症例詳細
Case detail
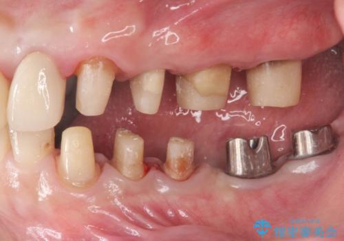
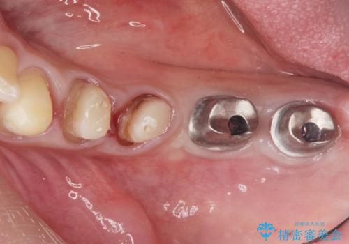
銀歯を外し、インプラントを入れたい
治療症例の内容
- 患者様
- 40代男性
- 治療期間
- 1年
- 治療回数
- 10-30回
- 治療計画
- 「治療途中の歯を治したい。この際、銀歯も全て外したい。インプラントも入れてしっかり噛めるようにしたい。徹底的に歯の治療をしたい。」
と総合的な治療を希望され来院されました。
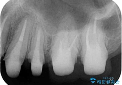
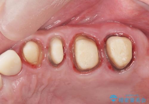
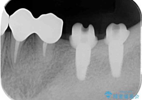
ここの歯の状態を精密に検査し、根管治療、セラミック治療、インプラント治療を含む総合的な歯科治療を計画します。
- 費用(概算)
- 242万円(ジルコニアクラウン・仮歯×7本 インプラント×2本)費用は治療当時の料金となります
治療について
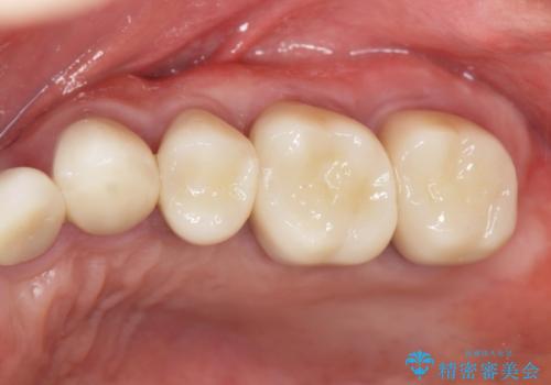
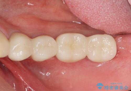
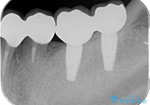
部分的な治療ではなく、全体的な治療を任せていただけたことで、清掃性の高く咬合関係の良い治療を行うことができました。
見た目の改善だけでなく、噛み合わせの仕上がりにも大変満足いただくことができました。
インプラント治療の注意事項(リスク・副作用など)
- 外科手術のため、術後に痛みや腫れ、違和感を伴います
- メンテナンスを怠ったり喫煙により、お口の中に大きな悪影響を及ぼすインプラント周囲炎等にかかる可能性があります
- 糖尿病、肝硬変、心臓病等の場合、インプラント治療ができない可能性があります
- 高血圧、貧血・不整脈等の場合、インプラント治療後に治癒不全を招く可能性があります
- 自費診療(保険適用外治療)となります
セラミック治療の注意事項(リスク・副作用など)
- 天然歯を削ります
- 硬い素材は天然歯を傷つけてしまう場合があります
- かみ合わせや歯ぎしりが強すぎる方はセラミックが割れてしまう可能性があります
- 自費診療(保険適用外治療)となります
当サイトの内容、テキスト、画像等の無断転載、複製、複写、盗用を固く禁じます。















