症例詳細
Case detail
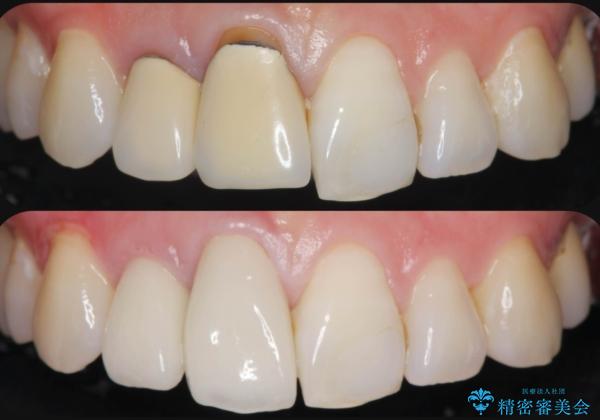
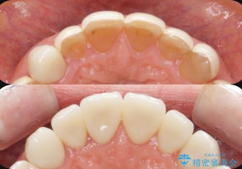
[ オールセラミッククラウン ] すき間の目立つ前歯をきれいにしたい!
治療症例の内容
- 診療科目
- 治療カテゴリ
- 担当医
- 大元洋佑(ドクタープロフィール)
- 患者様
- 20代女性
- 治療期間
- 1ヶ月
- 治療回数
- 2-5回
- 治療計画
- 以前治療したクラウンの隙間が目立ち、黒ずみの改善を求めて来院されました。
根尖病変は認められなかったため、根管治療は行わずクラウンのやりかえのみの治療計画としました。
- 費用(概算)
- 13.2万円(ジルコニアクラウン・仮歯)費用は治療当時の料金となります
治療について
拡大鏡を用いることで歯ぐきにラインにきっちりとあった精密なクラウン治療を行うことができます。
セラミック治療の注意事項(リスク・副作用など)
- 天然歯を削ります
- 硬い素材は天然歯を傷つけてしまう場合があります
- かみ合わせや歯ぎしりが強すぎる方はセラミックが割れてしまう可能性があります
- 自費診療(保険適用外治療)となります
当サイトの内容、テキスト、画像等の無断転載、複製、複写、盗用を固く禁じます。

![[ オールセラミッククラウン ] すき間の目立つ前歯をきれいにしたい!の治療前](https://seimitsushinbi.jp/wp/wp-content/uploads/2024/04/19ba00c303161603f49f83dcced20d62-500x350.jpg?v=1711938361)
![[ オールセラミッククラウン ] すき間の目立つ前歯をきれいにしたい!の治療後](https://seimitsushinbi.jp/wp/wp-content/uploads/2024/04/bb98831568fd63b5e5898f71c37cebdf-500x350.jpg?v=1711938371)
![[ オールセラミッククラウン ] すき間の目立つ前歯をきれいにしたい!の治療前](https://seimitsushinbi.jp/wp/wp-content/uploads/2024/04/d9ee8c8d4d452048dad8fabebd320179-500x350.jpg?v=1711938335)
![[ オールセラミッククラウン ] すき間の目立つ前歯をきれいにしたい!の治療後](https://seimitsushinbi.jp/wp/wp-content/uploads/2024/04/eac905ea449f7b8b32cca6c0f14ca4c3-500x350.jpg?v=1711938337)
![[ オールセラミッククラウン ] すき間の目立つ前歯をきれいにしたい!の治療前](https://seimitsushinbi.jp/wp/wp-content/uploads/2024/04/3b92b0388ff60ea15f1a25ae926e9399-500x350.jpg?v=1711938369)
![[ オールセラミッククラウン ] すき間の目立つ前歯をきれいにしたい!の治療後](https://seimitsushinbi.jp/wp/wp-content/uploads/2024/04/8a58fdf72ddeea2730af18f5ee063e2b-500x350.jpg?v=1711938373)
![[ オールセラミッククラウン ] すき間の目立つ前歯をきれいにしたい!の治療前](https://seimitsushinbi.jp/wp/wp-content/uploads/2024/04/a975c05bfb0f98959527d5182491d5c2-500x350.jpg?v=1711938358)
![[ オールセラミッククラウン ] すき間の目立つ前歯をきれいにしたい!の治療後](https://seimitsushinbi.jp/wp/wp-content/uploads/2024/04/fdb1080febe3cb98c7489d4f9a5cc9e2-500x350.jpg?v=1711938381)
![[ オールセラミッククラウン ] すき間の目立つ前歯をきれいにしたい!の治療前](https://seimitsushinbi.jp/wp/wp-content/uploads/2024/04/dbc1ccab1c7b4c41fc8fadace7945506-500x350.jpg?v=1711938348)
![[ オールセラミッククラウン ] すき間の目立つ前歯をきれいにしたい!の治療後](https://seimitsushinbi.jp/wp/wp-content/uploads/2024/04/1875ad6f816a4fb0ed114ee0c3c1df88-500x350.jpg?v=1711938385)
![[ オールセラミッククラウン ] すき間の目立つ前歯をきれいにしたい!の治療前](https://seimitsushinbi.jp/wp/wp-content/uploads/2024/04/19a51aa7fc44a4279872a291690ce046-500x350.jpg?v=1711938340)
![[ オールセラミッククラウン ] すき間の目立つ前歯をきれいにしたい!の治療後](https://seimitsushinbi.jp/wp/wp-content/uploads/2024/04/bde334af78dc8b7d898d422be45e67d4-500x350.jpg?v=1711938376)
![[ オールセラミッククラウン ] すき間の目立つ前歯をきれいにしたい!の治療前](https://seimitsushinbi.jp/wp/wp-content/uploads/2024/04/172206690f4808e124d4f98fff64b790-500x350.jpg?v=1711938344)
![[ オールセラミッククラウン ] すき間の目立つ前歯をきれいにしたい!の治療後](https://seimitsushinbi.jp/wp/wp-content/uploads/2024/04/306f19ada19eddeb5dcf33abbe758059-500x350.jpg?v=1711938379)