症例詳細
Case detail
前歯のがたつき、中に入ってしまっている 部分矯正で低予算で
治療症例の内容
- 患者様
- 30代女性
- 矯正装置
- インビザライン
- 治療期間
- 6ヶ月
- 治療回数
- 10-30回
- 治療計画
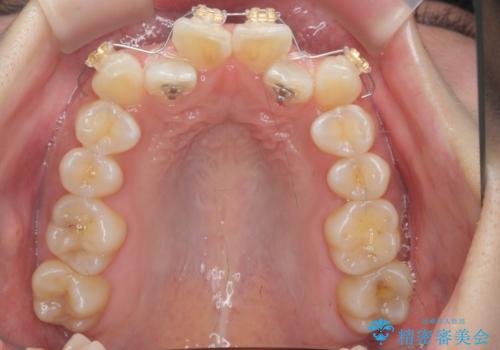
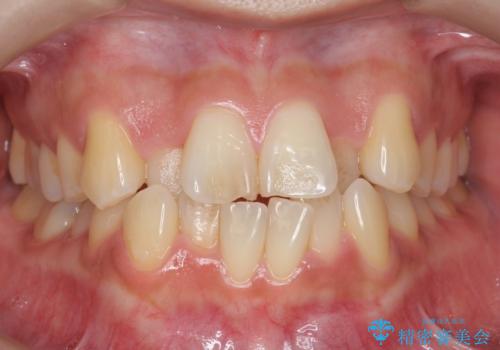
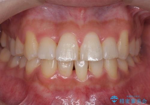
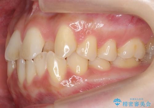
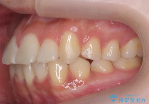
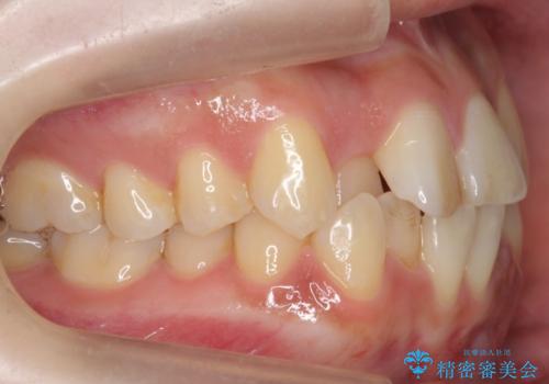
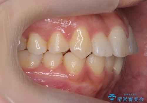
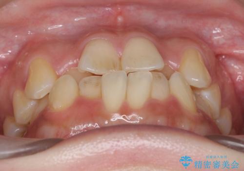
- 前歯のがたつき、受け口を主訴に来院。
上の前歯が二本裏側に入っていました。(反対咬合といいます)
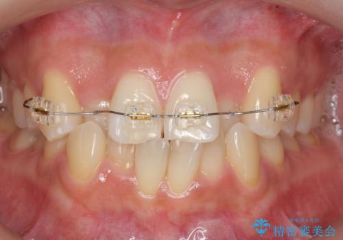
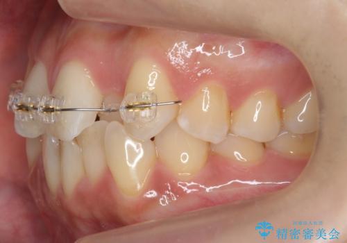
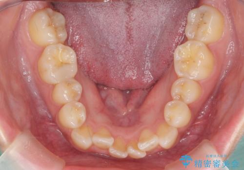
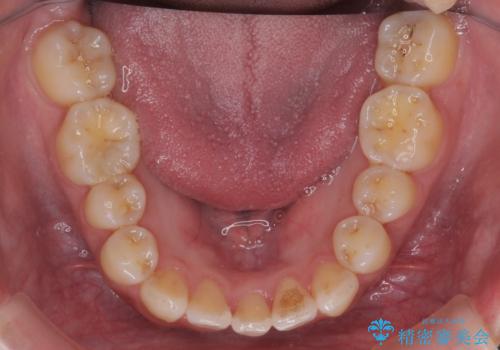
上はワイヤー部分矯正、下はインビザライン(マウスピース)で部分矯正を行いました。
下の前歯を内側に入れる為、一本抜歯しています。
- 費用(概算)
- 60.5万円(インビザラインライト 49.5万円 上顎部分ワイヤー矯正 11万円)費用は治療当時の料金となります
治療について
上の前歯のデコボコは激しく、かぶせ物で治療するとなると2本抜歯してブリッジになってしまいます。ダミーの歯の大きさも小さくなるため不自然になり下の歯のがたつきもあるためお勧めできません。
全体矯正で治そうとすると非抜歯ですとだいぶ口元が前に突出するのに加え、下の前歯が入りきらない可能性がありました。上下左右4本抜歯となるため、それを回避するのに下の前歯を1本抜歯して、下の前歯を確実に内側に入れています。
マウスピース矯正の注意事項(リスク・副作用など)
- 口腔内・歯並びの状態によっては対応できない場合があります
- マウスピース型矯正装置の長時間装着(1日20時間以上)が必須です
- 治療計画通りに進めるためには、患者様の意志が重要になります
- 矯正治療後の保定が不十分だと後戻り(元の位置に戻ろうとする動き)をします
- 薬機法対象外の矯正歯科装置のため医薬品副作用被害救済制度の対象外となる場合があります
- 自費診療(保険適用外)となります
ワイヤー矯正の注意事項(リスク・副作用など)
- 治療中は違和感や痛みが起こることがあります
- 症状により、抜歯が必要な場合があります
- 治療中は歯磨きがしにくくなるため、虫歯や歯周病になりやすくなります
- 矯正治療後の保定が不十分だと後戻り(元の位置に戻ろうとする動き)をします
- 自費診療(保険適用外)となります
当サイトの内容、テキスト、画像等の無断転載、複製、複写、盗用を固く禁じます。

















