症例詳細
Case detail
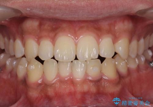
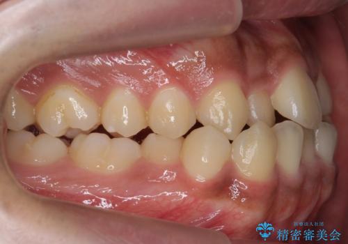
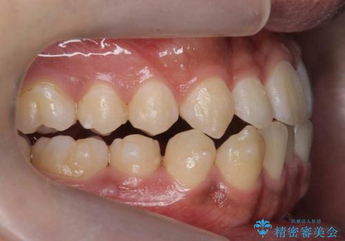
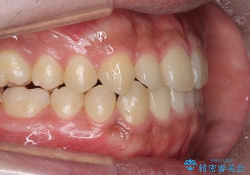
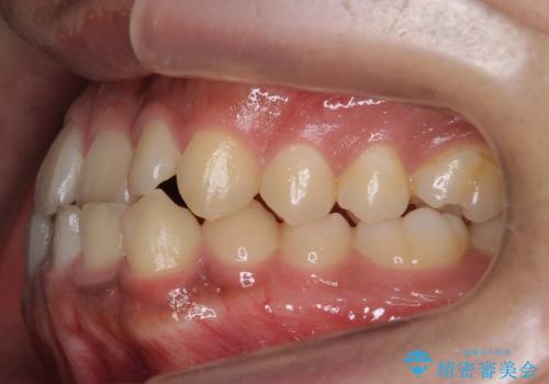
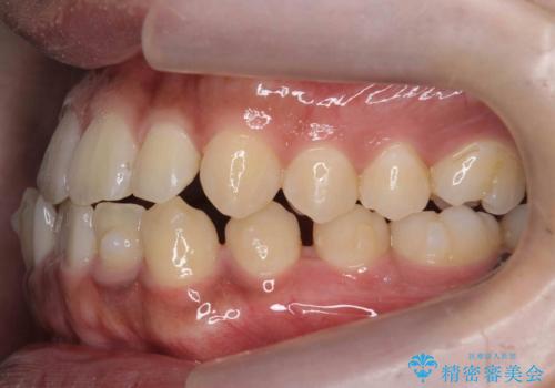
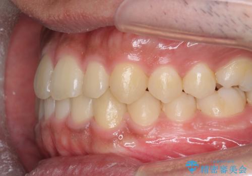
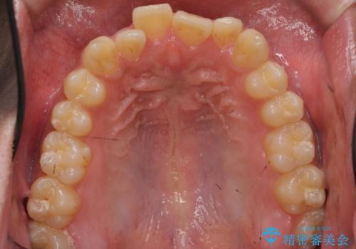
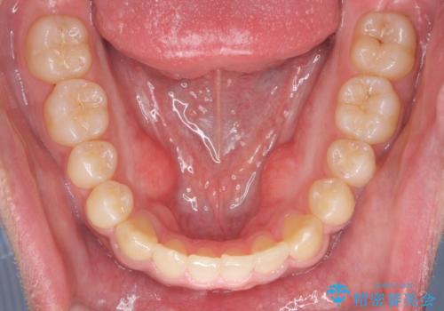
骨格性の受け口 非抜歯で下の歯を後ろに下げる インビザラインで インプラント矯正
治療症例の内容
- 患者様
- 30代男性
- 治療期間
- 1年6ヶ月
- 治療回数
- 30回以上
- 治療計画
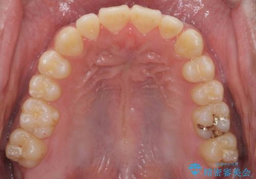
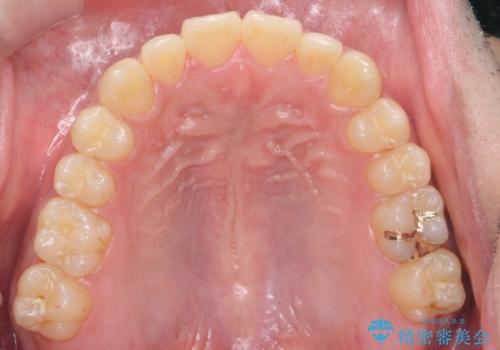
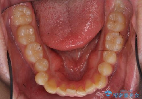
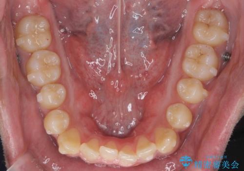
- 受け口を主訴に来院。
他院でマウスピース矯正を始めたが、担当医に不信感をもち転院。
治療により受け口が改善し、下あごの輪郭も若干後ろに下がった印象になりました。
- 費用(概算)
- 104.5万円費用は治療当時の料金となります
治療について
某格安マウスピース病院での担当医の説明に不信感を持ったとのことでした。話を聞く限りですが、治療のゴールは患者様が決めると説明をしたなど、治療計画も骨格的に受け口の方に対するアプローチとしてはずさんな印象を受けました。
一見簡単そうにみえて、前歯の反対咬合を入れ替える際は一時的に奥歯もかみ合わない状態になります。
顎のずれが大きい場合はそれだけでは治療できないことが多いです。
実際同じ系列の病院で受け口の方が治療を長期に受けられて奥歯が全くかみ合わない状態で相談に来たことがあります。
当院では下の歯を後ろに下げるため矯正用ミニスクリューを用いてしっかり移動を行う等ご説明をし、治療開始しました。
マウスピース矯正の注意事項(リスク・副作用など)
- 口腔内・歯並びの状態によっては対応できない場合があります
- マウスピース型矯正装置の長時間装着(1日20時間以上)が必須です
- 治療計画通りに進めるためには、患者様の意志が重要になります
- 矯正治療後の保定が不十分だと後戻り(元の位置に戻ろうとする動き)をします
- 薬機法対象外の矯正歯科装置のため医薬品副作用被害救済制度の対象外となる場合があります
- 自費診療(保険適用外)となります
当サイトの内容、テキスト、画像等の無断転載、複製、複写、盗用を固く禁じます。



















