症例詳細
Case detail
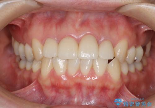
黒っぽい歯ぐきを改善したい メタルフリーセラミック治療
治療症例の内容
- 担当医
- 大元洋佑(ドクタープロフィール)
- 患者様
- 20代女性
- 治療期間
- 2ヶ月
- 治療回数
- 5-10回
- 治療計画
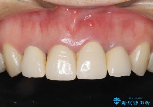
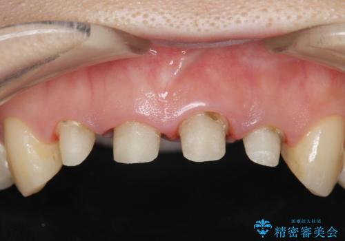
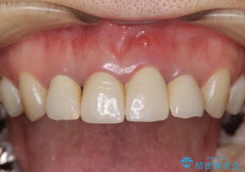
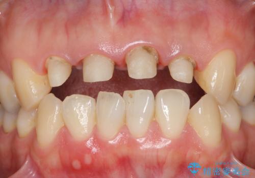
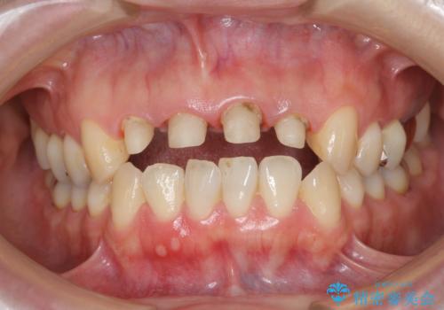
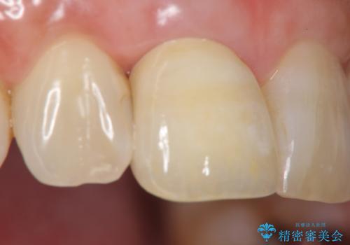
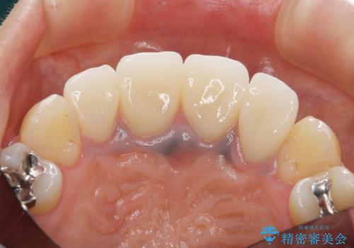
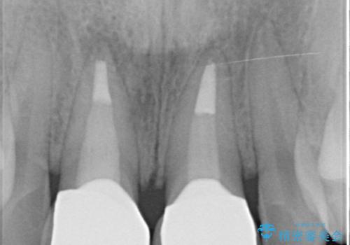
- 歯ぐきの黒っぽさ、暗い色調の前歯の改善を求めて来院されました。
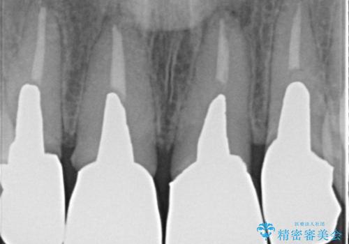
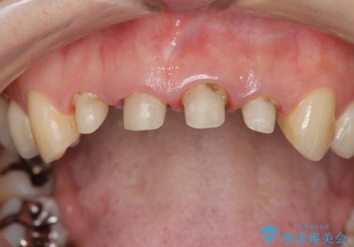
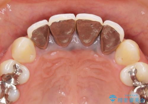
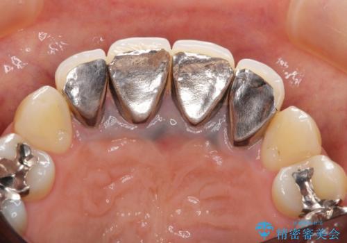
金属を用いたコア・クラウンが装着されており、全ての金属を除去したのちのメタルフリー治療を計画します。
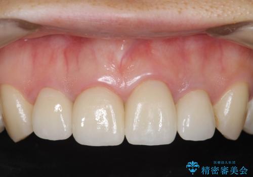
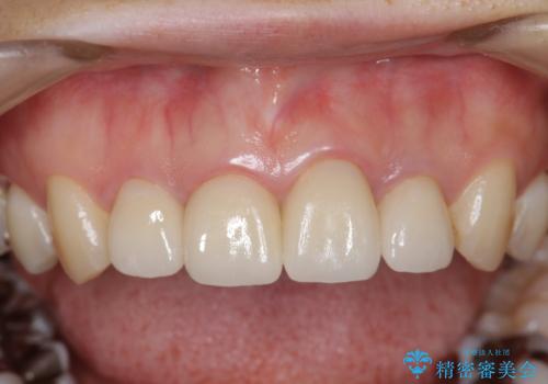
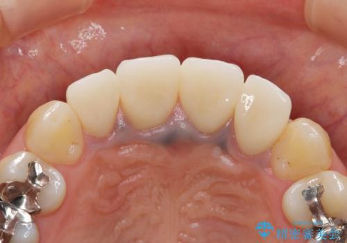
ファイバーコア・セラミッククラウンは金属を用いない審美的な治療法です。
- 費用(概算)
- 44万円(エコノミークラウン×4・ファイバーコア×4・仮歯×4)費用は治療当時の料金となります
治療について
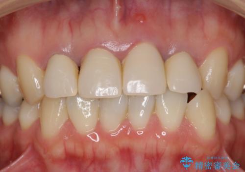
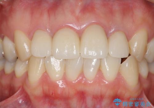
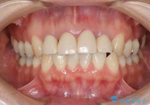
金属のフレームを用いるクラウンは色調が暗くなる傾向にありますが、セラミッククラウンに置き換えたことで自然な明るさ、審美性を取り戻すことができました。
セラミック治療の注意事項(リスク・副作用など)
- 天然歯を削ります
- 硬い素材は天然歯を傷つけてしまう場合があります
- かみ合わせや歯ぎしりが強すぎる方はセラミックが割れてしまう可能性があります
- 自費診療(保険適用外治療)となります
当サイトの内容、テキスト、画像等の無断転載、複製、複写、盗用を固く禁じます。





















