症例詳細
Case detail
ガタつきと口元の改善 抜歯を伴うワイヤー矯正
治療症例の内容
- 診療科目
- 担当医
- 大元洋佑(ドクタープロフィール)
- 患者様
- 20代女性
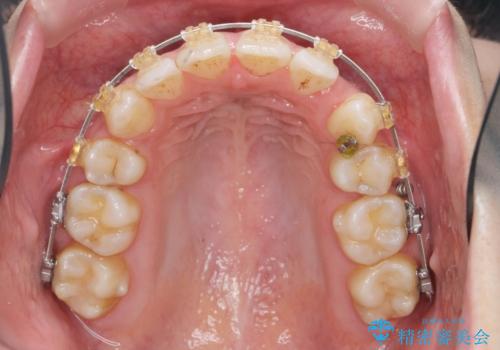
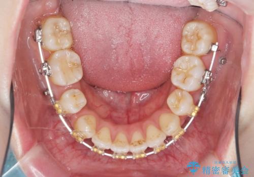
- 矯正装置
- ワイヤー矯正
- 治療期間
- 3年
- 治療回数
- 10-30回
- 治療計画
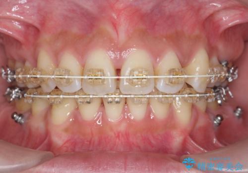
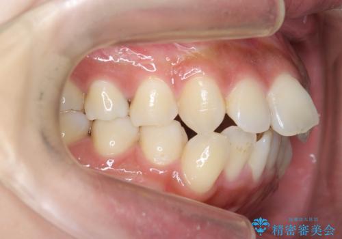
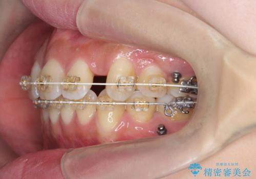
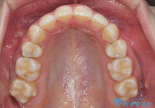
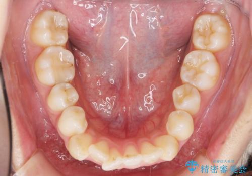
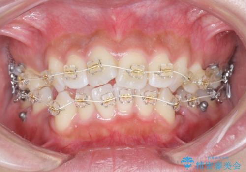
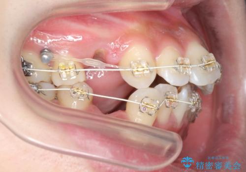
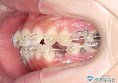
- 唇の閉じづらさと、前歯のがたつきの改善を希望され来院されました。
抜歯を行わなくてもなんとか並べられる歯並びですが、唇の閉じづらさをしっかりと改善するため抜歯を伴うマルチブラケット矯正を行うこととしました。
- 費用(概算)
- 99万円費用は治療当時の料金となります
治療について
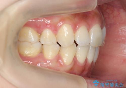
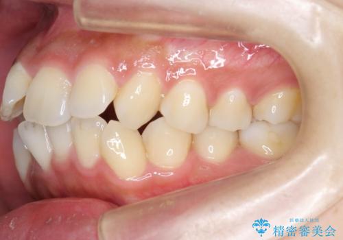
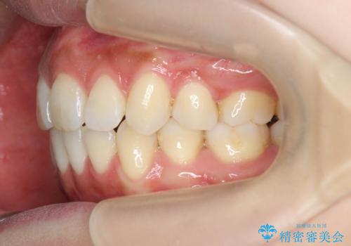
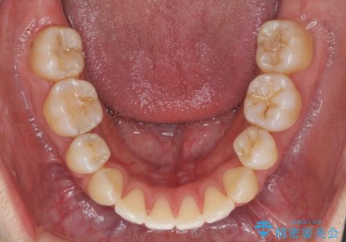
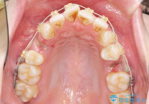
前歯をしっかりと後方に引いたことで、唇は閉じやすくなり、仕上がりに満足いただくことができました。
ワイヤー矯正の注意事項(リスク・副作用など)
- 治療中は違和感や痛みが起こることがあります
- 症状により、抜歯が必要な場合があります
- 治療中は歯磨きがしにくくなるため、虫歯や歯周病になりやすくなります
- 矯正治療後の保定が不十分だと後戻り(元の位置に戻ろうとする動き)をします
- 自費診療(保険適用外)となります
当サイトの内容、テキスト、画像等の無断転載、複製、複写、盗用を固く禁じます。






















