻れた前歯 オールセラミッククラウン補綴治療
治療症例の内容
- 診療科目
- 治療カテゴリ
- 担当医
- 藤巻太一朗(ドクタープロフィール)
- 患者様
- 30代女性
- 治療期間
- 1ヶ月
- 治療回数
- 2-5回
- 治療計画
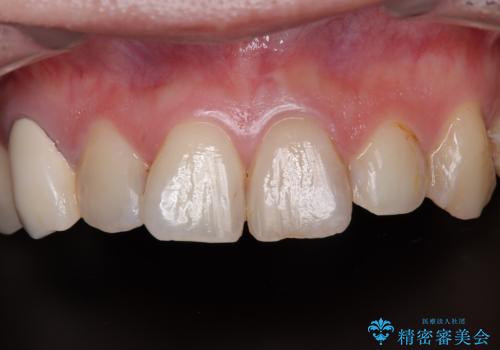
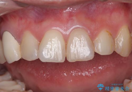
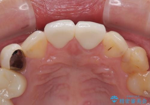
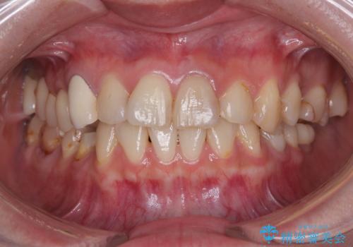
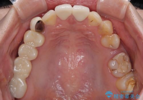
- むし歯により神経を取り除く処置をした歯と隣接する歯の捻れを気にして来院された患者様です。
神経を取り除いた歯は変色が始まっており、隣の歯は捻れにより突出している印象であったので、前歯2歯をオールセラミッククラウンにて補綴することとしました。
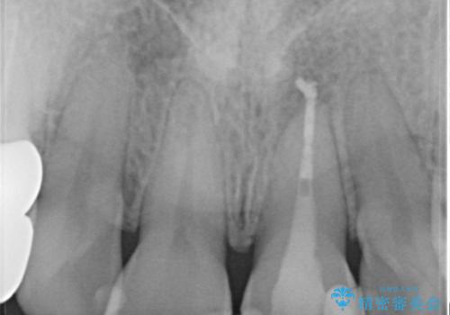
捻れている歯は、神経が露出する可能性があり、その場合には根管治療が必要となります。
- 費用(概算)
- 治療費の目安: 26万円(税込)費用は治療当時の料金となります
治療について
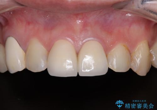
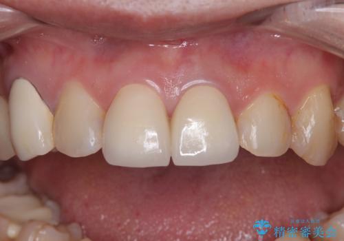
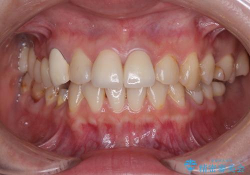
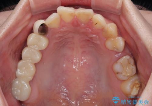
神経が露出しないよう慎重に行った結果、神経を保存することができました。処置後に多少の痛みが生じましたが、その後は良好な状態が続いています。
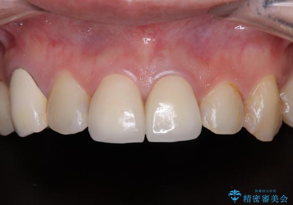
色、形ともに、自然な仕上がりとなり、患者様には大変満足していただきました。
セラミック治療の注意事項(リスク・副作用など)
- 天然歯を削ります
- 硬い素材は天然歯を傷つけてしまう場合があります
- かみ合わせや歯ぎしりが強すぎる方はセラミックが割れてしまう可能性があります
- 自費診療(保険適用外治療)となります
当サイトの内容、テキスト、画像等の無断転載、複製、複写、盗用を固く禁じます。












