症例詳細
Case detail
今からでも綺麗な歯並びを手に入れたい 40代男性のワイヤー矯正
治療症例の内容
- 診療科目
- 治療カテゴリ
- 担当医
- 藤巻太一朗(ドクタープロフィール)
- 患者様
- 40代男性
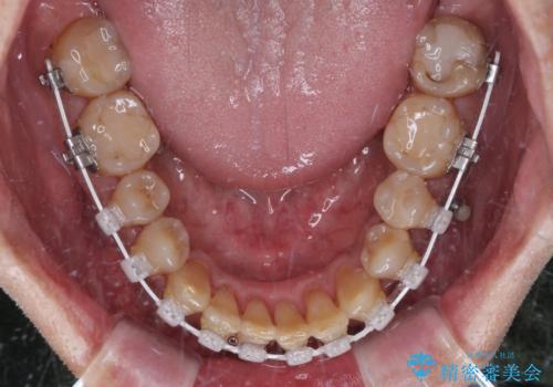
- 矯正装置
- 審美装置
- 治療期間
- 1年10ヶ月
- 治療回数
- 10-30回
- 治療計画
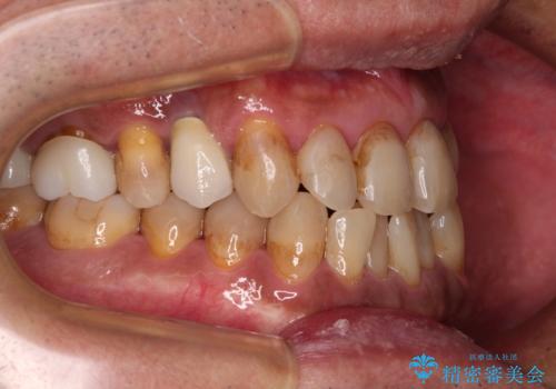
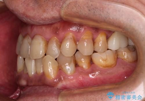
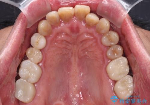
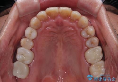
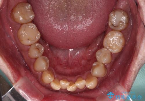
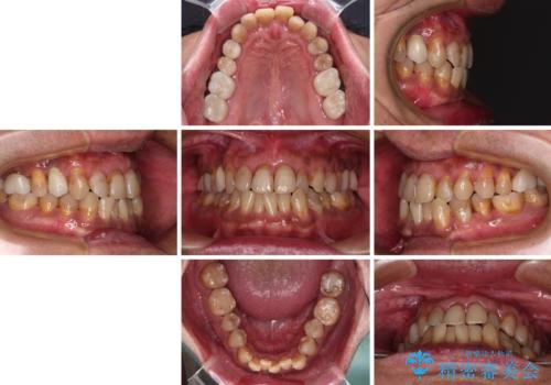
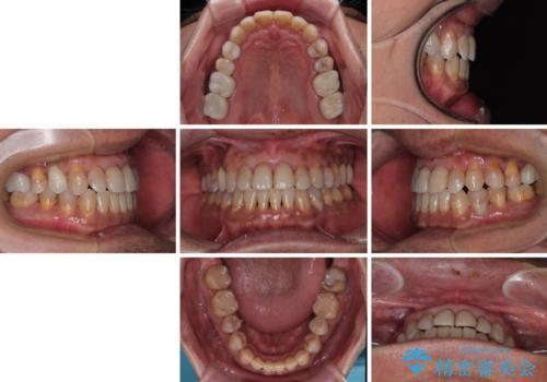
- 前歯のクロスバイトを気にして来院された患者様です。
40代男性で、インプラント補綴治療も経験されている方で、矯正治療をしても良いのかと悩んでいらっしゃいました。
下顎骨の左右のずれがあり、下顎全体が前方に出ている状態であったので、無理をせずにワイヤー装置にて矯正治療を行うこととしました。
- 費用(概算)
- 治療費の目安: 95万円(税込)費用は治療当時の料金となります
治療について
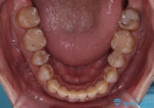
クロスバイト改善には難儀しましたが、咬みやすく、笑ったときに清潔感ある口元に仕上げることができました。
ワイヤー矯正の注意事項(リスク・副作用など)
- 治療中は違和感や痛みが起こることがあります
- 症状により、抜歯が必要な場合があります
- 治療中は歯磨きがしにくくなるため、虫歯や歯周病になりやすくなります
- 矯正治療後の保定が不十分だと後戻り(元の位置に戻ろうとする動き)をします
- 自費診療(保険適用外)となります
当サイトの内容、テキスト、画像等の無断転載、複製、複写、盗用を固く禁じます。


























