症例詳細
Case detail
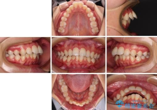
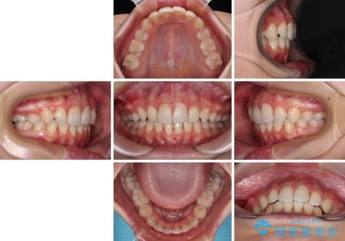
指が入るくらいに隙間のある上下前歯 抜歯矯正で横顔の印象が大きく改善
治療症例の内容
- 診療科目
- 担当医
- 藤巻太一朗(ドクタープロフィール)
- 患者様
- 10代女性(高校生)
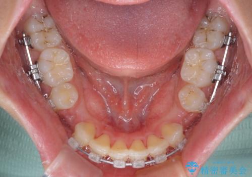
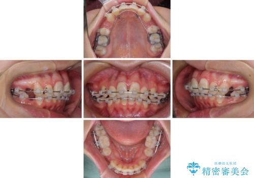
- 矯正装置
- クリアブラケット
- 治療期間
- 1年9ヶ月
- 治療回数
- 10-30回
- 治療計画
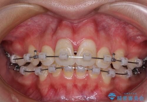
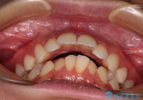
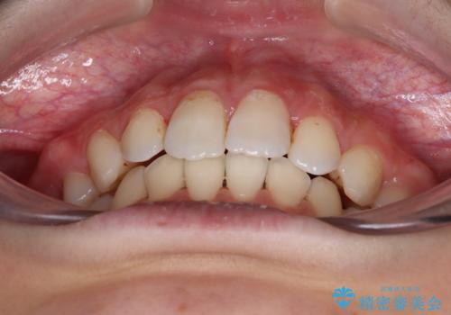
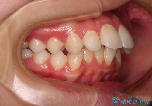
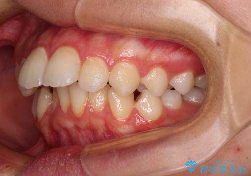
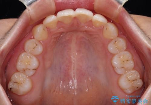
- 上顎前歯の突出感を気にして来院された患者様です。
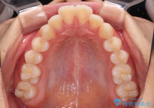
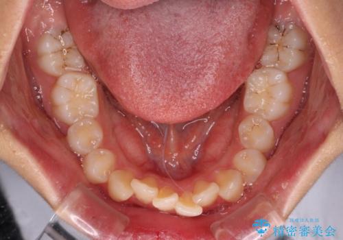
舌の突出癖などにより、上下前歯の間に指が入るくらい隙間のできる状態でした。
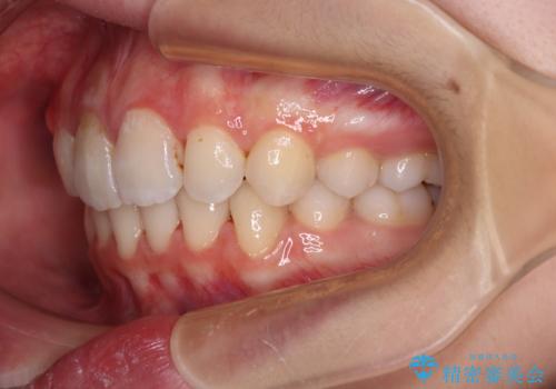
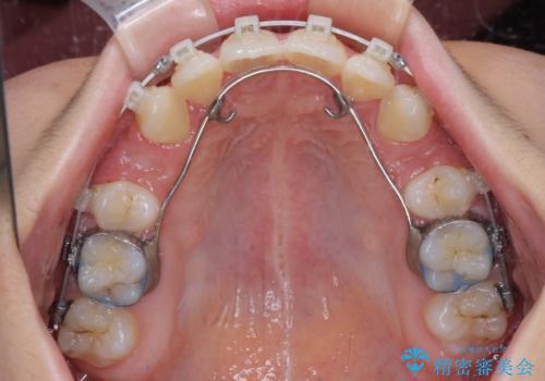
下顎は叢生があったため、上下左右の第一小臼歯4本を抜歯し、更には口元の突出感を大きく改善させるために、上顎臼歯を後方に移動させるための補助装置をしようし、ワイヤー装置にて矯正治療を行うこととしました。
- 費用(概算)
- 治療費の目安: 110万円(税込)費用は治療当時の料金となります
治療について
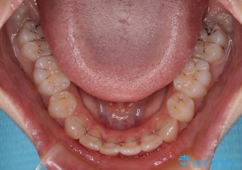
高校生ということもあり、治療期間は2年を切るスピードでした。
舌の突出癖は十分に改善されたとは言えない状態でしたので、今後の後戻り防止対策として、経過観察中も舌のトレーニング指導を行っていくこととなります。
ワイヤー矯正の注意事項(リスク・副作用など)
- 治療中は違和感や痛みが起こることがあります
- 症状により、抜歯が必要な場合があります
- 治療中は歯磨きがしにくくなるため、虫歯や歯周病になりやすくなります
- 矯正治療後の保定が不十分だと後戻り(元の位置に戻ろうとする動き)をします
- 自費診療(保険適用外)となります
当サイトの内容、テキスト、画像等の無断転載、複製、複写、盗用を固く禁じます。


























