症例詳細
Case detail
1DAYインプラント 破折して痛みの強い歯 抜歯即時埋入で抜歯した日に仮歯を装着
治療症例の内容
- 担当医
- 藤巻太一朗(ドクタープロフィール)
- 患者様
- 40代女性
- 治療期間
- 3ヶ月
- 治療回数
- 5-10回
- 治療計画
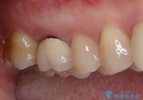
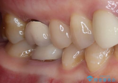
- 眠れないほどの激痛で、噛むと涙が出るほど痛むとのことで来院された患者様です。
咬合力が極めて強く、診査の結果、強大な咬合力により歯内の神経組織が炎症を起こしていることが予想されました。
神経組織は失活しておらず、冷たいもの対する痛みはそれほど強いものではなかったので、場合によっては歯が破折しており、抜歯が必要となる可能性が示唆されました。
患者様と相談し、まずは神経組織を取り除く前提で処置を開始し、その過程で歯の破折が認められた場合には抜歯することとしました。
抜歯となった場合には、咬合力が強大であることと、嘔吐反射が強いため、処置の回数を極力減らし、速やかに咬合回復をさせることが望ましいと判断し、抜歯即時埋入・即時加重を前提とした処置を行うこととしました。
- 費用(概算)
- 治療費の目安: 45万円(税込)費用は治療当時の料金となります
治療について
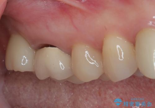
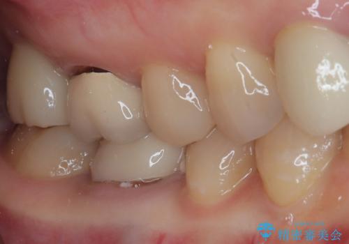
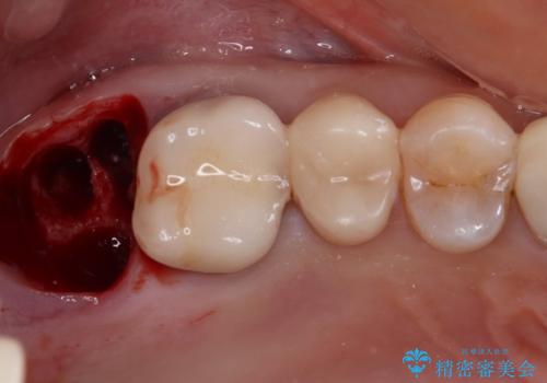
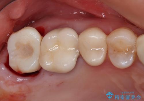
残念ながら歯冠から歯根に向かって破折が認められたため、患者様了解のもと、抜歯してインプラントの即時埋入を行いました。
インプラントと骨の安定程度を測定したところ、十分な数値が得られたため、速やかに仮歯を装着して咬合回復をさせることができました。
抜歯を含めた外科処置を1回に抑えることができ、あっという間に治療を終えることができました。
インプラント治療の注意事項(リスク・副作用など)
- 外科手術のため、術後に痛みや腫れ、違和感を伴います
- メンテナンスを怠ったり喫煙により、お口の中に大きな悪影響を及ぼすインプラント周囲炎等にかかる可能性があります
- 糖尿病、肝硬変、心臓病等の場合、インプラント治療ができない可能性があります
- 高血圧、貧血・不整脈等の場合、インプラント治療後に治癒不全を招く可能性があります
- 自費診療(保険適用外治療)となります
セラミック治療の注意事項(リスク・副作用など)
- 天然歯を削ります
- 硬い素材は天然歯を傷つけてしまう場合があります
- かみ合わせや歯ぎしりが強すぎる方はセラミックが割れてしまう可能性があります
- 自費診療(保険適用外治療)となります
当サイトの内容、テキスト、画像等の無断転載、複製、複写、盗用を固く禁じます。













