症例詳細
Case detail
不自然な前歯の被せものをやり替えたい
治療症例の内容
- 診療科目
- 治療カテゴリ
- 担当医
- 齋藤佑磨(ドクタープロフィール)
- 患者様
- 30代女性
- 治療期間
- 2ヶ月
- 治療回数
- 2-5回
- 治療計画
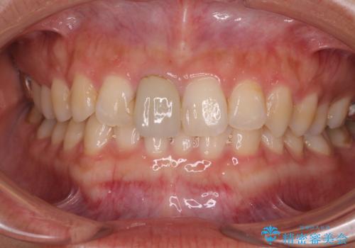
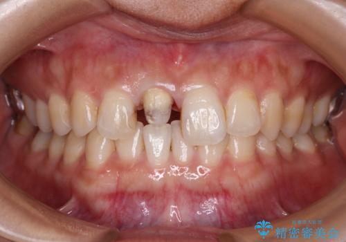
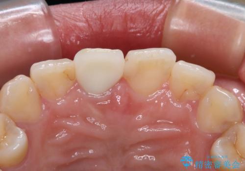
- 数年前に他院で治療した右上の前歯の色が不自然なことを主訴として来院された患者様です。
隣在歯と色、形ともに合っていません。
また、被せものと土台の境目が歯肉よりも上に見えていて、段差になっています。
そのため審美性、清掃性どちらの観点からもあまりよくない状態です。
不適合な被せものを除去し、土台の歯の形を修正し、精度の高いシリコーンによる型どりをしました。
- 費用(概算)
- 17万円(税込)費用は治療当時の料金となります
治療について
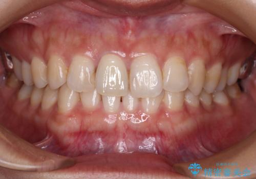
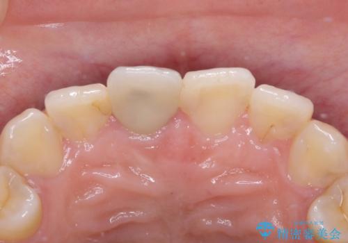
色、形ともに自然で嬉しいですと笑顔で言っていただけました。
セラミック治療の注意事項(リスク・副作用など)
- 天然歯を削ります
- 硬い素材は天然歯を傷つけてしまう場合があります
- かみ合わせや歯ぎしりが強すぎる方はセラミックが割れてしまう可能性があります
- 自費診療(保険適用外治療)となります
当サイトの内容、テキスト、画像等の無断転載、複製、複写、盗用を固く禁じます。











