症例詳細
Case detail
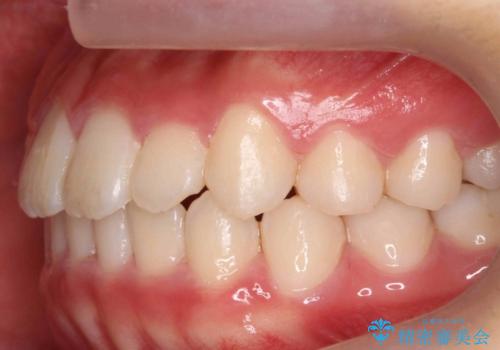
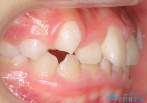
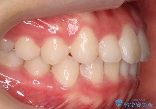
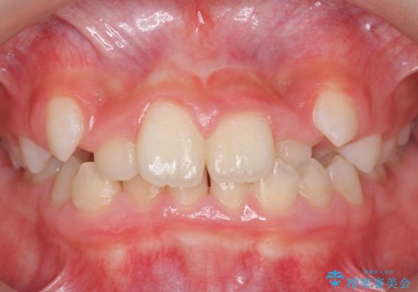
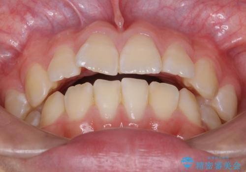
八重歯 歯を抜かずにインビザラインで
治療症例の内容
- 患者様
- 10代女子
- 治療期間
- 2年
- 治療回数
- 10-30回
- 治療計画
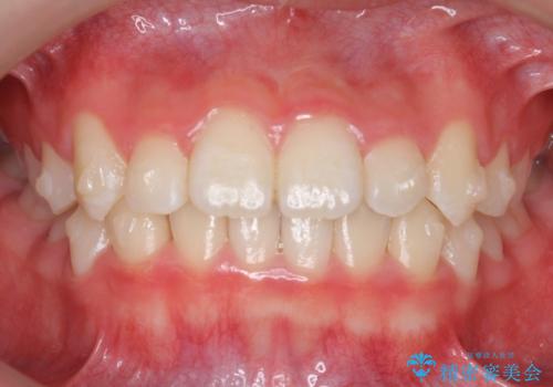
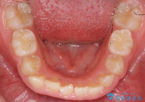
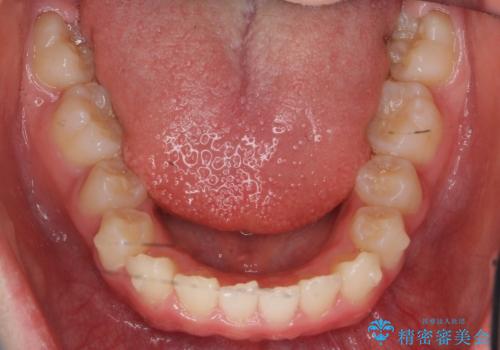
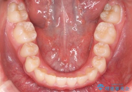
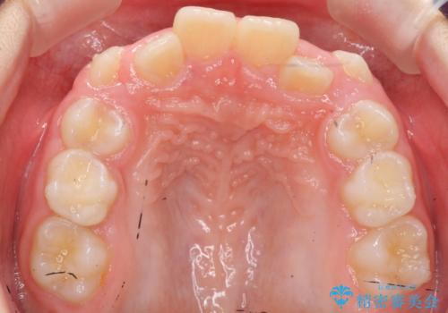
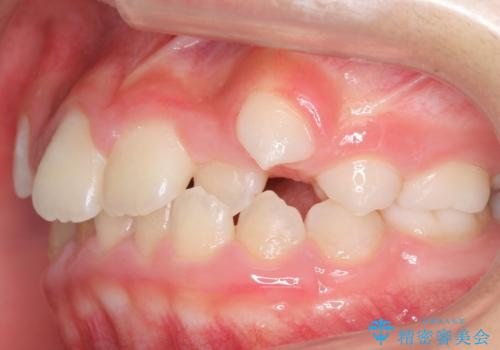
- 八重歯を主訴に来院。
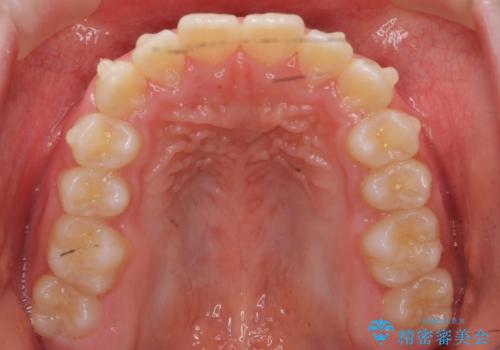
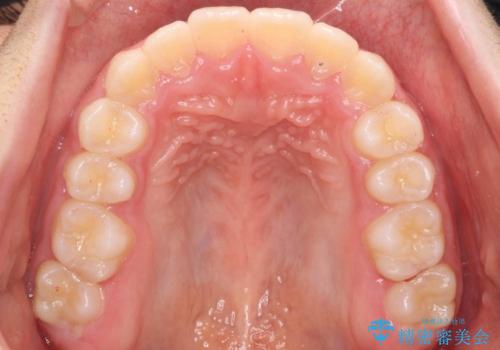
抜かずに歯を少し削って入れる方法で並べました。
10代のうちに矯正をしておくと歯の移動は簡単で、歯ぐきも下がりにくいです。
可能なら低年齢のうちに矯正をするのがお勧めです。
- 費用(概算)
- 93.5万円費用は治療当時の料金となります
治療について
乳歯が永久歯に生え変わるまで成長観察を続け、永久歯列になってから治療開始しています。
マウスピース矯正の注意事項(リスク・副作用など)
- 口腔内・歯並びの状態によっては対応できない場合があります
- マウスピース型矯正装置の長時間装着(1日20時間以上)が必須です
- 治療計画通りに進めるためには、患者様の意志が重要になります
- 矯正治療後の保定が不十分だと後戻り(元の位置に戻ろうとする動き)をします
- 薬機法対象外の矯正歯科装置のため医薬品副作用被害救済制度の対象外となる場合があります
- 自費診療(保険適用外)となります
当サイトの内容、テキスト、画像等の無断転載、複製、複写、盗用を固く禁じます。















