症例詳細
Case detail
くちばしのような前歯 抜歯矯正で口を閉じやすく
治療症例の内容
- 診療科目
- 治療カテゴリ
- 担当医
- 藤巻太一朗(ドクタープロフィール)
- 患者様
- 30代女性
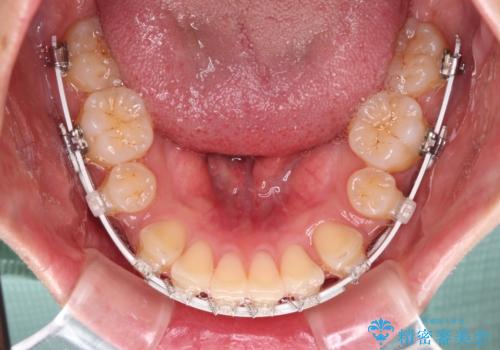
- 矯正装置
- 審美装置
- 治療期間
- 3年6ヶ月
- 治療回数
- 30回以上
- 治療計画
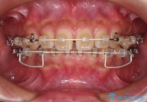
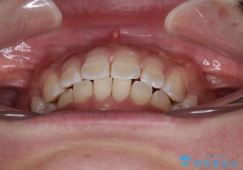
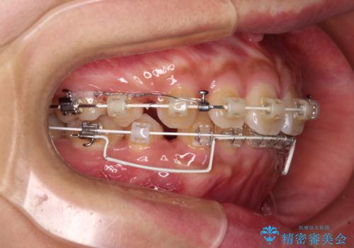
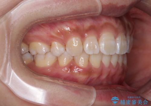
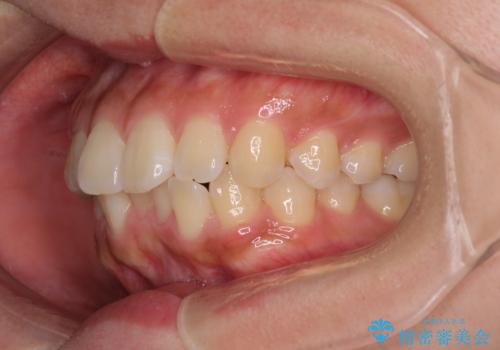
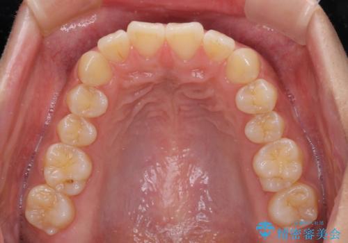
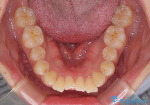
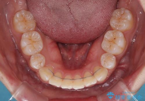
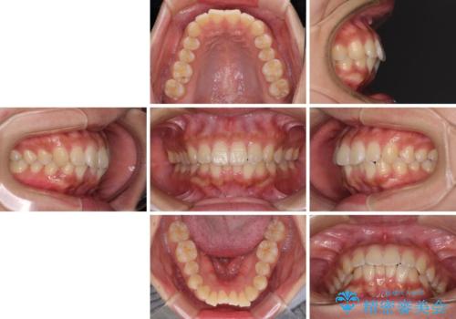
- 前歯の突出感を気にして来院された患者様です。
咬合力が非常に強く、咬合力で前歯が前方に押し広げられており、上下唇に閉じにくさが認められました。
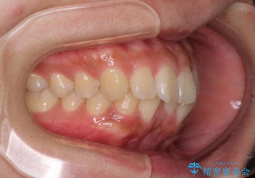
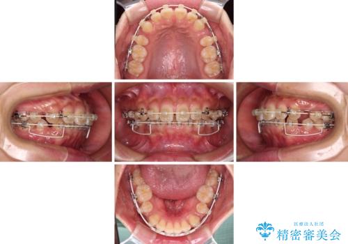
上下左右の第一小臼歯4本を抜歯し、ワイヤー装置にて矯正治療を行うこととしました。
- 費用(概算)
- 治療費の目安: 105万円(税込)費用は治療当時の料金となります
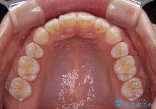
治療について
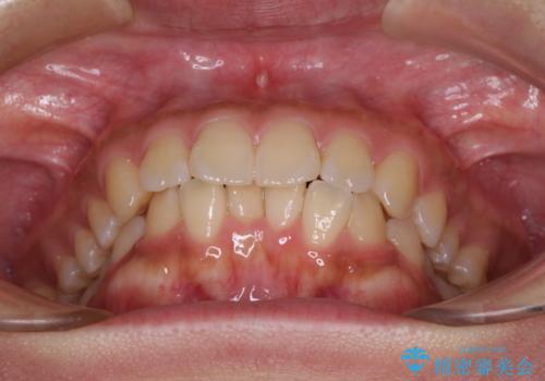
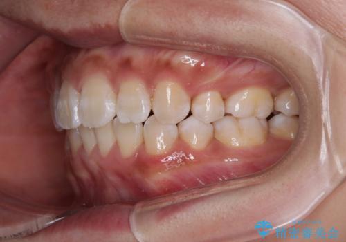
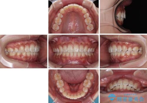
強い咬合力により前歯の隙間がなかなか閉じられず、治療期間は長いものとなりましたが、横顔の印象が大きく変わるほど口元の印象を改善することができました。
ワイヤー矯正の注意事項(リスク・副作用など)
- 治療中は違和感や痛みが起こることがあります
- 症状により、抜歯が必要な場合があります
- 治療中は歯磨きがしにくくなるため、虫歯や歯周病になりやすくなります
- 矯正治療後の保定が不十分だと後戻り(元の位置に戻ろうとする動き)をします
- 自費診療(保険適用外)となります
当サイトの内容、テキスト、画像等の無断転載、複製、複写、盗用を固く禁じます。


























