症例詳細
Case detail
【審美装置】抜歯矯正で口元を改善
治療症例の内容
- 診療科目
 
- 担当医
 - 菊地俊介(ドクタープロフィール)
 
- 患者様
 - 20代女性
 
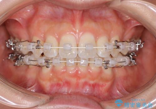
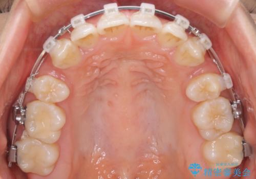
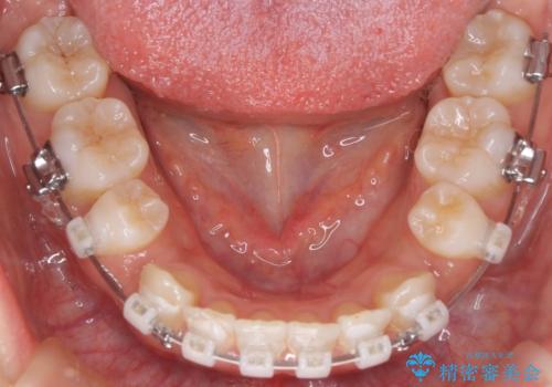
- 矯正装置
 - 審美装置
 
- 治療期間
 - 1年2ヶ月
 
- 治療回数
 - 10-30回
 
- 治療計画
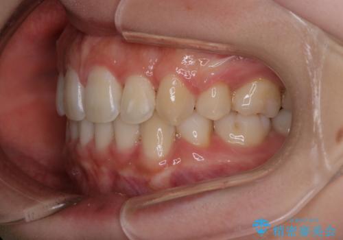
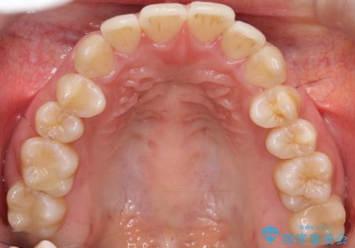
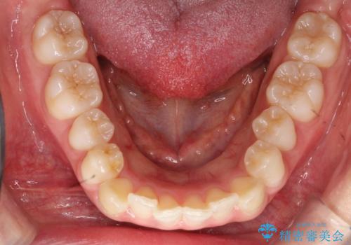
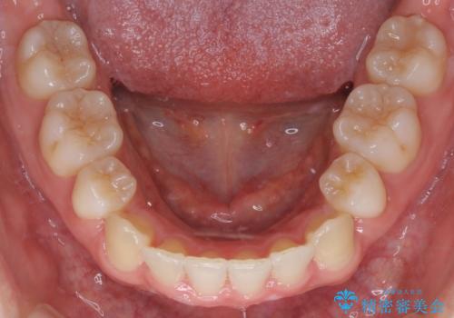
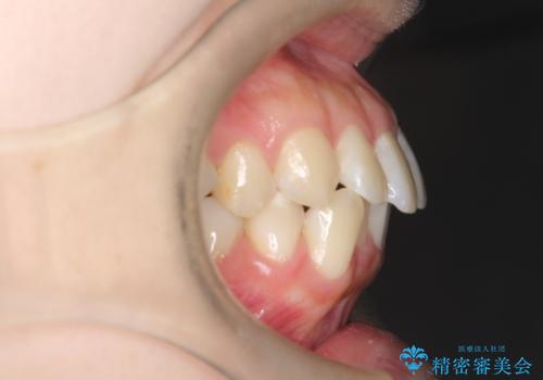
 - 口元をさげたいという主訴で来院されました。4番の歯を4本抜歯し、審美装置にて治療をしました。
 
- 費用(概算)
 - 110万円費用は治療当時の料金となります
 
治療について
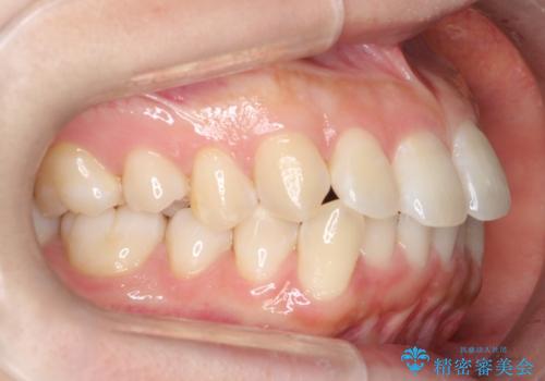
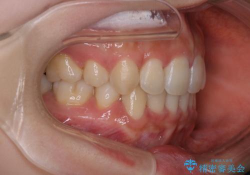
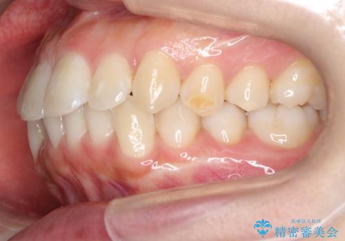
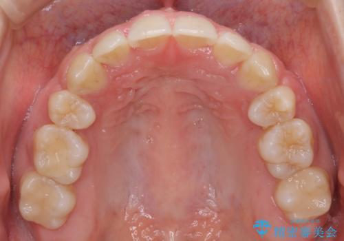
抜歯をしたことで口元の突出感が改善しました。約2年を予定していた矯正ですが、約1年という短い期間で終了できました。
ワイヤー矯正の注意事項(リスク・副作用など)
- 治療中は違和感や痛みが起こることがあります
 - 症状により、抜歯が必要な場合があります
 - 治療中は歯磨きがしにくくなるため、虫歯や歯周病になりやすくなります
 - 矯正治療後の保定が不十分だと後戻り(元の位置に戻ろうとする動き)をします
 - 自費診療(保険適用外)となります
 
当サイトの内容、テキスト、画像等の無断転載、複製、複写、盗用を固く禁じます。

                      
                                                          















