症例詳細
Case detail
顕微鏡治療下で行う精密虫歯治療・セラミックインレー修復
治療症例の内容
- 診療科目
- 治療カテゴリ
- 担当医
- 大元洋佑(ドクタープロフィール)
- 患者様
- 20代女性
- 治療期間
- 治療回数
- 2-5回
- 治療計画
- 矯正治療を希望され当院を受診されました。
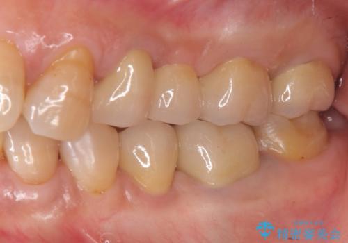
外から見てもなかなかわかりませんが、左側奥歯に大きな虫歯がX線写真で認められるので矯正治療前に虫歯治療を行っていきます。
- 費用(概算)
- 6万円費用は治療当時の料金となります
虫歯治療について
虫歯は放置するとより大きくなり、神経を取らなくてはいけなくなったり抜歯に至ることもある進行性の病気です。
見るだけでは歯の変色なのか、虫歯なのか判断がつきにくい場合X 線写真による検査は最も信頼度が高いといえます。
今回矯正治療に先んじて行われたX 線写真検査により大きな虫歯が見つかり、先に処置を行うことができました。
セラミック治療の注意事項(リスク・副作用など)
- 天然歯を削ります
- 硬い素材は天然歯を傷つけてしまう場合があります
- かみ合わせや歯ぎしりが強すぎる方はセラミックが割れてしまう可能性があります
- 自費診療(保険適用外治療)となります
当サイトの内容、テキスト、画像等の無断転載、複製、複写、盗用を固く禁じます。










