症例詳細
Case detail
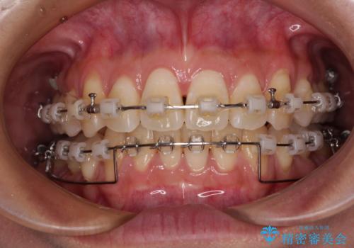
前に飛び出した上顎前歯をスッキリと引っ込める ワイヤー装置での矯正治療
治療症例の内容
- 診療科目
- 担当医
- 藤巻太一朗(ドクタープロフィール)
- 患者様
- 30代女性
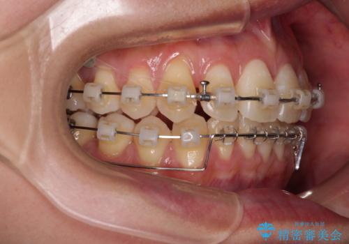
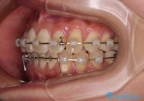
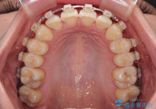
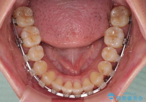
- 矯正装置
- クリアブラケット
- 治療期間
- 1年6ヶ月
- 治療回数
- 10-30回
- 治療計画
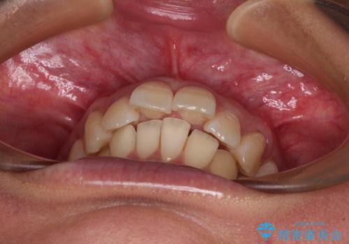
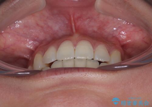
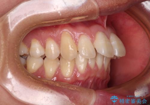
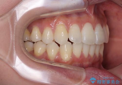
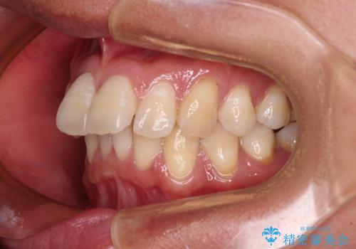
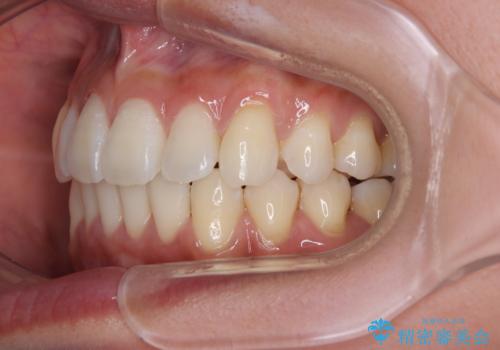
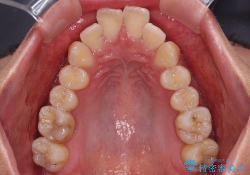
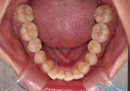
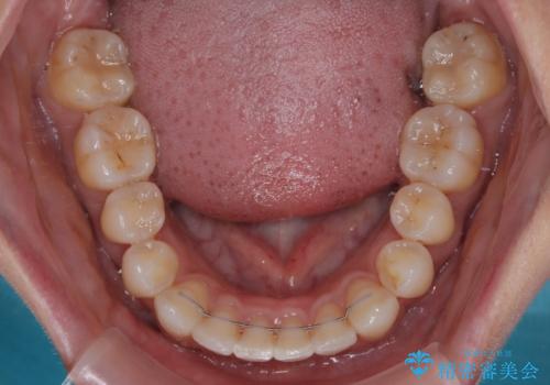
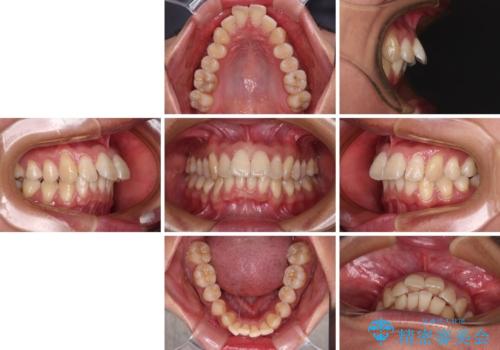
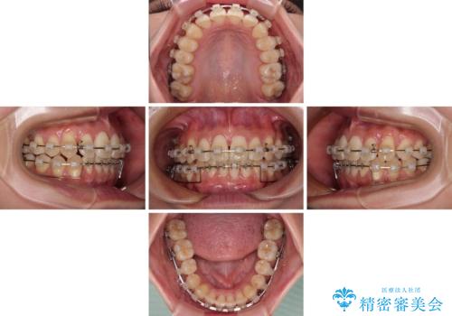
- 上顎前歯の突出感を気にして来院された患者様です。
舌の突出癖の影響で、歯列が前方に飛び出いた形態となっている状態でした。
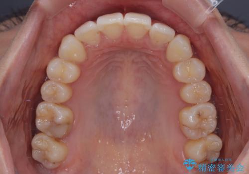
抜歯矯正とするような歯列ではないため、舌のトレーニングを行いながら歯列を側方に拡大させることで口元の突出感を改善することとしました。
- 費用(概算)
- 治療費の目安: 95万円(税込)費用は治療当時の料金となります
治療について
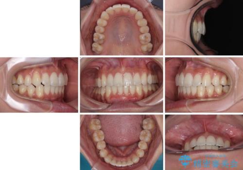
横顔は元々突出した印象ではなかったのですが、上顎前歯の角度が改善したことで、唇の閉じにくさが改善されました。
ワイヤー矯正の注意事項(リスク・副作用など)
- 治療中は違和感や痛みが起こることがあります
- 症状により、抜歯が必要な場合があります
- 治療中は歯磨きがしにくくなるため、虫歯や歯周病になりやすくなります
- 矯正治療後の保定が不十分だと後戻り(元の位置に戻ろうとする動き)をします
- 自費診療(保険適用外)となります
当サイトの内容、テキスト、画像等の無断転載、複製、複写、盗用を固く禁じます。
























