症例詳細
Case detail
【ワイヤー矯正】インビザラインは途中でやめました
治療症例の内容
- 担当医
- 河口智英(ドクタープロフィール)
- 患者様
- 20代女性
- 矯正装置
- 審美装置
- 治療期間
- 1年6ヶ月
- 治療回数
- 10-30回
- 治療計画
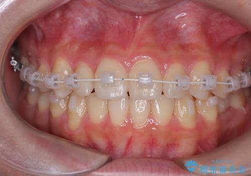
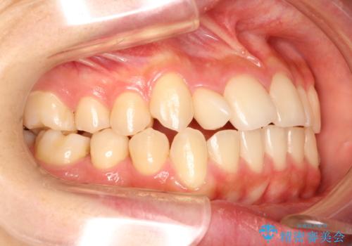
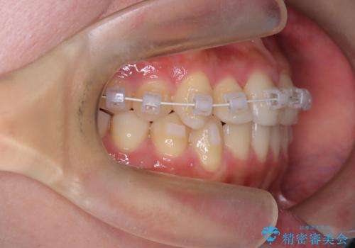
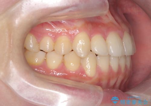
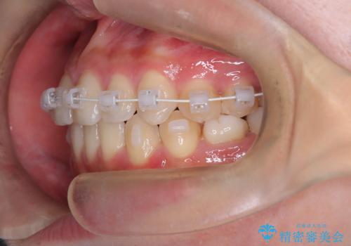
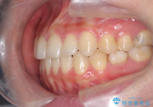
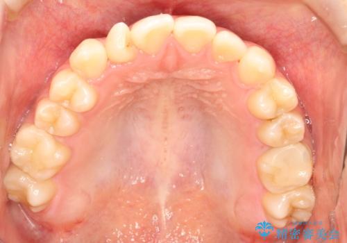
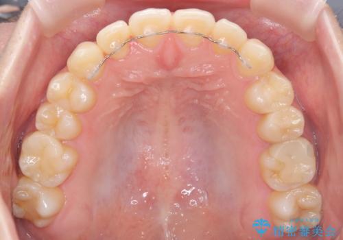
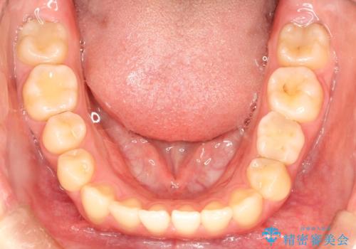
- 前歯の捻れを主訴に来院されました。
インビザラインを希望されておりましたが、20時間もつけることができなかったためワイヤー矯正にて叢生の改善を行っています。
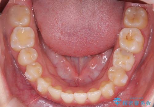
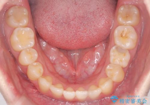
右上の側切歯(前から2番目の歯)が90度程度ねじれている状態でしたが、1月に1回のワイヤー交換できれいに並ぶことができ満足いただけました。
- 費用(概算)
- 85万円費用は治療当時の料金となります
治療について
捻れた歯の治療に関しては、ワイヤー矯正の方が仕上がりがきれいに治りやすいです。
ワイヤー矯正の注意事項(リスク・副作用など)
- 治療中は違和感や痛みが起こることがあります
- 症状により、抜歯が必要な場合があります
- 治療中は歯磨きがしにくくなるため、虫歯や歯周病になりやすくなります
- 矯正治療後の保定が不十分だと後戻り(元の位置に戻ろうとする動き)をします
- 自費診療(保険適用外)となります
当サイトの内容、テキスト、画像等の無断転載、複製、複写、盗用を固く禁じます。















