症例詳細
Case detail
八重歯と正中のズレ ワイヤー装置での抜歯矯正
治療症例の内容
- 診療科目
- 治療カテゴリ
- 担当医
- 藤巻太一朗(ドクタープロフィール)
- 患者様
- 20代女性
- 矯正装置
- 審美装置
- 治療期間
- 2年6ヶ月
- 治療回数
- 10-30回
- 治療計画
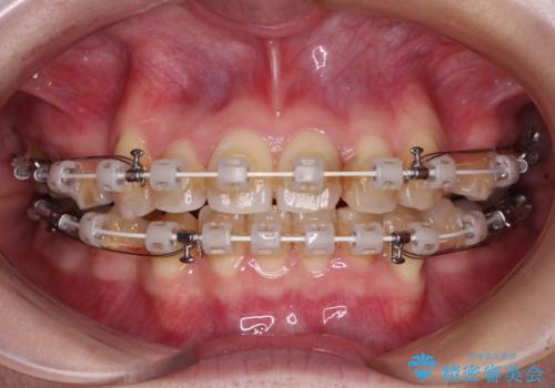
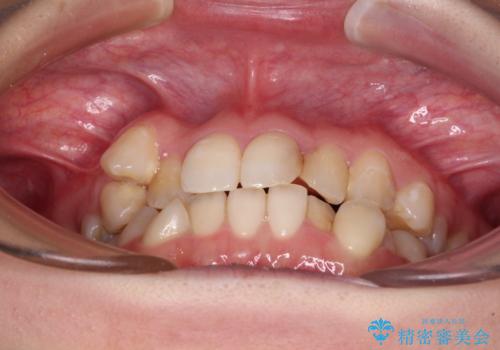
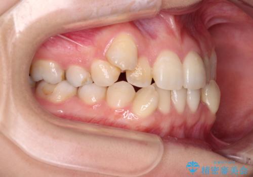
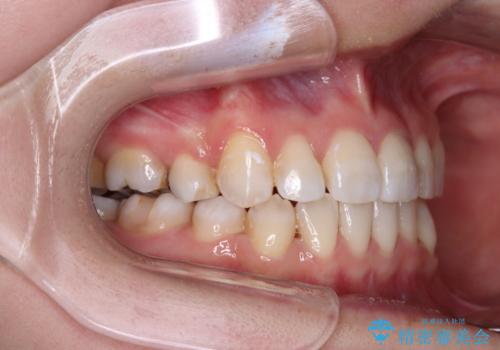
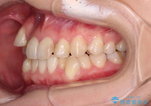
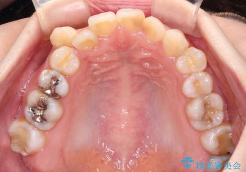
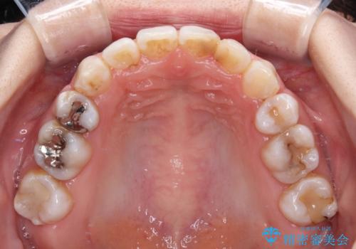
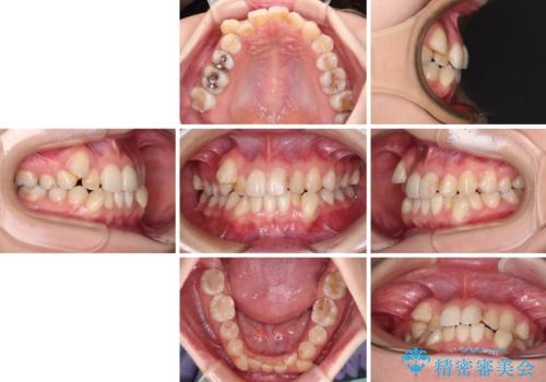
- 上下の八重歯と前歯のデコボコを気にして来院された患者様です。
右上と左下の八重歯が特に著しく、上顎正中が右側にシフトしていました。
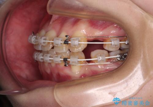
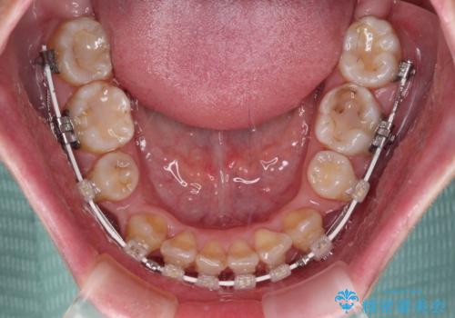
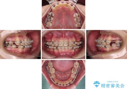
デコボコが強いため小臼歯4本を抜歯し、上顎正中を左側に移動させるために補助装置を使用して、ワイヤー装置にて矯正治療を行うこととしました。
- 費用(概算)
- 治療費の目安: 105万円(税込)費用は治療当時の料金となります
治療について
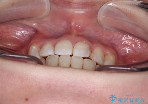
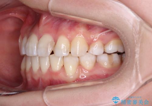
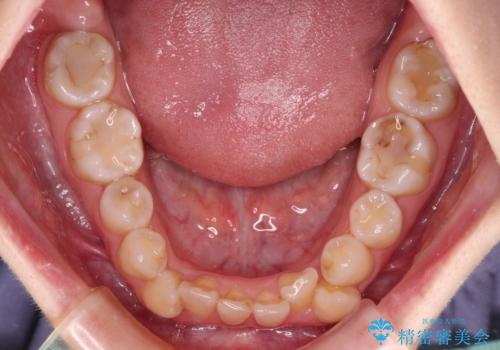
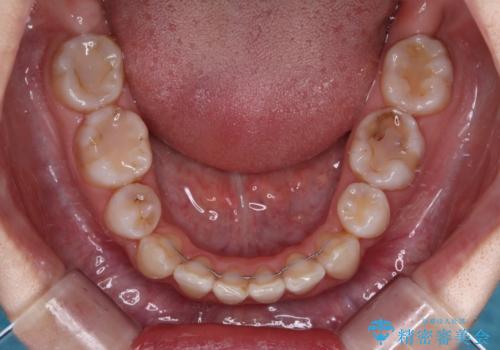
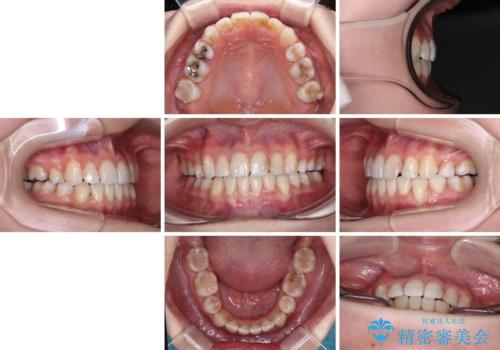
八重歯のためずれていた上下の正中をほぼ一致する位置に整えることができました。
重なって汚れの溜まりやすかった部分も改善され、大変満足していただけました。
ワイヤー矯正の注意事項(リスク・副作用など)
- 治療中は違和感や痛みが起こることがあります
- 症状により、抜歯が必要な場合があります
- 治療中は歯磨きがしにくくなるため、虫歯や歯周病になりやすくなります
- 矯正治療後の保定が不十分だと後戻り(元の位置に戻ろうとする動き)をします
- 自費診療(保険適用外)となります
当サイトの内容、テキスト、画像等の無断転載、複製、複写、盗用を固く禁じます。


























