症例詳細
Case detail
上顎前突で口が閉じにくい ワイヤー装置での抜歯矯正
治療症例の内容
- 診療科目
- 担当医
- 藤巻太一朗(ドクタープロフィール)
- 患者様
- 20代女性
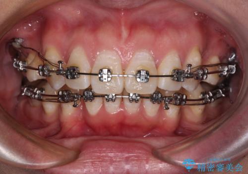
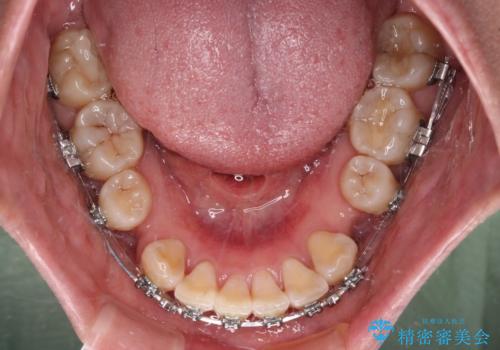
- 矯正装置
- メタルブラケット
- 治療期間
- 2年6ヶ月
- 治療回数
- 10-30回
- 治療計画
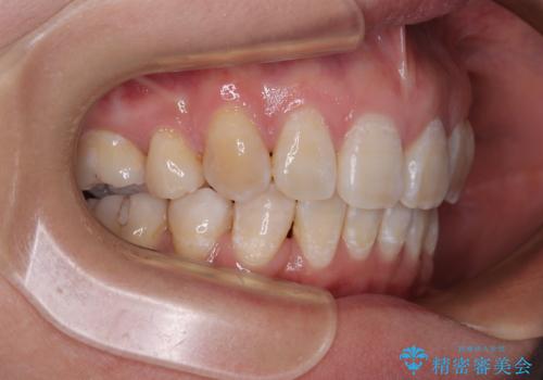
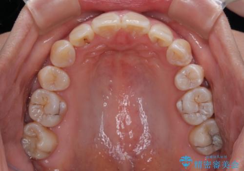
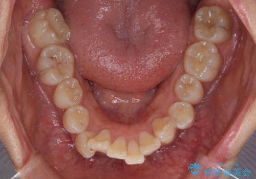
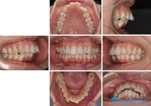
- 上顎歯列の出っ歯を気にして来院された患者様です。
骨格的に上顎歯列が前方位にあり、口元の突出感が顕著な状態で、上下左右の第一小臼歯4本を抜歯して、ワイヤー装置での抜歯矯正を行うこととしました。
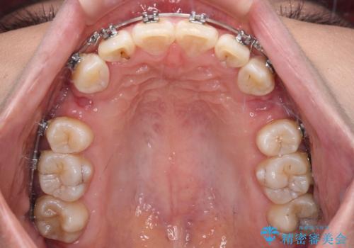
奥歯の咬み合わせ改善のために、アンカースクリューの使用と上顎左右第一小臼歯の抜歯のタイミングをコントロールして、理想的な咬み合わせに仕上げていくこととしました。
- 費用(概算)
- 治療費の目安: 105万円(税込)費用は治療当時の料金となります
治療について
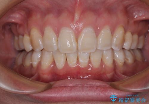
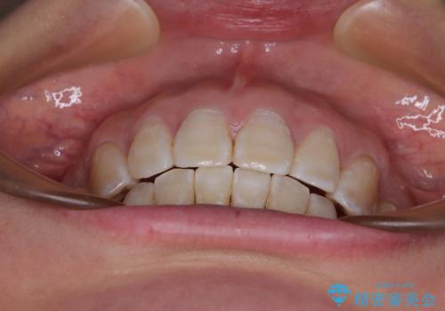
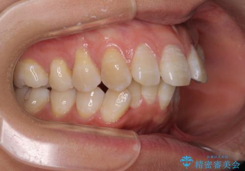
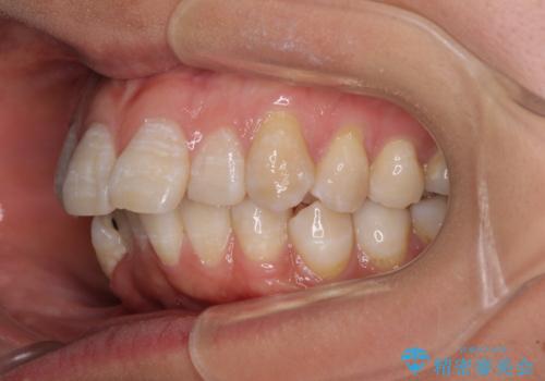
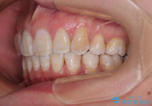
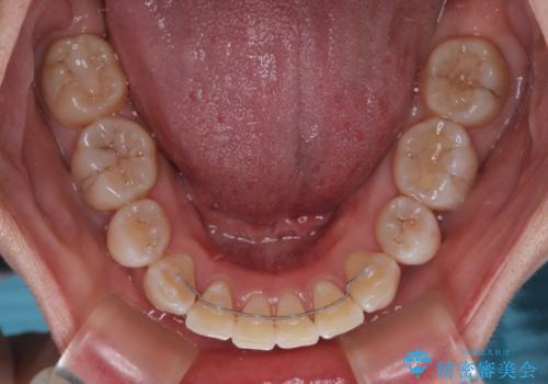
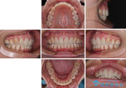
ご本人がびっくりするくらい劇的に口元の突出感が改善され、大変満足のいく仕上がりとなりました。
ワイヤー矯正の注意事項(リスク・副作用など)
- 治療中は違和感や痛みが起こることがあります
- 症状により、抜歯が必要な場合があります
- 治療中は歯磨きがしにくくなるため、虫歯や歯周病になりやすくなります
- 矯正治療後の保定が不十分だと後戻り(元の位置に戻ろうとする動き)をします
- 自費診療(保険適用外)となります
当サイトの内容、テキスト、画像等の無断転載、複製、複写、盗用を固く禁じます。


























