症例詳細
Case detail
前歯の黒い縁が気になる オールセラミッククラウンで自然な口元に
治療症例の内容
- 診療科目
- 治療カテゴリ
- 担当医
- 藤巻太一朗(ドクタープロフィール)
- 患者様
- 30代女性
- 治療期間
- 2ヶ月
- 治療回数
- 2-5回
- 治療計画
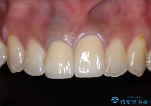
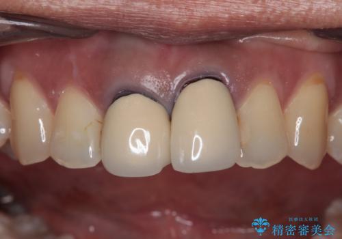
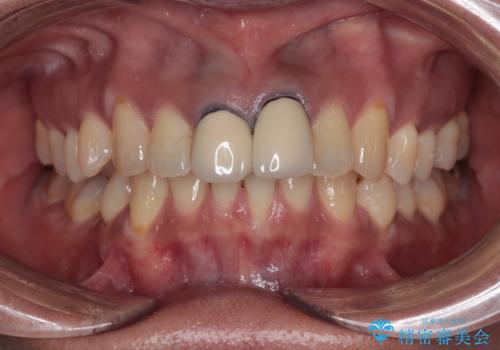
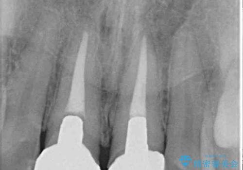
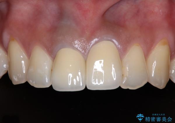
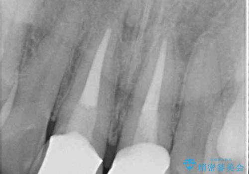
- 前歯のクラウン付近の歯肉が黒く見えることを気にして来院された患者様です。
10年以上前に根管治療を行っており、その際にはラバーダムを使用してしっかりと治療を行っていたとのことで、今回は根管治療は行わずに土台のみを作り替えた上で、オールセラミッククラウンにて補綴治療を行うこととしました。
- 費用(概算)
- 治療費の目安: 30万円(税込)費用は治療当時の料金となります
治療について
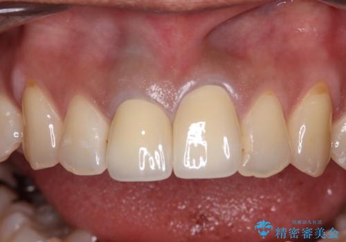
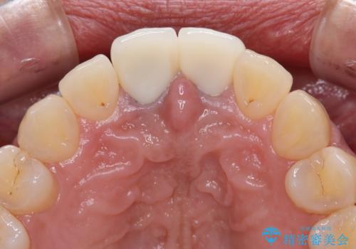
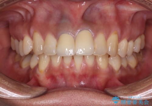
オールセラミッククラウンは金属を使用していないため、本物の歯のような綺麗な仕上がりとなりました。
セラミック治療の注意事項(リスク・副作用など)
- 天然歯を削ります
- 硬い素材は天然歯を傷つけてしまう場合があります
- かみ合わせや歯ぎしりが強すぎる方はセラミックが割れてしまう可能性があります
- 自費診療(保険適用外治療)となります
当サイトの内容、テキスト、画像等の無断転載、複製、複写、盗用を固く禁じます。












