症例詳細
Case detail
【遠心移動ワイヤー矯正】翼状捻転を治したい
治療症例の内容
- 担当医
- 河口智英(ドクタープロフィール)
- 患者様
- 20代女性
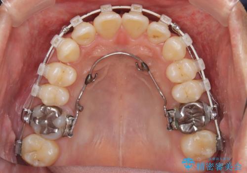
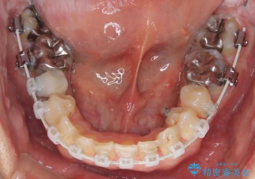
- 矯正装置
- 審美装置
- 治療期間
- 2年
- 治療回数
- 10-30回
- 治療計画
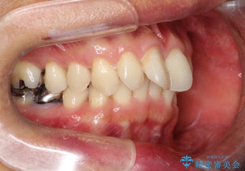
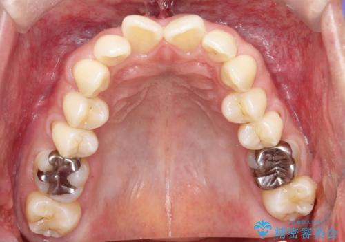
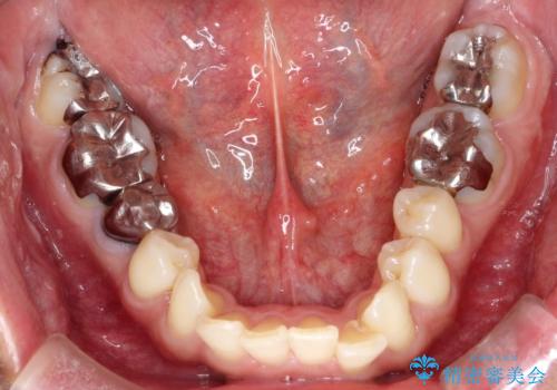
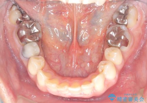
- 前歯の捻れを主訴に来院されました。
顔貌の正中と上顎前歯の正中があっており、下顎は顎位が偏位している状態でした。
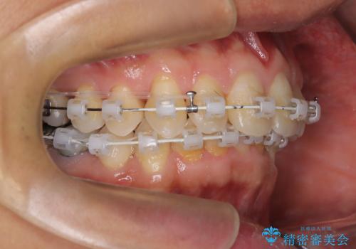
小臼歯を抜歯する治療計画も提案しましたが、
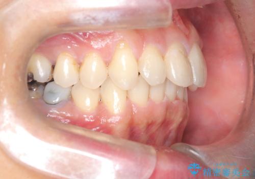
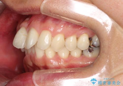
今回は患者さんの希望もあり非抜歯にて歯列拡大、遠心移動を行なってできる限り前歯を下げながら配列する治療を行いました。
- 費用(概算)
- 100万円費用は治療当時の料金となります
治療について
上顎はリンガルアーチにて遠心移動を行うことで前歯を唇側傾斜させずに配列することができました。
ワイヤー矯正の注意事項(リスク・副作用など)
- 治療中は違和感や痛みが起こることがあります
- 症状により、抜歯が必要な場合があります
- 治療中は歯磨きがしにくくなるため、虫歯や歯周病になりやすくなります
- 矯正治療後の保定が不十分だと後戻り(元の位置に戻ろうとする動き)をします
- 自費診療(保険適用外)となります
当サイトの内容、テキスト、画像等の無断転載、複製、複写、盗用を固く禁じます。















