症例詳細
Case detail
クロスバイトを楽して治す ワイヤー装置にて矯正治療
治療症例の内容
- 診療科目
 
- 担当医
 - 藤巻太一朗(ドクタープロフィール)
 
- 患者様
 - 20代男性
 
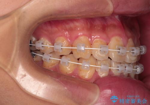
- 矯正装置
 - 審美装置
 
- 治療期間
 - 1年
 
- 治療回数
 - 10-30回
 
- 治療計画
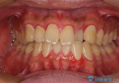
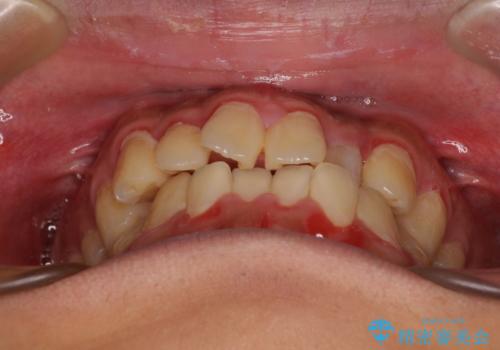
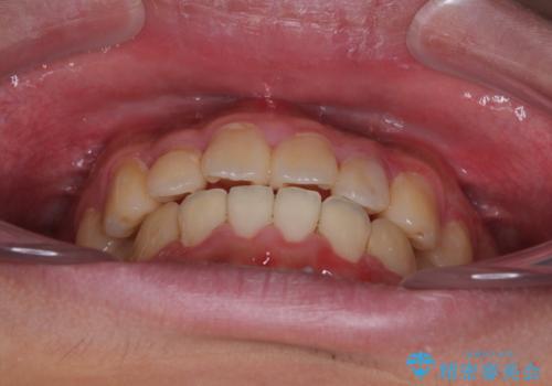
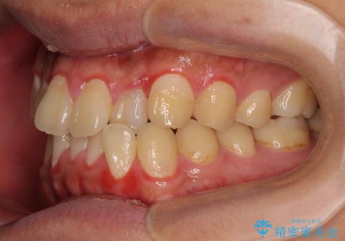
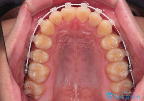
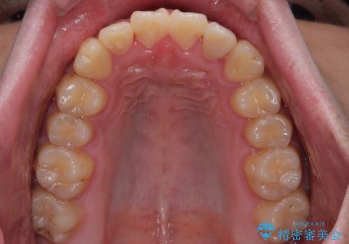
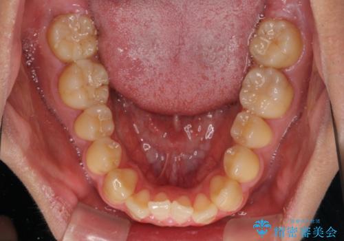
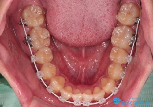
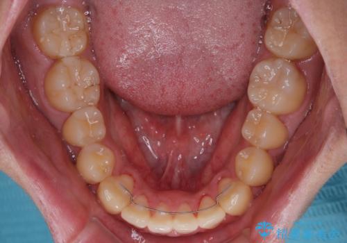
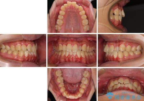
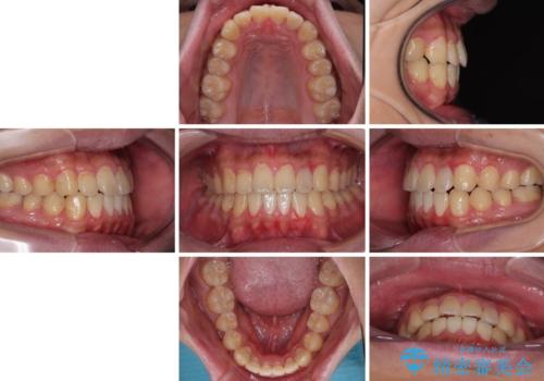
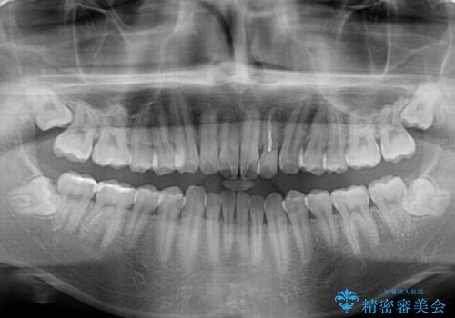
 - 前歯のデコボコとクロスバイトを気にして来院された患者様です。
クロスバイトはありましたが、叢生の程度としては酷くなかったため、ワイヤー矯正でもマウスピース矯正でも、好きな方を選択していただきました。
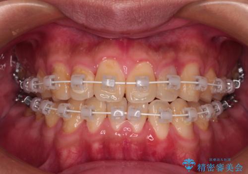
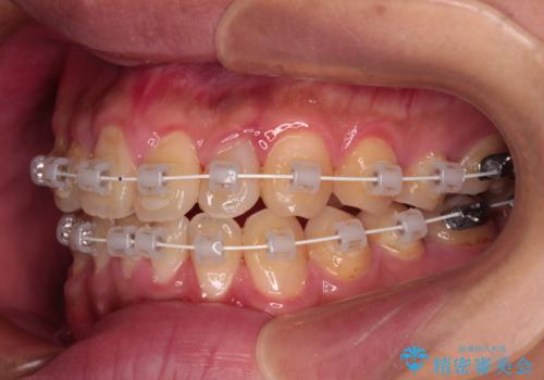
一日中マウスピースを装着する煩わしさから、マウスピース矯正を継続する自信がないとのことで、ワイヤー装置にて矯正治療を行うこととしました。 
- 費用(概算)
 - 治療費の目安: 95万円(税込)費用は治療当時の料金となります
 
