症例詳細
Case detail
【抜歯ワイヤー矯正】前歯を引っ込めたい
治療症例の内容
- 診療科目
- 担当医
- 河口智英(ドクタープロフィール)
- 患者様
- 20代女性
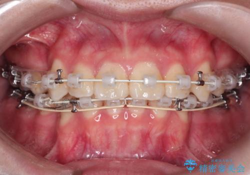
- 矯正装置
- 審美装置
- 治療期間
- 2年
- 治療回数
- 10-30回
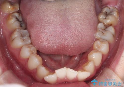
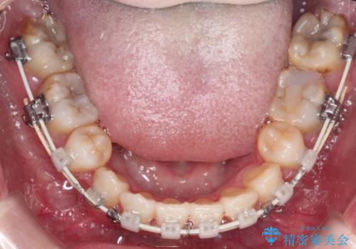
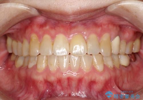
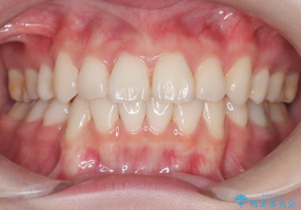
- 治療計画
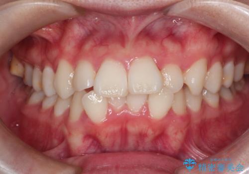
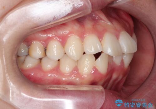
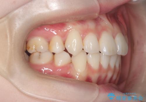
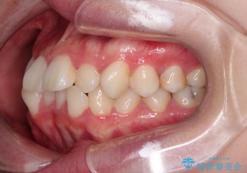
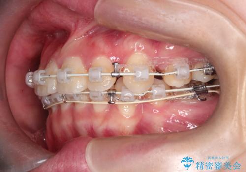
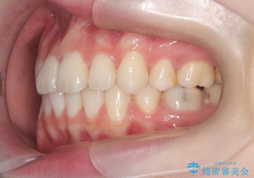
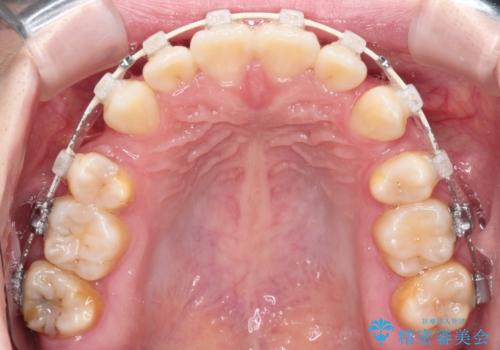
- 前歯が出ていることを主訴に来院されました。口元を下げたいとの要望もあり、上下左右小臼歯を抜歯する治療計画を立て治療を行なっております。
噛む力が非常に強く、途中装置が外れることもありましたが、およそ2年ぐらいで治療を終了することができ患者さんにも満足していただきました。
- 費用(概算)
- 100万円費用は治療当時の料金となります
治療について
治療中装置が外れてしまうことがありますが、そのような応急処置で追加費用はいただいておりません。
ワイヤー矯正の注意事項(リスク・副作用など)
- 治療中は違和感や痛みが起こることがあります
- 症状により、抜歯が必要な場合があります
- 治療中は歯磨きがしにくくなるため、虫歯や歯周病になりやすくなります
- 矯正治療後の保定が不十分だと後戻り(元の位置に戻ろうとする動き)をします
- 自費診療(保険適用外)となります
当サイトの内容、テキスト、画像等の無断転載、複製、複写、盗用を固く禁じます。















