症例詳細
Case detail
[ 精密セラミック治療 ] 前歯の破折 根尖病変
治療症例の内容
- 診療科目
- 治療カテゴリ
- 担当医
- 大元洋佑(ドクタープロフィール)
- 患者様
- 50代女性
- 治療期間
- 4ヶ月
- 治療回数
- 5-10回
- 治療計画
- 左上前歯のぐらつき、痛みを感じ来院されました。
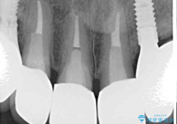
検査の結果、痛みのあった歯は割れており抜歯が必要な状態、残りの前歯も根尖に病変が認められ根管治療が必要な状態です。
割れてしまった歯だけではなく、全体的な治療を希望されたので丁寧に既存のクラウン・メタルコア・虫歯を除去し治療を行っていきました。
割れてしまっていた歯は、抜去を行いインプラントを用いた機能の回復を行っています。
- 費用(概算)
- 39.6万円(ジルコニアクラウン×3・仮歯×3) 破折歯を除く治療費として費用は治療当時の料金となります
治療について
きっちりと根管治療を行ったことで、X線写真からも根尖病変の改善傾向が認められます。
セラミック治療の注意事項(リスク・副作用など)
- 天然歯を削ります
- 硬い素材は天然歯を傷つけてしまう場合があります
- かみ合わせや歯ぎしりが強すぎる方はセラミックが割れてしまう可能性があります
- 自費診療(保険適用外治療)となります
当サイトの内容、テキスト、画像等の無断転載、複製、複写、盗用を固く禁じます。

![[ 精密セラミック治療 ] 前歯の破折 根尖病変 の治療前](https://seimitsushinbi.jp/wp/wp-content/uploads/2024/04/d00257b606c9200e29dbcf4134534436-500x350.jpg?v=1712302394)
![[ 精密セラミック治療 ] 前歯の破折 根尖病変 の治療中](https://seimitsushinbi.jp/wp/wp-content/uploads/2024/04/d1dd93a80135dcb6e64133ba889e16a6-500x350.jpg?v=1712302421)
![[ 精密セラミック治療 ] 前歯の破折 根尖病変 の治療後](https://seimitsushinbi.jp/wp/wp-content/uploads/2024/04/67630606a51a194d9b26f9bb002f4099-500x350.jpg?v=1712302423)
![[ 精密セラミック治療 ] 前歯の破折 根尖病変 の治療前](https://seimitsushinbi.jp/wp/wp-content/uploads/2024/04/CI9-500x350.jpg?v=1712302430)
![[ 精密セラミック治療 ] 前歯の破折 根尖病変 の治療中](https://seimitsushinbi.jp/wp/wp-content/uploads/2024/04/8d220e082db95cc6de0be3de5f3e0f08-500x350.jpg?v=1712303871)
![[ 精密セラミック治療 ] 前歯の破折 根尖病変 の治療後](https://seimitsushinbi.jp/wp/wp-content/uploads/2024/04/CI80-500x350.jpg?v=1712302430)
![[ 精密セラミック治療 ] 前歯の破折 根尖病変 の治療前](https://seimitsushinbi.jp/wp/wp-content/uploads/2024/04/1d3761439ecf49395a1f6dfa53ef9769-500x350.jpg?v=1712302390)
![[ 精密セラミック治療 ] 前歯の破折 根尖病変 の治療中](https://seimitsushinbi.jp/wp/wp-content/uploads/2024/04/1d0b9935be63cc8fa9ee219054a043cb-500x350.jpg?v=1712302419)
![[ 精密セラミック治療 ] 前歯の破折 根尖病変 の治療後](https://seimitsushinbi.jp/wp/wp-content/uploads/2024/04/b7f976cf4b03c71e41ac87a20ee8a886-500x350.jpg?v=1712302425)
![[ 精密セラミック治療 ] 前歯の破折 根尖病変 の治療前](https://seimitsushinbi.jp/wp/wp-content/uploads/2024/04/82f9bc2e56d67df5ec0c4104584b5caf-500x350.jpg?v=1712302387)
![[ 精密セラミック治療 ] 前歯の破折 根尖病変 の治療中](https://seimitsushinbi.jp/wp/wp-content/uploads/2024/04/f36990d6bc12aaa172974806e1a4839b-500x350.jpg?v=1712302418)
![[ 精密セラミック治療 ] 前歯の破折 根尖病変 の治療後](https://seimitsushinbi.jp/wp/wp-content/uploads/2024/04/b7277790ab04a64eab60c525ff75f4d4-500x350.jpg?v=1712302427)
![[ 精密セラミック治療 ] 前歯の破折 根尖病変 の治療前](https://seimitsushinbi.jp/wp/wp-content/uploads/2024/04/51bc12825041efdd19c88f989b6dfaa4-500x350.jpg?v=1712302397)
![[ 精密セラミック治療 ] 前歯の破折 根尖病変 の治療中](https://seimitsushinbi.jp/wp/wp-content/uploads/2024/04/687b173f350607dc02d37538d24c08bd-500x350.jpg?v=1712302415)
![[ 精密セラミック治療 ] 前歯の破折 根尖病変 の治療後](https://seimitsushinbi.jp/wp/wp-content/uploads/2024/04/94693570836cd269fb777f1876cadec7-500x350.jpg?v=1712302429)
![[ 精密セラミック治療 ] 前歯の破折 根尖病変 の治療前](https://seimitsushinbi.jp/wp/wp-content/uploads/2024/04/28a736d0f011d12be004bb58342481cd-500x350.jpg?v=1712302399)
![[ 精密セラミック治療 ] 前歯の破折 根尖病変 の治療前](https://seimitsushinbi.jp/wp/wp-content/uploads/2024/04/bb56dc4e95df8676a7c8b3c5e5c9c416-500x350.jpg?v=1712302401)
![[ 精密セラミック治療 ] 前歯の破折 根尖病変 の治療前](https://seimitsushinbi.jp/wp/wp-content/uploads/2024/04/1e8ab79c76bdfc50cd7de5804d4ea977-500x350.jpg?v=1712302405)
![[ 精密セラミック治療 ] 前歯の破折 根尖病変 の治療前](https://seimitsushinbi.jp/wp/wp-content/uploads/2024/04/eb416a56c0f7096e46d56c643b6a4de4-500x350.jpg?v=1712302409)
![[ 精密セラミック治療 ] 前歯の破折 根尖病変 の治療前](https://seimitsushinbi.jp/wp/wp-content/uploads/2024/04/c35f67d138aafb3bbe227ee2765b076e-500x350.jpg?v=1712302407)
![[ 精密セラミック治療 ] 前歯の破折 根尖病変 の治療前](https://seimitsushinbi.jp/wp/wp-content/uploads/2024/04/7dd33ebed994b8430ddab934ea444115-500x350.jpg?v=1712302411)
![[ 精密セラミック治療 ] 前歯の破折 根尖病変 の治療前](https://seimitsushinbi.jp/wp/wp-content/uploads/2024/04/IMG_3342-500x350.jpg?v=1712304663)