症例詳細
Case detail
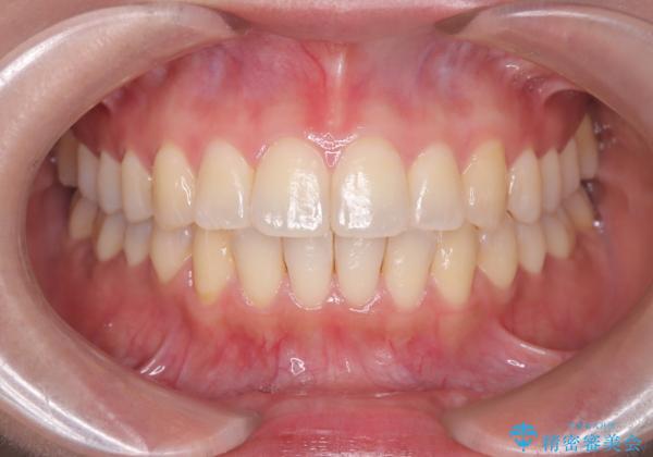
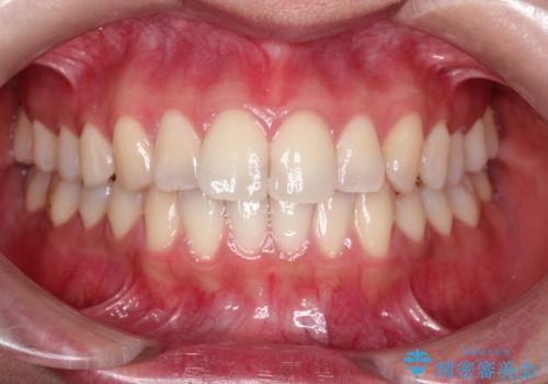
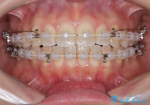
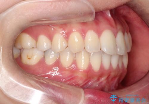
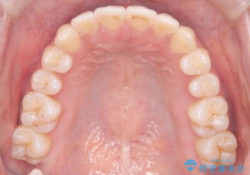
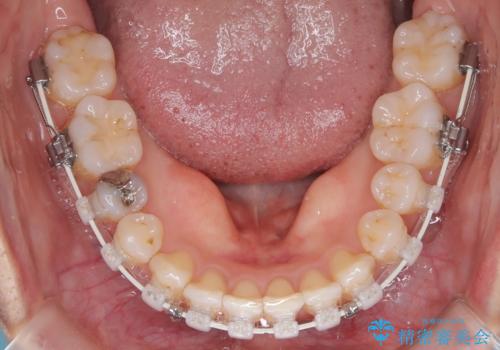
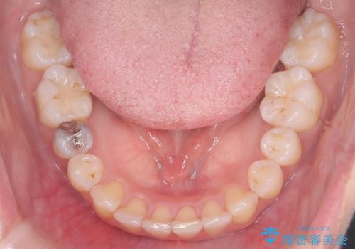
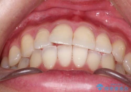
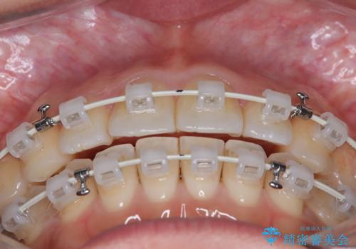
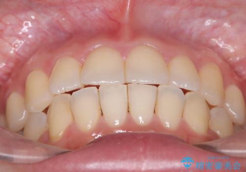
【ワイヤー矯正】軽度の叢生
治療症例の内容
- 担当医
- 河口智英(ドクタープロフィール)
- 患者様
- 20代女性
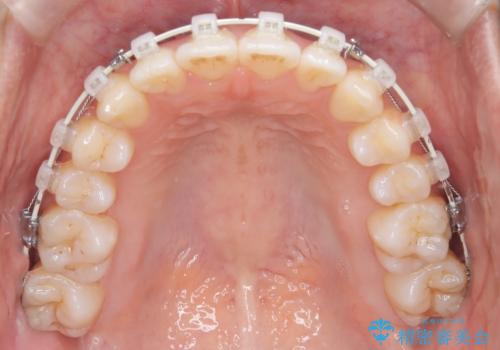
- 矯正装置
- 審美装置
- 治療期間
- 10ヶ月
- 治療回数
- 5-10回
- 治療計画
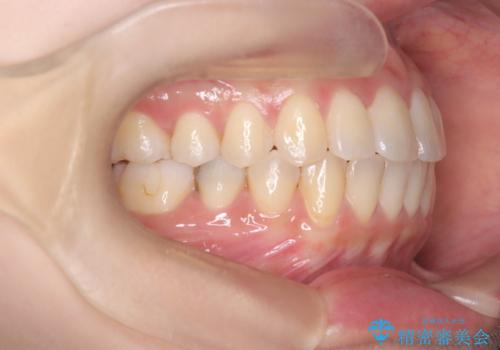
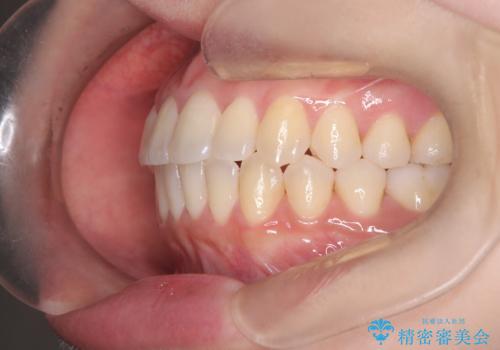
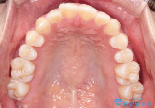
- 前歯のガタガタを主訴に来院されました。
 ワイヤー矯正を希望されたため、審美装置にて短期間で治療を終了しています。
- 費用(概算)
- 77万円費用は治療当時の料金となります
治療について
今回のケースはインビザラインでも治療可能です。
ただ、ワイヤー矯正の方が咬合状態を管理しやすく、捻転を治しやすいというメリットがあります。
ワイヤー矯正の注意事項(リスク・副作用など)
- 治療中は違和感や痛みが起こることがあります
- 症状により、抜歯が必要な場合があります
- 治療中は歯磨きがしにくくなるため、虫歯や歯周病になりやすくなります
- 矯正治療後の保定が不十分だと後戻り(元の位置に戻ろうとする動き)をします
- 自費診療(保険適用外)となります
当サイトの内容、テキスト、画像等の無断転載、複製、複写、盗用を固く禁じます。








 
                       
                                                          

















 
                   
                   
                  