症例詳細
Case detail
【重度叢生ワイヤー矯正】きれいな歯並びにしたい
治療症例の内容
- 診療科目
- 治療カテゴリ
- 担当医
- 河口智英(ドクタープロフィール)
- 患者様
- 20代男性
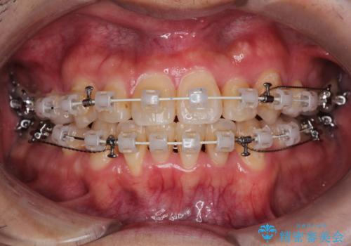
- 矯正装置
- 審美装置
- 治療期間
- 2年6ヶ月
- 治療回数
- 10-30回
- 治療計画
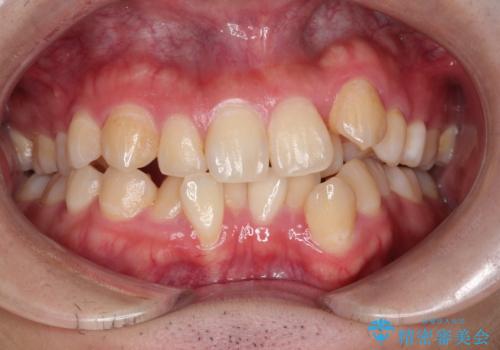
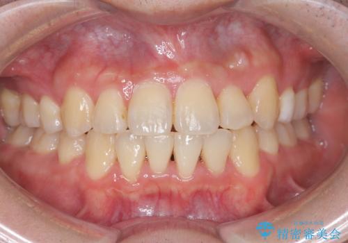
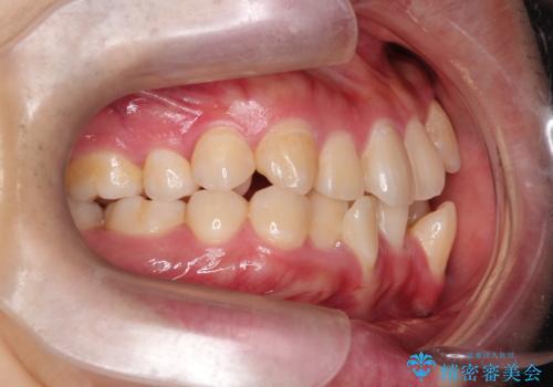
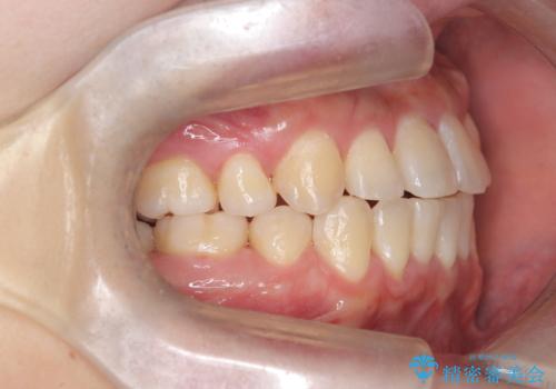
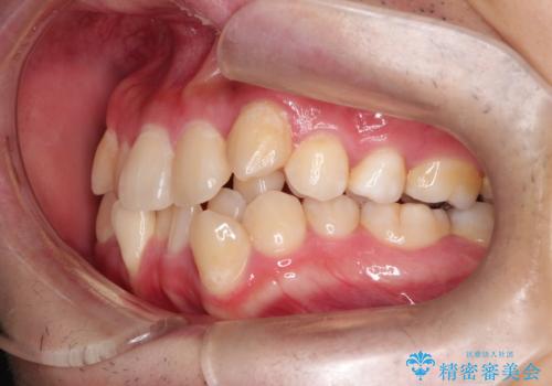
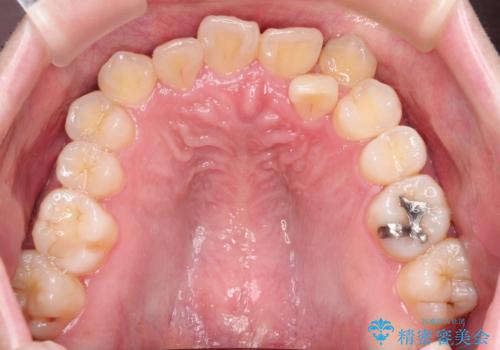
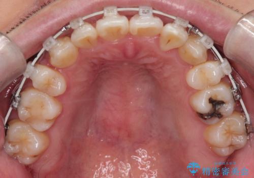
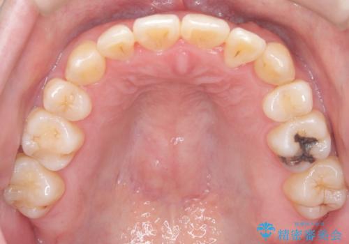
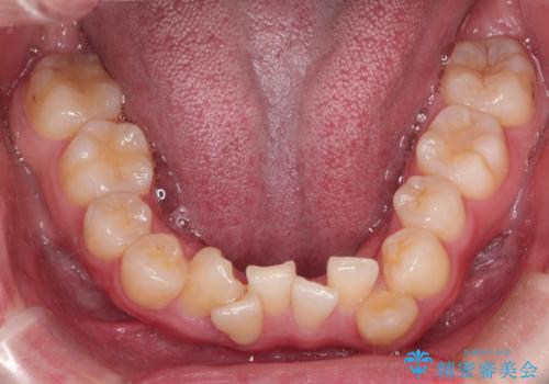
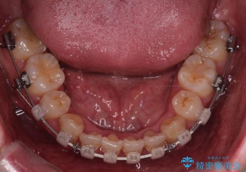
