症例詳細
Case detail
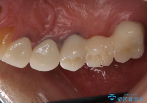
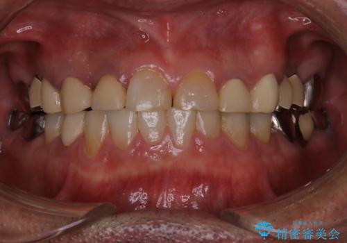
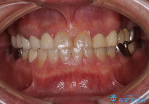
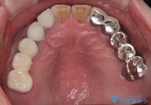
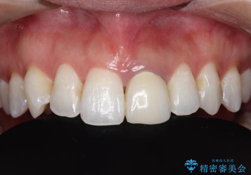
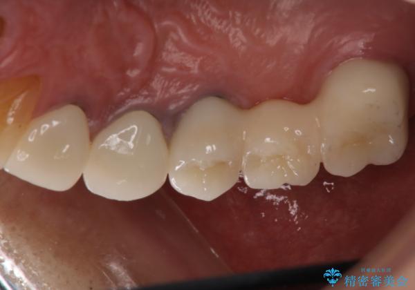
歯肉からの出血 適合の悪い銀歯をオールセラミックのブリッジにやり替え
治療症例の内容
- 患者様
- 50代男性
- 治療期間
- 3ヶ月
- 治療回数
- 2-5回
- 治療計画
- 右上奥歯の歯肉から出血があり異和感をおぼえ来院された患者様です。
歯周治療と補綴治療を行いました。
- 費用(概算)
- 660,000円費用は治療当時の料金となります
治療について
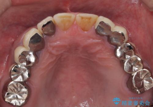
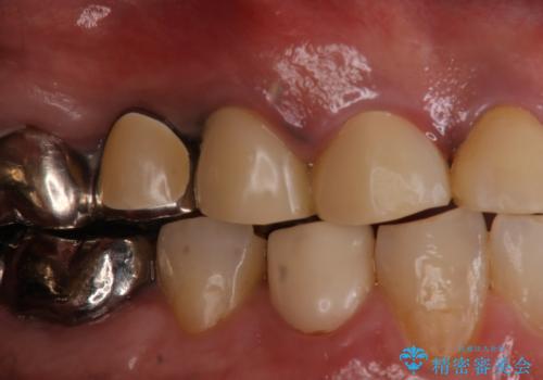
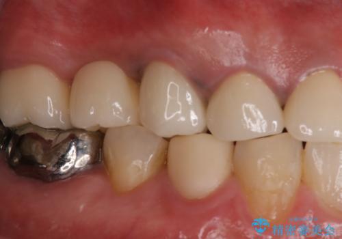
以前の被せ物を除去し、仮歯に変えてすぐに異和感がとれました。
歯周治療を行い、歯肉が引き締まってから補綴治療しました。
セラミック治療の注意事項(リスク・副作用など)
- 天然歯を削ります
- 硬い素材は天然歯を傷つけてしまう場合があります
- かみ合わせや歯ぎしりが強すぎる方はセラミックが割れてしまう可能性があります
- 自費診療(保険適用外治療)となります
当サイトの内容、テキスト、画像等の無断転載、複製、複写、盗用を固く禁じます。









