症例詳細
Case detail
【クリア装置】八重歯の矯正治療
治療症例の内容
- 診療科目
- 担当医
- 菊地俊介(ドクタープロフィール)
- 患者様
- 20代女性
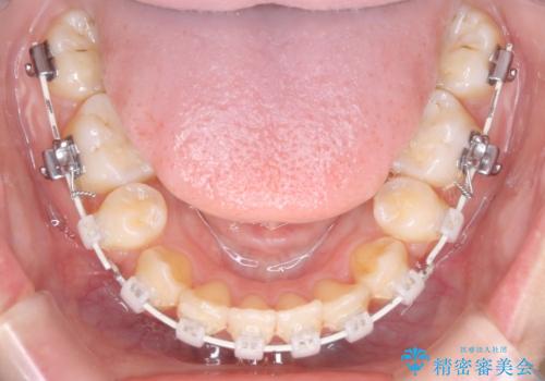
- 矯正装置
- クリア装置
- 治療期間
- 1年9ヶ月
- 治療回数
- 10-30回
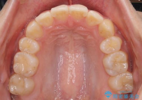
- 治療計画
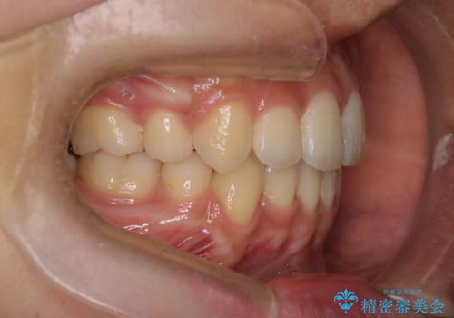
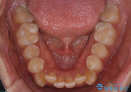
- 八重歯を主訴に来院されました。4番の歯を4本抜歯し、八重歯を並べる計画をたてました。
- 費用(概算)
- 88万円費用は治療当時の料金となります
治療について
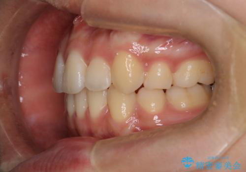
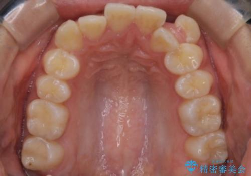
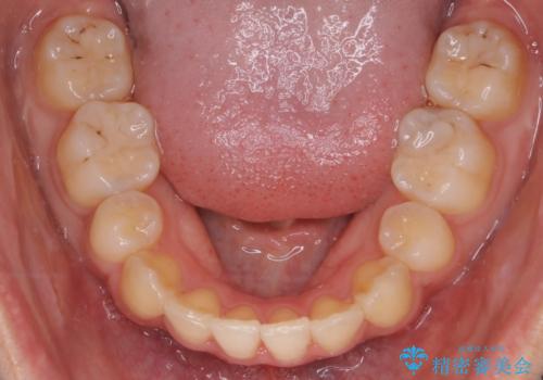
抜歯をし、スペースを確保したことにより八重歯をきれいに並べることが出来ました。
ワイヤー矯正の注意事項(リスク・副作用など)
- 治療中は違和感や痛みが起こることがあります
- 症状により、抜歯が必要な場合があります
- 治療中は歯磨きがしにくくなるため、虫歯や歯周病になりやすくなります
- 矯正治療後の保定が不十分だと後戻り(元の位置に戻ろうとする動き)をします
- 自費診療(保険適用外)となります
当サイトの内容、テキスト、画像等の無断転載、複製、複写、盗用を固く禁じます。