治療について
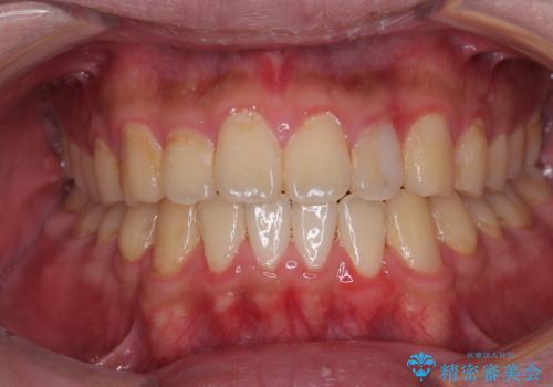
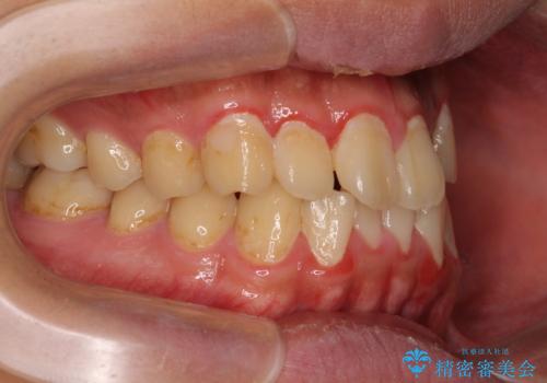
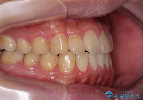
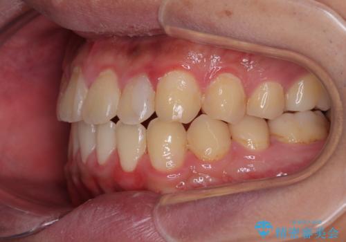
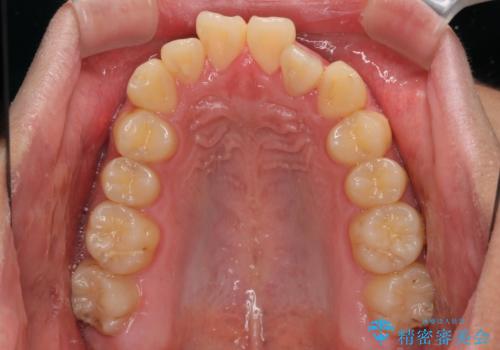
気になっていたクロスバイトは速やかに改善され、1年間で治療を終えることができました。
治療開始前は汚れが多く、全体的に歯肉が腫れていましたが、矯正治療を通して腫れも少しずつ改善されました。
ワイヤー矯正の注意事項(リスク・副作用など)
- 治療中は違和感や痛みが起こることがあります
 - 症状により、抜歯が必要な場合があります
 - 治療中は歯磨きがしにくくなるため、虫歯や歯周病になりやすくなります
 - 矯正治療後の保定が不十分だと後戻り(元の位置に戻ろうとする動き)をします
 - 自費診療(保険適用外)となります
 
当サイトの内容、テキスト、画像等の無断転載、複製、複写、盗用を固く禁じます。

                      
                                                          
