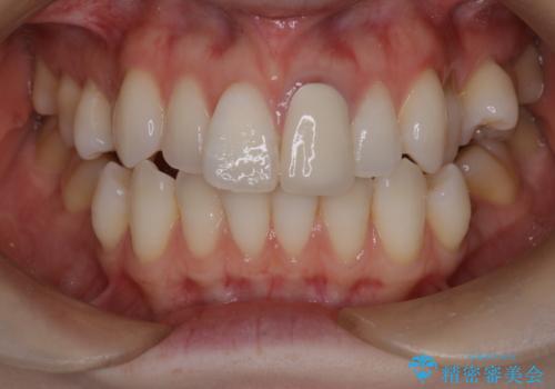
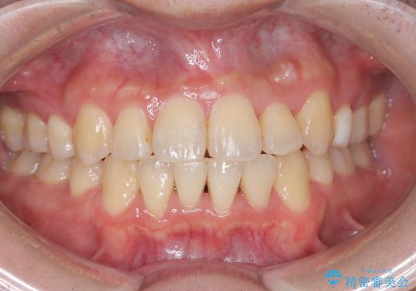
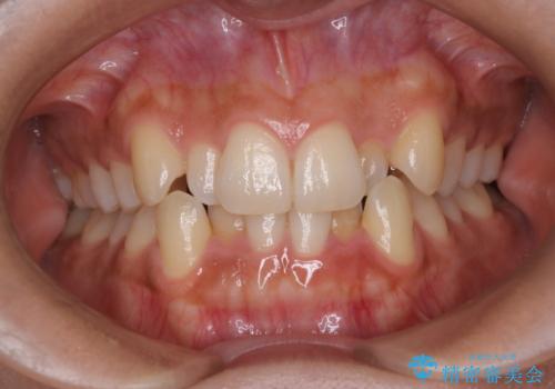
- きれいな歯並びにしたいとの希望を持って来院された患者様です。
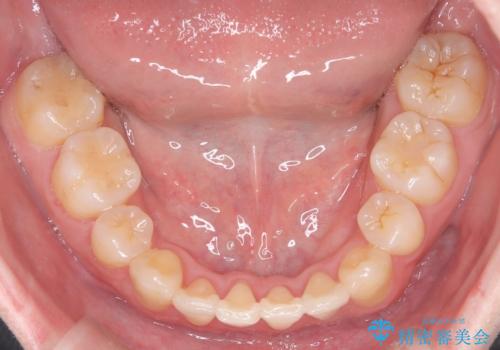
上下左右小臼歯を抜歯する治療計画を立て審美装置にて治療を行いました。
骨格的3級傾向もあり、咬合関係を仕上げるのに時間がかかりましたが、患者様には大変満足していただけました。
- 費用(概算)
- 100万円費用は治療当時の料金となります
治療について
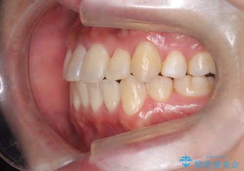
難しいケースでしたが、矯正用アンカースクリューを用いながら、臼歯関係もきれいに仕上げることができました。
ワイヤー矯正の注意事項(リスク・副作用など)
- 治療中は違和感や痛みが起こることがあります
- 症状により、抜歯が必要な場合があります
- 治療中は歯磨きがしにくくなるため、虫歯や歯周病になりやすくなります
- 矯正治療後の保定が不十分だと後戻り(元の位置に戻ろうとする動き)をします
- 自費診療(保険適用外)となります
当サイトの内容、テキスト、画像等の無断転載、複製、複写、盗用を固く禁じます。















