症例詳細
Case detail
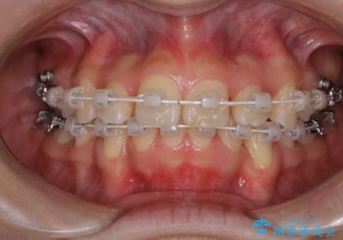
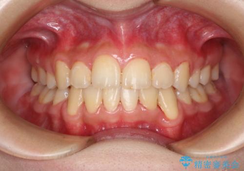
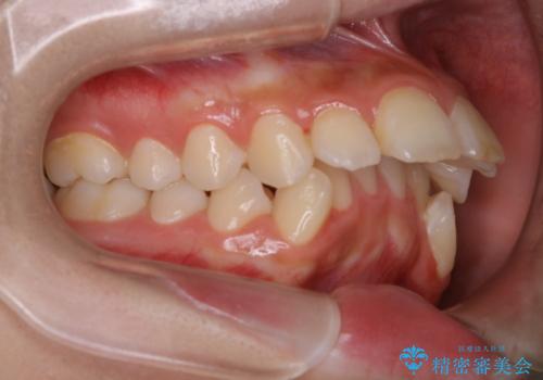
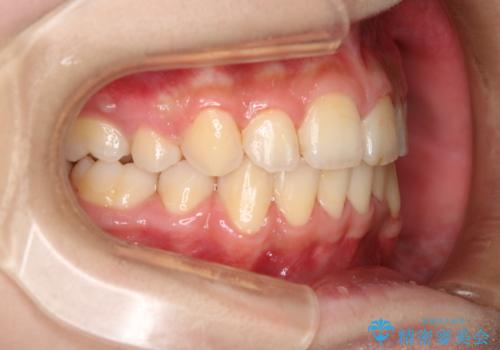
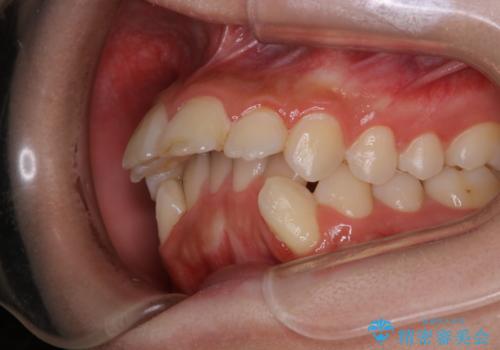
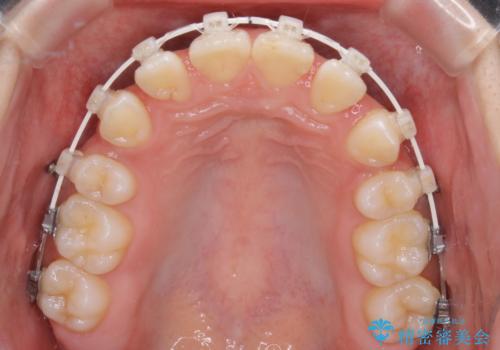
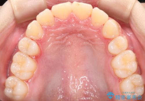
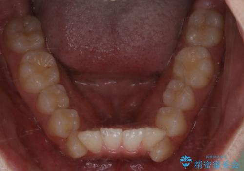
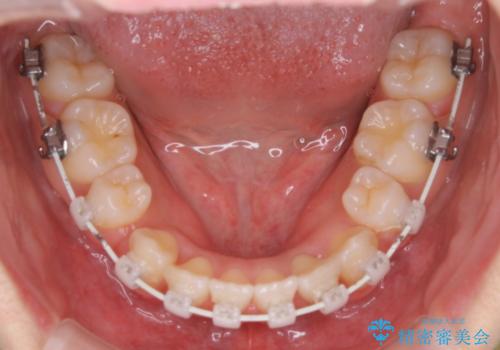
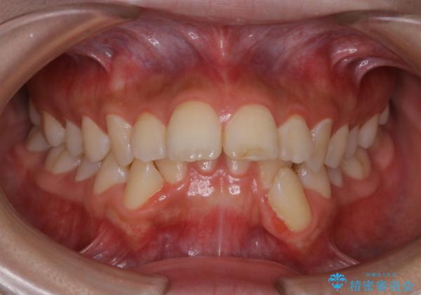
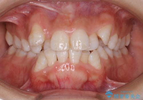
出っ歯と深い噛み合わせ:抜歯矯正で口元スッキリ!
治療症例の内容
- 診療科目
- 担当医
- 患者様
- 20代女性
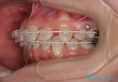
- 矯正装置
- 審美装置(ワイヤー)
- 治療期間
- 1年10ヶ月
- 治療回数
- 30回以上
- 治療計画
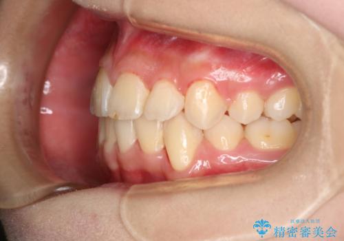
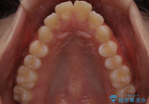
- 出っ歯が気になるとご相談にいらした方です。抜歯して歯を並べました。深かった噛み合わせも改善させることが出来ました。
- 費用(概算)
- 95万円(税込み)費用は治療当時の料金となります
治療について
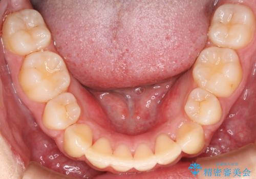
噛み合わせが元々深い方は一般的に噛む力が強く、治療に時間がかかる傾向にあります。治療前の想定よりも短期間でスムーズに治療を終える事ができ、大変喜んでいただけました。リテーナーによる保定もしっかり行っていただいており、後戻りなく快適にすごして頂けているとのことです。
ワイヤー矯正の注意事項(リスク・副作用など)
- 治療中は違和感や痛みが起こることがあります
- 症状により、抜歯が必要な場合があります
- 治療中は歯磨きがしにくくなるため、虫歯や歯周病になりやすくなります
- 矯正治療後の保定が不十分だと後戻り(元の位置に戻ろうとする動き)をします
- 自費診療(保険適用外)となります
当サイトの内容、テキスト、画像等の無断転載、複製、複写、盗用を固く禁じます。



















