症例詳細
Case detail
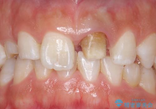
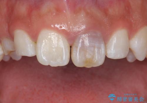
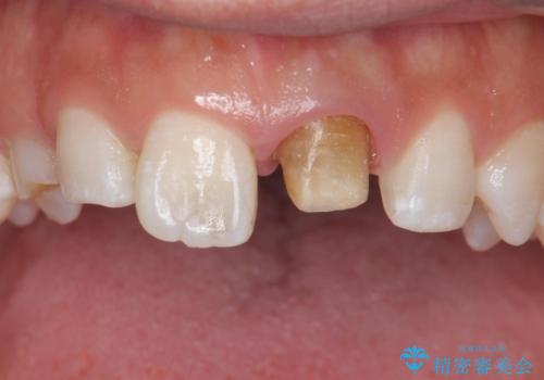
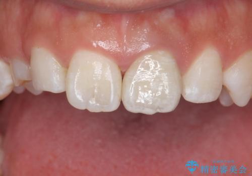
変色した前歯 ジルコニアクラウンでの修復
治療症例の内容
- 診療科目
- 担当医
- 岡田康成(ドクタープロフィール)
- 患者様
- 30代男性
- 治療期間
- 1ヶ月
- 治療回数
- 2-5回
- 治療計画
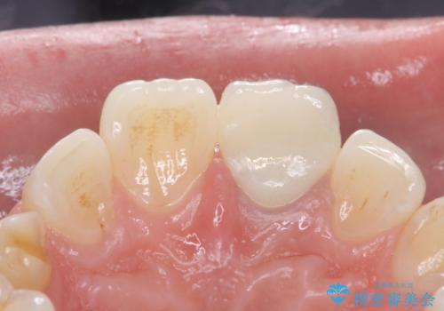
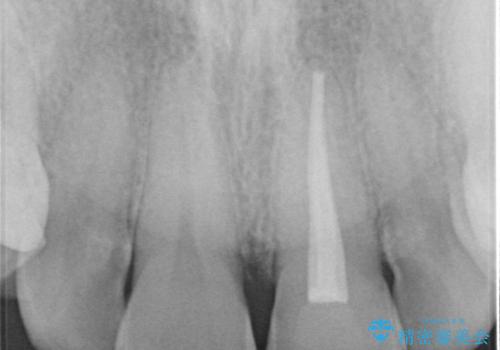
- 前歯の変色を主訴に来院された患者様です。
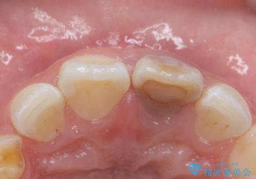
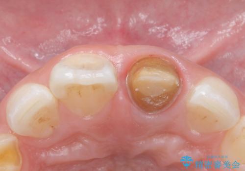
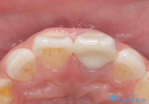
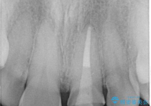
根管治療からのやり直しをした後、ジルコニアクラウンで色調の改善をしていきます。
- 費用(概算)
- 左上1:根管治療(リトリートメント・前歯)/99,000円 ファイバーコア/22,000円 仮歯/11,000円 ジルコニアクラウン(スタンダード)/121,000円 合計253,000円費用は治療当時の料金となります
治療について
歯の黒ずみを完全に見えなくすることができ、大変喜んでいただけました。
被せ物を装着する際は、歯の中(根管)から綺麗にすることも重要となります。
セラミック治療の注意事項(リスク・副作用など)
- 天然歯を削ります
- 硬い素材は天然歯を傷つけてしまう場合があります
- かみ合わせや歯ぎしりが強すぎる方はセラミックが割れてしまう可能性があります
- 自費診療(保険適用外治療)となります
根管治療の注意事項(リスク・副作用など)
- 根管治療により類似の全ての症例の問題が解決するわけではなく、症例はあくまでも一例です
- 根管治療により痛みや腫れがひかない事や、術後に痛みや腫れが生じる事、治療によるファイル破折やパーフォレーションなどの偶発症、術後の歯根破折を生じる可能性もあります
- 自費診療(保険適用外)となります
当サイトの内容、テキスト、画像等の無断転載、複製、複写、盗用を固く禁じます。















