症例詳細
Case detail
デコボコをワイヤー装置で改善 短期間で綺麗な仕上がりに
治療症例の内容
- 診療科目
- 治療カテゴリ
- 担当医
- 藤巻太一朗(ドクタープロフィール)
- 患者様
- 20代女性
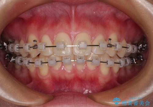
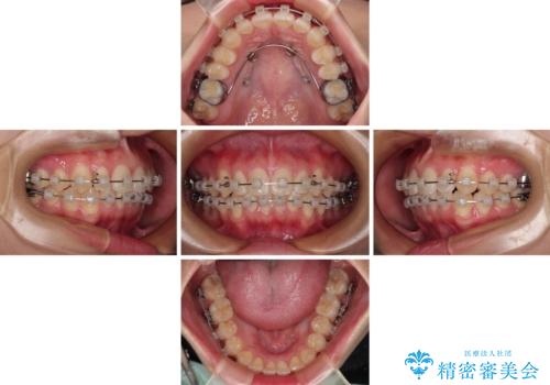
- 矯正装置
- 審美装置
- 治療期間
- 11ヶ月
- 治療回数
- 10-30回
- 治療計画
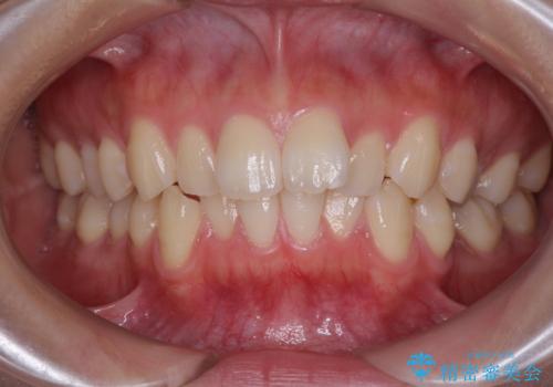
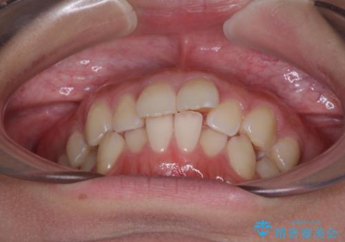
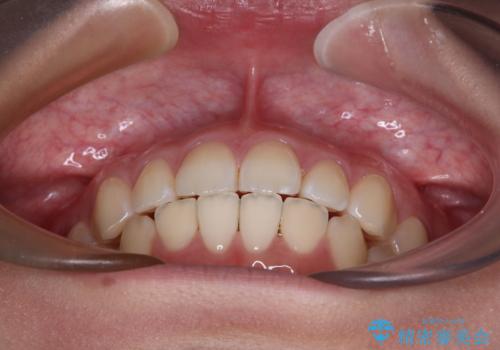
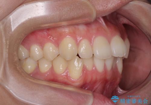
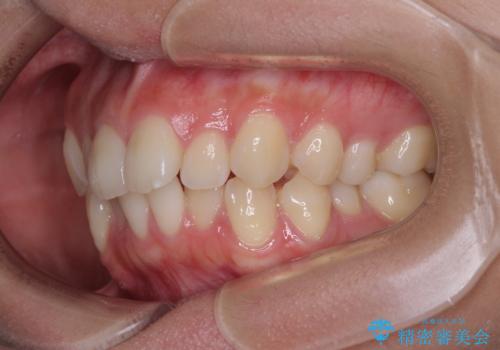
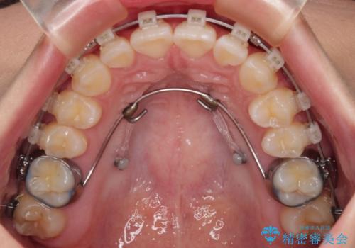
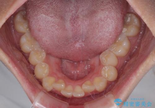
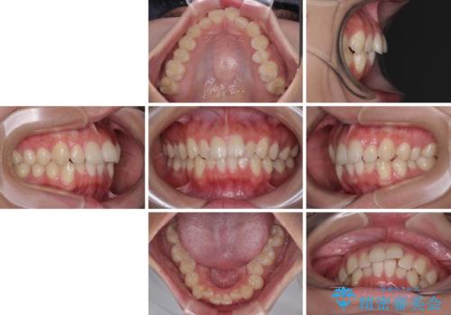
- デコボコを気にして来院された患者様です。
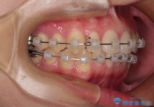
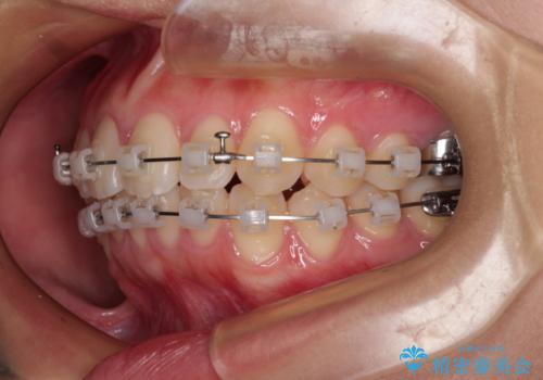
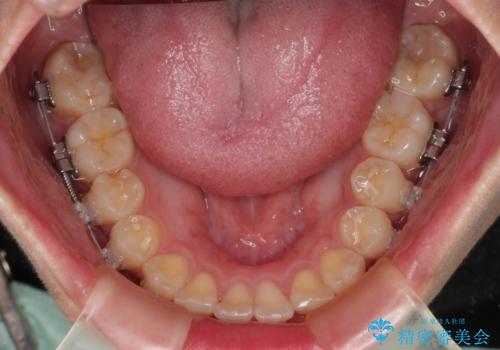
