症例詳細
Case detail
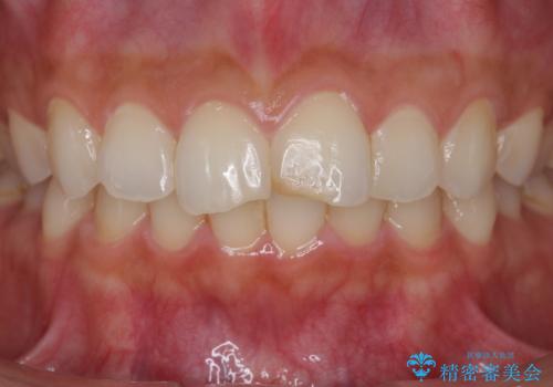
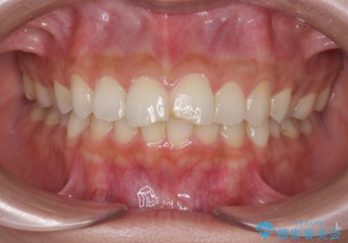
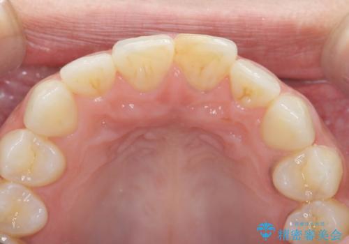
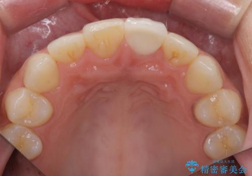
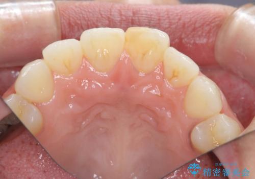
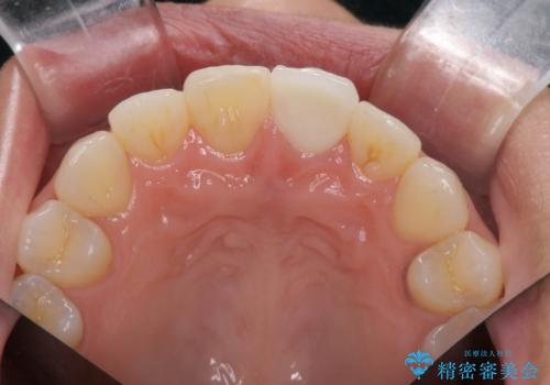
すり減った前歯の形態回復
治療症例の内容
- 診療科目
- 治療カテゴリ
- 担当医
- 大元洋佑(ドクタープロフィール)
- 患者様
- 20代女性
- 治療期間
- 1ヶ月
- 治療回数
- 2-5回
- 治療計画
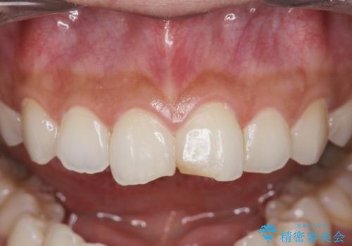
- すり減ってしまった前歯の審美性の回復を希望され来院されました。
何度かレジン修復を試みたものの、脱離しやすく変色も気になる、とのことでセラミッククラウンによる審美性の回復を計画します。
右側は、クラウンにせず可及的に形態を整えることのみでの対応としました。
- 費用(概算)
- 13.2万円(ジルコニアクラウン・仮歯)費用は治療当時の料金となります
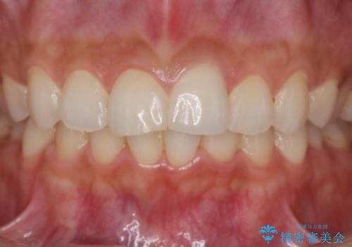
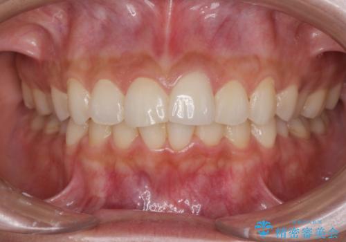
治療について
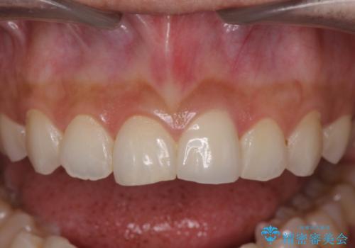
自然な色調のセラミッククラウンで審美性を回復することができ、大変満足いただけました。
セラミック治療の注意事項(リスク・副作用など)
- 天然歯を削ります
- 硬い素材は天然歯を傷つけてしまう場合があります
- かみ合わせや歯ぎしりが強すぎる方はセラミックが割れてしまう可能性があります
- 自費診療(保険適用外治療)となります
当サイトの内容、テキスト、画像等の無断転載、複製、複写、盗用を固く禁じます。














