症例詳細
Case detail
出っ歯を治したい ワイヤー装置での抜歯矯正で劇的変化!
治療症例の内容
- 診療科目
- 担当医
- 藤巻太一朗(ドクタープロフィール)
- 患者様
- 20代女性
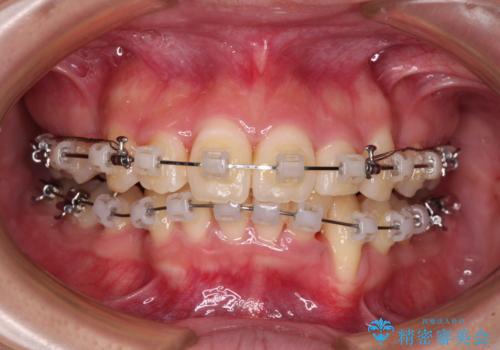
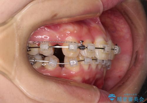
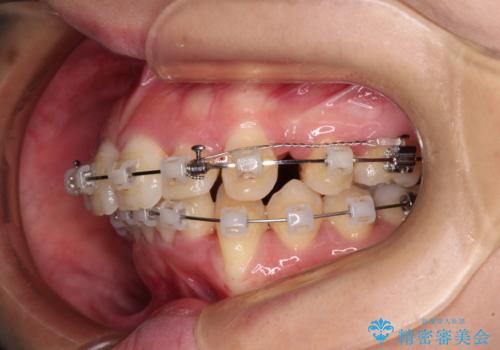
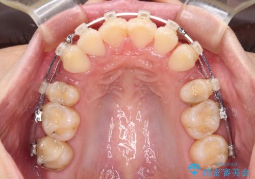
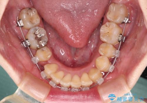
- 矯正装置
- クリアブラケット
- 治療期間
- 3年4ヶ月
- 治療回数
- 30回以上
- 治療計画
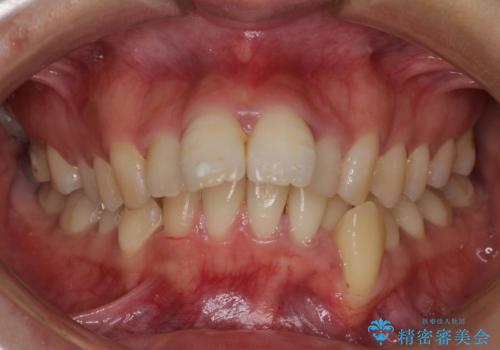
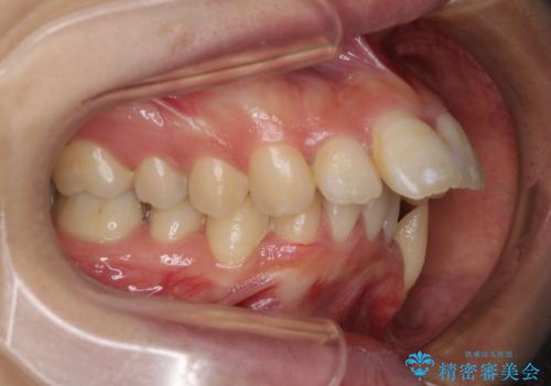
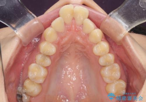
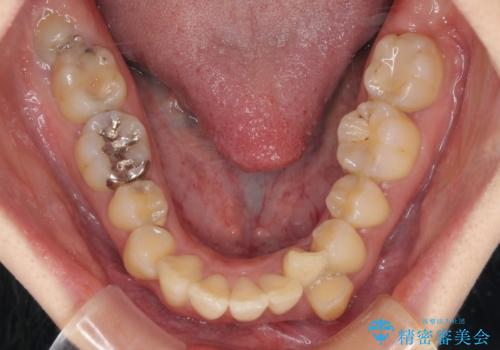
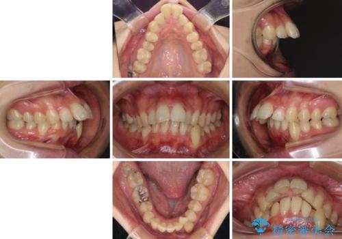
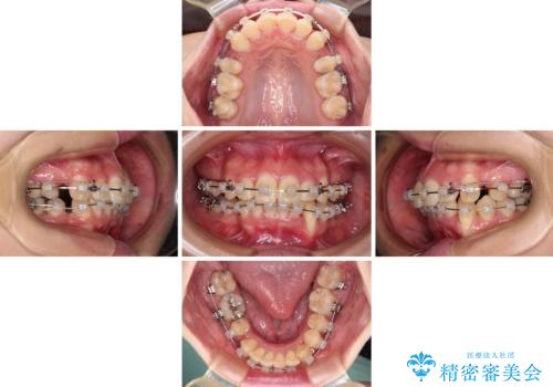
- 口元がひどく突出するくらいの上顎前突を気にして来院された患者様です。
舌の突出癖が顕著で、上顎歯列は完全なV字型となっている状態でした。