インビザラインでもワイヤー装置でも対応可能でしたが、自己管理の煩わしさの観点から、楽して治療のできるワイヤー装置を選択されました。
抜歯するほどではないものの、やや口元の突出感が気になっていたので、補助装置により上顎臼歯を後方に移動させることで、突出感改善を図ることとしました。
- 費用(概算)
- 治療費の目安: 100万円(税込)費用は治療当時の料金となります
治療について
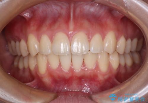
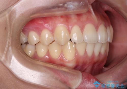
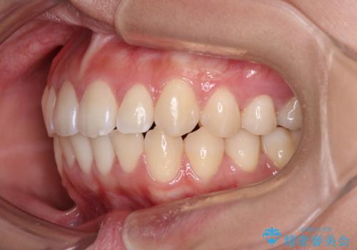
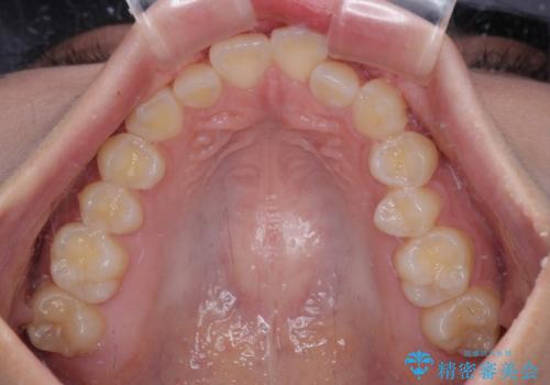
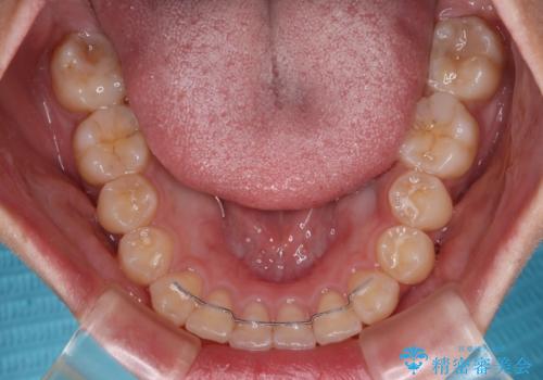
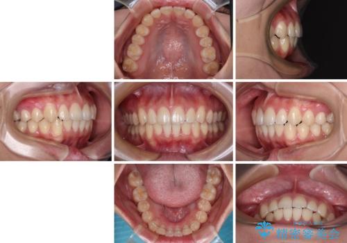
1年弱の短期間で、望み通りのスッキリとした口元に仕上げることができました。
ワイヤー矯正の注意事項(リスク・副作用など)
- 治療中は違和感や痛みが起こることがあります
- 症状により、抜歯が必要な場合があります
- 治療中は歯磨きがしにくくなるため、虫歯や歯周病になりやすくなります
- 矯正治療後の保定が不十分だと後戻り(元の位置に戻ろうとする動き)をします
- 自費診療(保険適用外)となります
当サイトの内容、テキスト、画像等の無断転載、複製、複写、盗用を固く禁じます。


























