症例詳細
Case detail
【審美修復】被せ物のみの治療
治療症例の内容
- 診療科目
- 治療カテゴリ
- 担当医
- 河口智英(ドクタープロフィール)
- 患者様
- 20代女性
- 治療期間
- 1ヶ月
- 治療回数
- 2-5回
- 治療計画
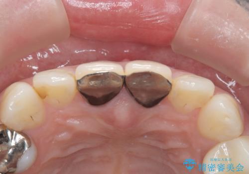
- 前歯の変色を主訴に来院されました。
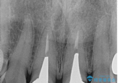
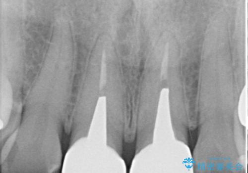
根管治療、土台のやりかえも提案しましたが、金銭的理由より、クラウンのみの修復としています。
今後痛みが出た場合は、外科的歯内療法での対応を希望されています。
- 費用(概算)
- 24万円費用は治療当時の料金となります
治療について
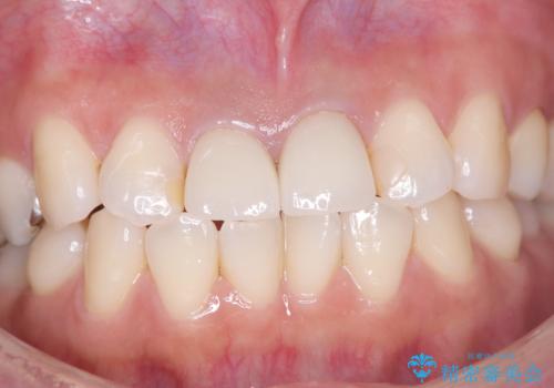
被せ物のマージンラインは歯肉縁より少し下に隠すようにしています。
セラミック治療の注意事項(リスク・副作用など)
- 天然歯を削ります
- 硬い素材は天然歯を傷つけてしまう場合があります
- かみ合わせや歯ぎしりが強すぎる方はセラミックが割れてしまう可能性があります
- 自費診療(保険適用外治療)となります
当サイトの内容、テキスト、画像等の無断転載、複製、複写、盗用を固く禁じます。












