症例詳細
Case detail
咬合力で欠けてしまった歯 丈夫なセラミッククラウンでの補綴治療
治療症例の内容
- 診療科目
- 治療カテゴリ
- 担当医
- 藤巻太一朗(ドクタープロフィール)
- 患者様
- 50代男性
- 治療期間
- 1ヶ月
- 治療回数
- 2-5回
- 治療計画
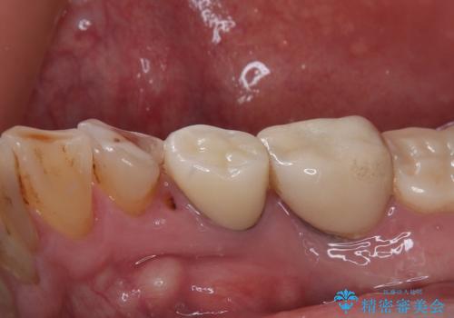
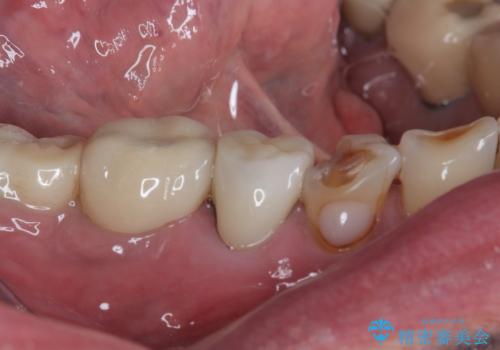
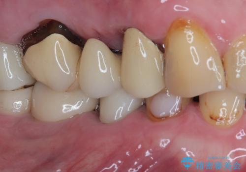
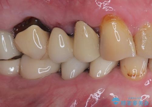
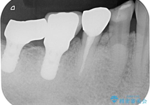
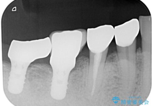
- 食事中に歯が欠けてしまったとのことで来院された患者様です。
以前詰めた材料が外れたか、歯が欠けたのかは分かりませんが、欠損している状態でした。
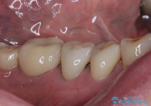
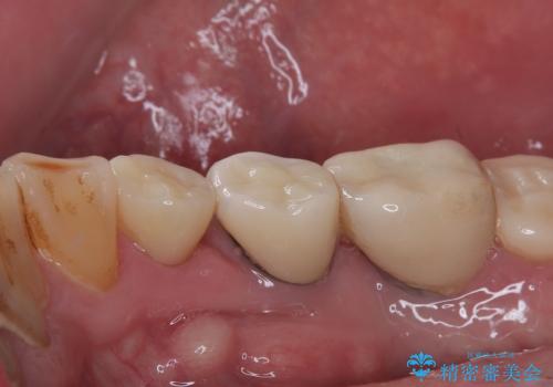
再度詰め物での処置を行うと引き続き欠けるリスクが高いため、高強度のフルジルコニアクラウンにて補綴治療を行うこととしました。
- 費用(概算)
- 治療費の目安: 10万円(税込)費用は治療当時の料金となります
治療について
フルジルコニアクラウンは高強度であるため、クラウンの破損リスクは低減されましたが、失活歯(神経を取り除いた)では歯根破折リスクが高いとされており、抜歯の可能性が高まるため適用されません。
セラミック治療の注意事項(リスク・副作用など)
- 天然歯を削ります
- 硬い素材は天然歯を傷つけてしまう場合があります
- かみ合わせや歯ぎしりが強すぎる方はセラミックが割れてしまう可能性があります
- 自費診療(保険適用外治療)となります
当サイトの内容、テキスト、画像等の無断転載、複製、複写、盗用を固く禁じます。










