症例詳細
Case detail
【根管治療】他院でインプラントの提案があった。奥歯が痛い。
治療症例の内容
- 診療科目
- 治療カテゴリ
- 担当医
- 河口智英(ドクタープロフィール)
- 患者様
- 30代男性
- 治療期間
- 3ヶ月
- 治療回数
- 2-5回
- 治療計画
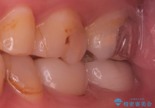
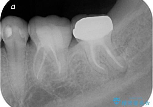
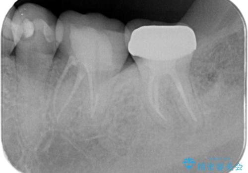
- 左下の奥歯の治療の継続を主訴に来院されました。
1週間ほど前に、自発痛の既往があり他院で応急処置を行ってもらったとのことです。
そこでは、抜歯してインプラントの治療を提案されたとのことです。
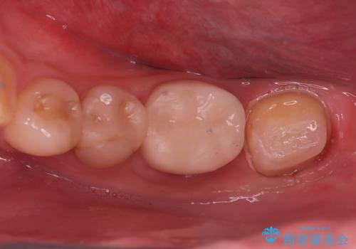
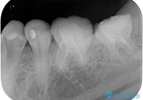
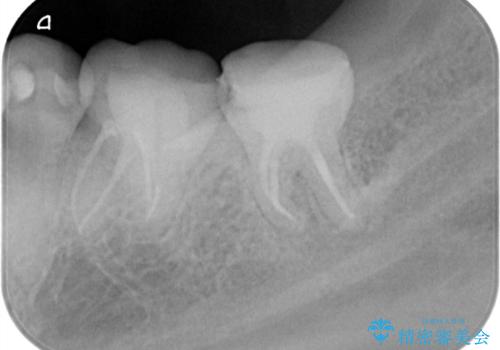
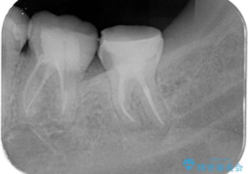
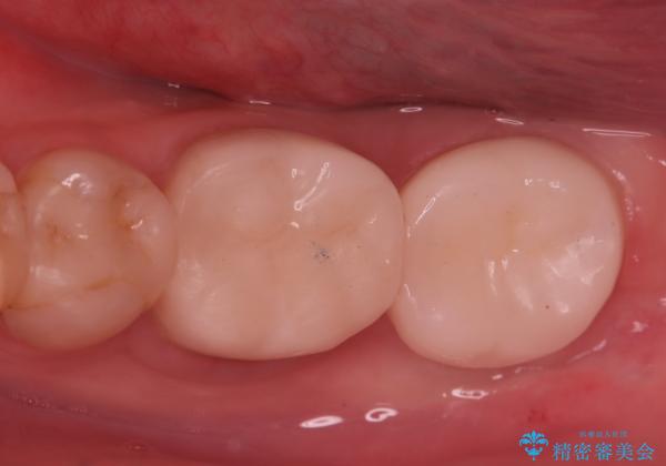
レントゲンや口腔内所見にて以下のような説明ののち、患者様が保存を希望されたため、当院では根管治療~オールセラミッククラウンにて修復処置を行いました。痛みも消えて、経過良好です。
- 費用(概算)
- 30万円費用は治療当時の料金となります
治療について
(以下説明)
治療選択肢として、①何もしない、②根管治療、③抜歯を説明した。
根尖部に透過像を認め、①何もしないと今後の経過として痛みが増悪することや、腫脹を伴うことがある。
病気の原因は細菌であるため、細菌数を減らすための処置として一般的に②根管治療という選択肢がある。再根管治療の場合は病気が治るのは7割ぐらいであり、それでも治らない場合は意図的再植術を行い9割近くまで成功率を高めることができる。ただし、今回のケースでは根尖が湾曲しているため意図的再植時の破折リスクが高いため適応は難しい。また、根尖の病変が治ったとしても、歯周病、カリエス、脱離や破折リスクがあり治療後抜歯になる可能性もある。治らない可能性や治療したとしても抜歯になる可能性があることを考慮し、③抜歯の選択肢をとる場合もある。
治療の選択をするうえで、患者さんは、費用対効果を悪く感じるリスクがあるということを、どの程度許容できるかということを考慮する必要がある。
それまでにかかった金額や来院回数、時間、身体的負担などのコスト(費用)に対し、どのぐらいの期間保存できる(効果)かを費用対効果と呼ぶ。例えば、30万円の治療をした歯が、30年保存できることもあれば、1年で割れて抜歯になってしまうこともある。患者さんの治療に対する効果の期待値が10年だった場合、30年保存できれば費用対効果を悪く感じない結果だが、1年しか保存できなければ、費用対効果を悪く感じる結果となる。
であるならば、抜歯してインプラントも悪い選択肢とは言えないが、インプラント治療も同様に一生保存できると確約はできない。そのため、自分が患者の立場であるならば、少しでも長く自分の歯を保存し、最後の手段でインプラントを行う。そのためにできるだけのことをする。費用対効果が悪く感じるリスクがあったとしても、自分の歯を保存する価値は高いと考える。
今回の患者さんも同様に考えていたため、保存治療となったが、治療選択は患者さんの状況と術者の説明で変わるものである。
根管治療の注意事項(リスク・副作用など)
- 根管治療により類似の全ての症例の問題が解決するわけではなく、症例はあくまでも一例です
- 根管治療により痛みや腫れがひかない事や、術後に痛みや腫れが生じる事、治療によるファイル破折やパーフォレーションなどの偶発症、術後の歯根破折を生じる可能性もあります
- 自費診療(保険適用外)となります
当サイトの内容、テキスト、画像等の無断転載、複製、複写、盗用を固く禁じます。





















