症例詳細
Case detail
八重歯とオープンバイト 急速拡大装置を用いた矯正治療
治療症例の内容
- 診療科目
- 担当医
- 藤巻太一朗(ドクタープロフィール)
- 患者様
- 20代女性
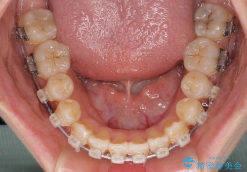
- 矯正装置
- クリアブラケット
- 治療期間
- 1年6ヶ月
- 治療回数
- 10-30回
- 治療計画
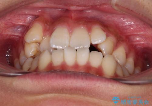
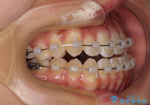
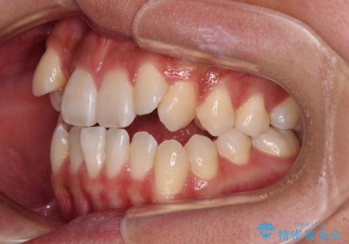
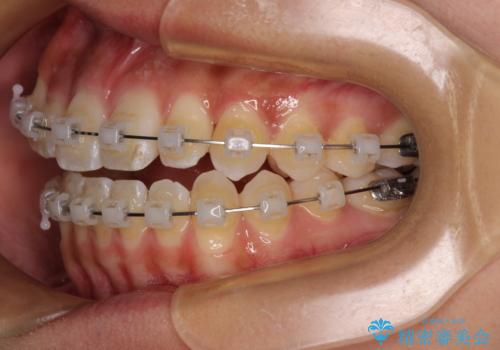
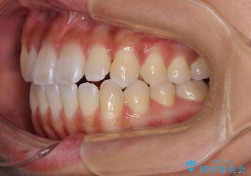
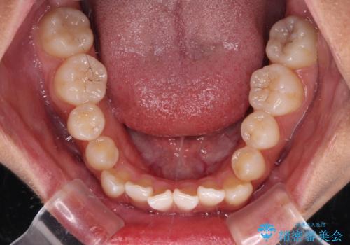
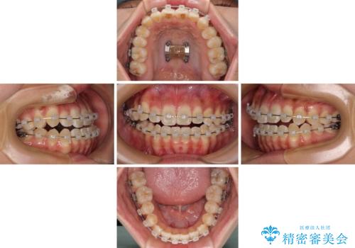
- 前歯の開咬と、上顎前歯の八重歯やデコボコを気にして来院された患者様です。
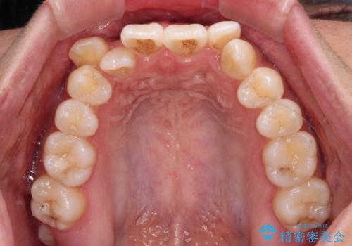
上顎歯列が狭窄していたため、急速拡大装置により上顎骨を側方に拡大し、その後ワイヤー装置にて矯正治療を行うこととしました。
- 費用(概算)
- 治療費の目安: 100万円(税込)費用は治療当時の料金となります
治療について
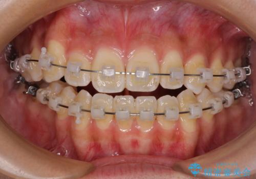
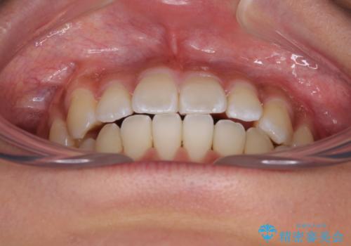
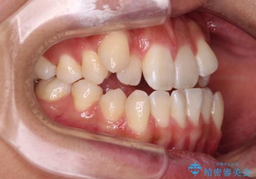
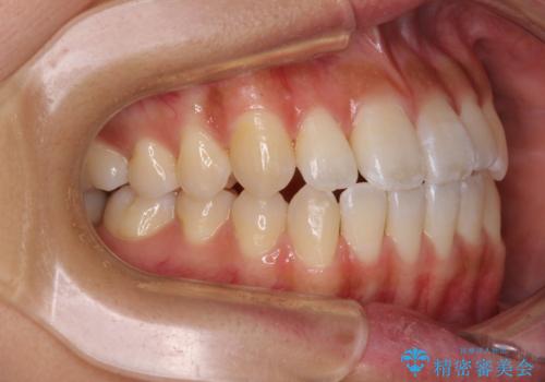
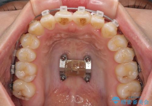
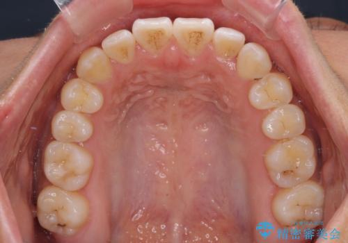
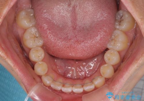
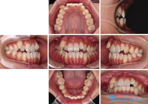
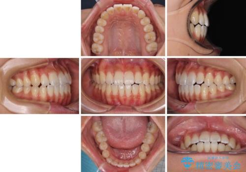
急速拡大装置で上顎骨を十分に拡大できたことで、非抜歯で八重歯を歯列に納めることができました。
患者様はもちろん、我々もここまで綺麗に仕上げられるとは想像もできず、お互いに大変満足な治療となりました。
ワイヤー矯正の注意事項(リスク・副作用など)
- 治療中は違和感や痛みが起こることがあります
- 症状により、抜歯が必要な場合があります
- 治療中は歯磨きがしにくくなるため、虫歯や歯周病になりやすくなります
- 矯正治療後の保定が不十分だと後戻り(元の位置に戻ろうとする動き)をします
- 自費診療(保険適用外)となります
当サイトの内容、テキスト、画像等の無断転載、複製、複写、盗用を固く禁じます。



























