症例詳細
Case detail
黄ばんだ前歯をきれいに 前歯の審美歯科治療
治療症例の内容
- 診療科目
- 治療カテゴリ
- 担当医
- 藤巻太一朗(ドクタープロフィール)
- 患者様
- 60代男性
- 治療期間
- 3ヶ月
- 治療回数
- 2-5回
- 治療計画
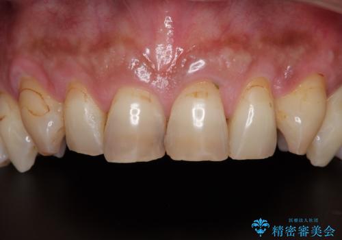
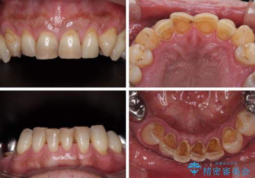
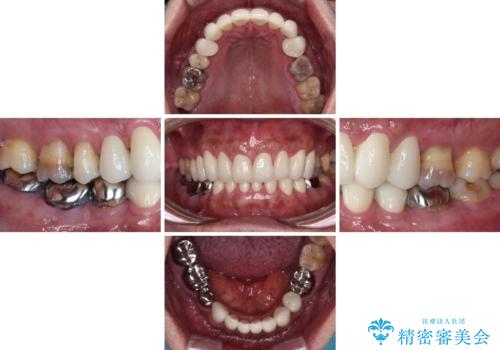
- 薬剤の影響で黄ばんでしまった前歯を気にして来院された患者様です。
お子様が大学を卒業され、経済的に余裕ができたとのことで、長年気にしていた前歯を綺麗にする決断をされたとのことでした。
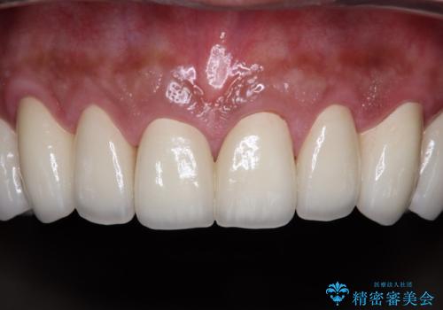
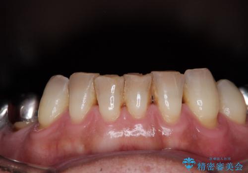
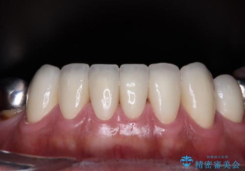
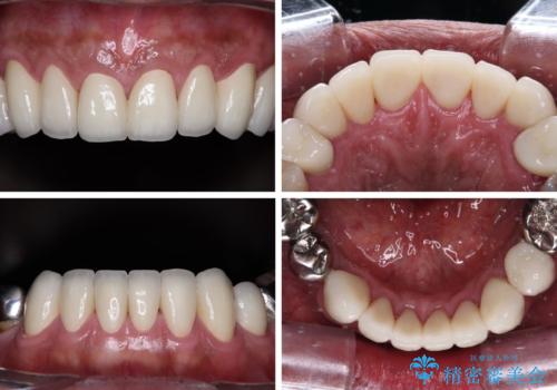
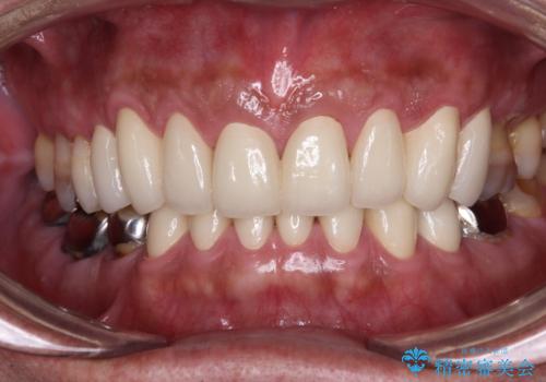
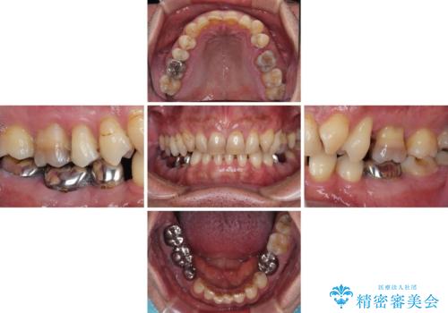
奥歯の銀歯も気にはなるものの、口を開けたときに目立たないとのことで、上下ともに前歯を中心にオールセラミッククラウンにて補綴治療を行うこととしました。
- 費用(概算)
- 治療費の目安: 220万円(税込)費用は治療当時の料金となります
治療について
咬合力が非常に強いため、就寝時には上下ともにマウスピースを使用していただくよう指導をしています。
セラミック治療の注意事項(リスク・副作用など)
- 天然歯を削ります
- 硬い素材は天然歯を傷つけてしまう場合があります
- かみ合わせや歯ぎしりが強すぎる方はセラミックが割れてしまう可能性があります
- 自費診療(保険適用外治療)となります
当サイトの内容、テキスト、画像等の無断転載、複製、複写、盗用を固く禁じます。












