症例詳細
Case detail
【ワイヤー矯正】一番後ろの奥歯でしか噛んでいないかみ合わせを治したい
治療症例の内容
- 診療科目
- 治療カテゴリ
- 担当医
- 河口智英(ドクタープロフィール)
- 患者様
- 20代女性
- 矯正装置
- 審美装置
- 治療期間
- 2年
- 治療回数
- 30回以上
- 治療計画
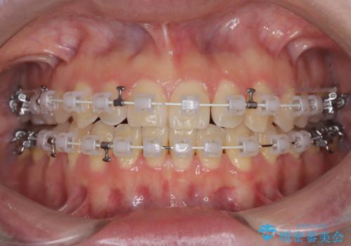
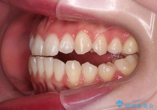
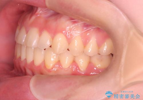
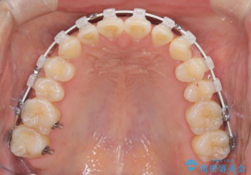
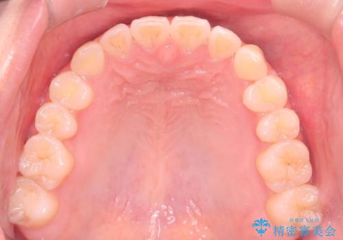
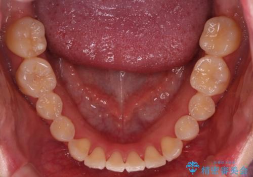
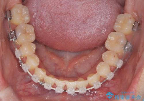
- 噛み合わせを治したいとのことで来院された患者様です。
最初は、一番後ろの奥歯でしか噛んでいない状態で、上下の前歯の先端がちょうど当たる切端咬合でした。
口腔習癖の改善及び、ワイヤー矯正にて歯列の平坦化を行うことで咬合を確立することができました。
- 費用(概算)
- 110万円費用は治療当時の料金となります
治療について
保定中の後戻りを防ぐため、口腔習癖の改善が必要です。
ワイヤー矯正の注意事項(リスク・副作用など)
- 治療中は違和感や痛みが起こることがあります
- 症状により、抜歯が必要な場合があります
- 治療中は歯磨きがしにくくなるため、虫歯や歯周病になりやすくなります
- 矯正治療後の保定が不十分だと後戻り(元の位置に戻ろうとする動き)をします
- 自費診療(保険適用外)となります
当サイトの内容、テキスト、画像等の無断転載、複製、複写、盗用を固く禁じます。















