症例詳細
Case detail
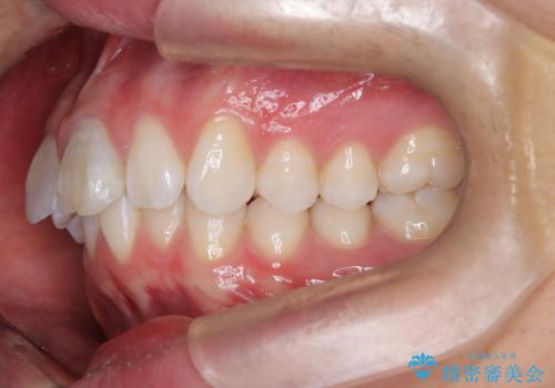
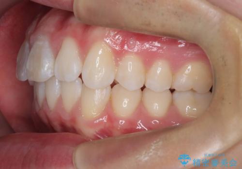
【ワイヤー矯正 11ヵ月で矯正終了!】歯のでこぼこを治したい!
治療症例の内容
- 診療科目
- 治療カテゴリ
- 担当医
- 河野豊嘉(ドクタープロフィール)
- 患者様
- 10代男性
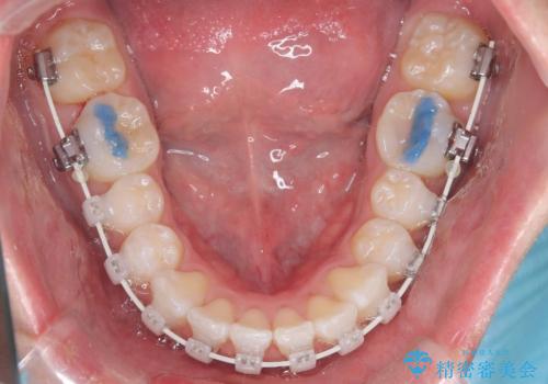
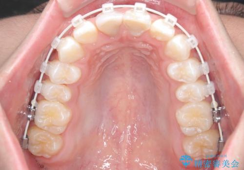
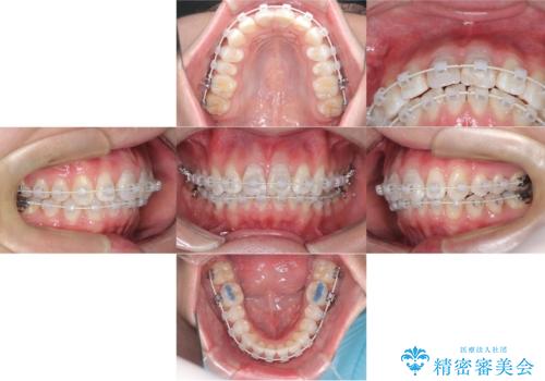
- 矯正装置
- ワイヤー(審美装置)
- 治療期間
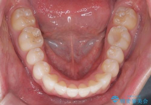
- 11ヶ月
- 治療回数
- 10-30回
- 治療計画
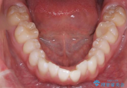
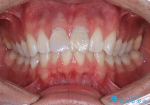
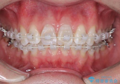
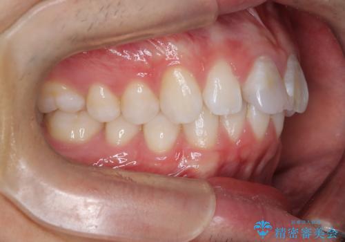
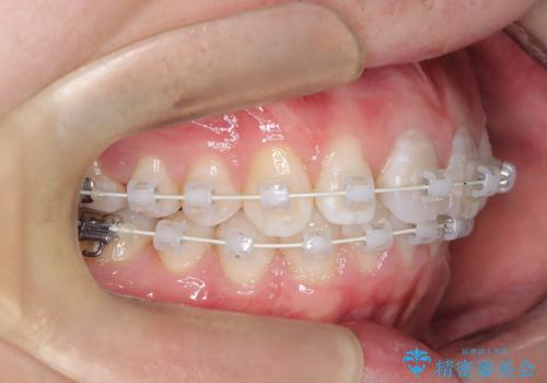
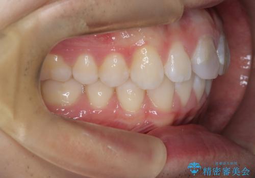
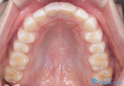
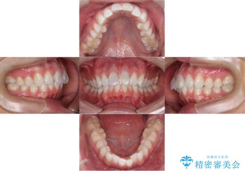
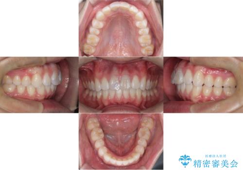
- 「歯のでこぼこを治したい 1年くらいで矯正を終わらせたい」を主訴に来院された患者様です。
叢生量は多く無く歯の傾斜も標準傾斜だったので歯は抜かずにワイヤー矯正で治療を行いました。
- 費用(概算)
- 99万円(税込)費用は治療当時の料金となります
治療について
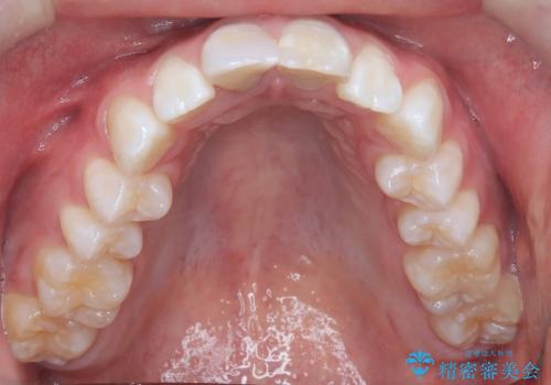
左側は2級傾向が強く臼歯の遠心移動をご提案しましたが、1年以内に矯正を終わらせたいという患者様のご意向で希望されず叢生を改善する矯正となりました。
ワイヤー矯正の注意事項(リスク・副作用など)
- 治療中は違和感や痛みが起こることがあります
- 症状により、抜歯が必要な場合があります
- 治療中は歯磨きがしにくくなるため、虫歯や歯周病になりやすくなります
- 矯正治療後の保定が不十分だと後戻り(元の位置に戻ろうとする動き)をします
- 自費診療(保険適用外)となります
当サイトの内容、テキスト、画像等の無断転載、複製、複写、盗用を固く禁じます。
