下顎歯列にも八重歯があり、上下左右の第一小臼歯4本を抜歯して、ワイヤー装置にて矯正治療を行うこととしました。
- 費用(概算)
- 治療費の目安: 105万円(税込)費用は治療当時の料金となります
治療について
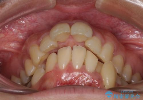
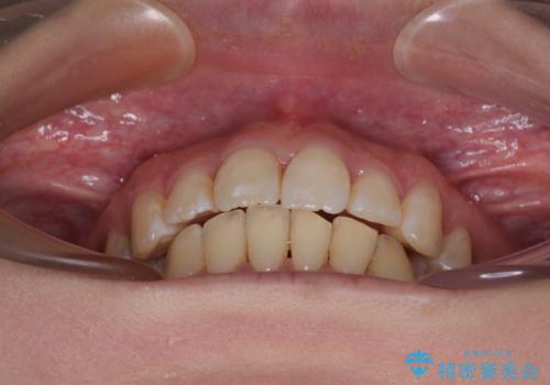
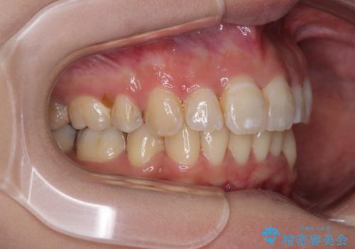
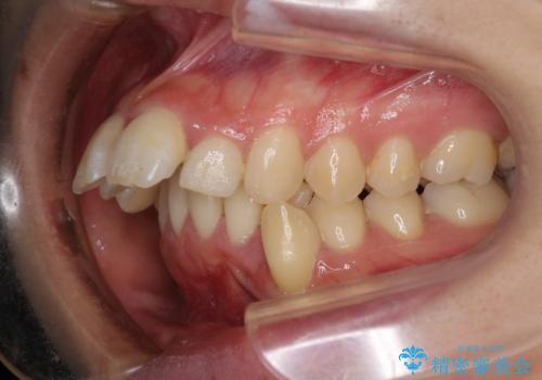
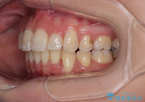
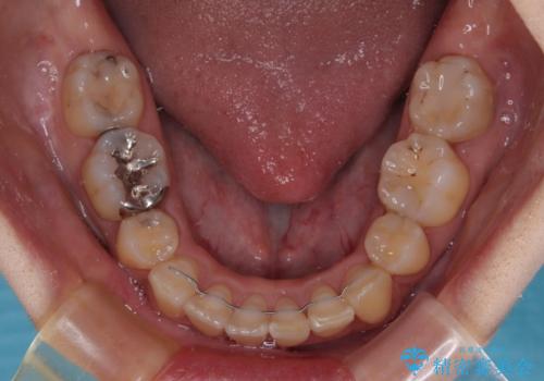
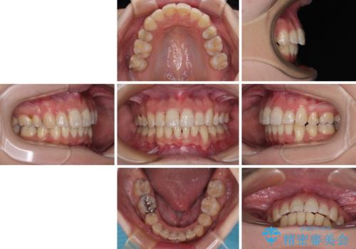
どこまで口元の突出感を改善できるのか不安でしたが、舌のトレーニングをしっかりと行ってくださり、我々も驚くほど劇的に改善することができました。
ワイヤー矯正の注意事項(リスク・副作用など)
- 治療中は違和感や痛みが起こることがあります
- 症状により、抜歯が必要な場合があります
- 治療中は歯磨きがしにくくなるため、虫歯や歯周病になりやすくなります
- 矯正治療後の保定が不十分だと後戻り(元の位置に戻ろうとする動き)をします
- 自費診療(保険適用外)となります
当サイトの内容、テキスト、画像等の無断転載、複製、複写、盗用を固く禁じます。


























