症例詳細
Case detail
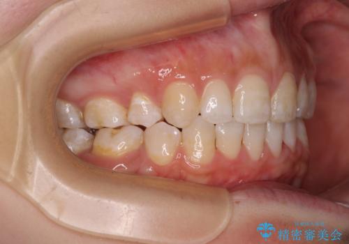
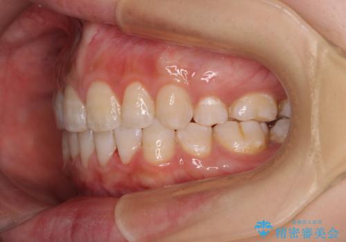
前に出ている上顎 抜歯矯正で唇を閉じやすく
治療症例の内容
- 担当医
- 藤巻太一朗(ドクタープロフィール)
- 患者様
- 20代女性
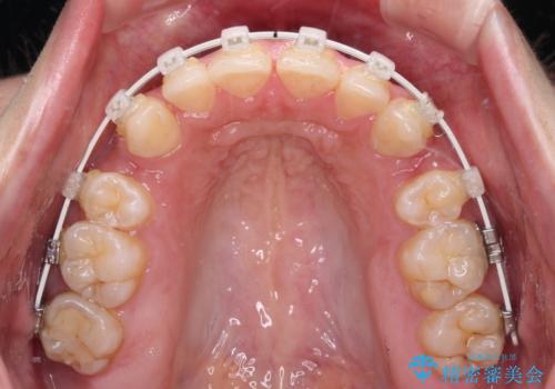
- 矯正装置
- 審美装置
- 治療期間
- 1年11ヶ月
- 治療回数
- 10-30回
- 治療計画
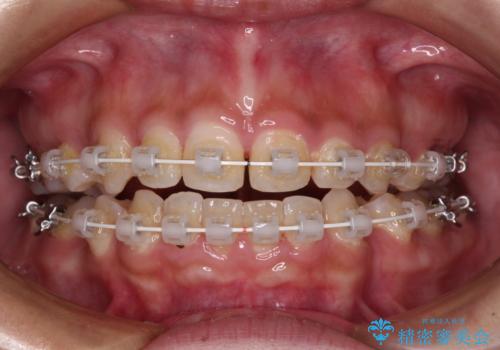
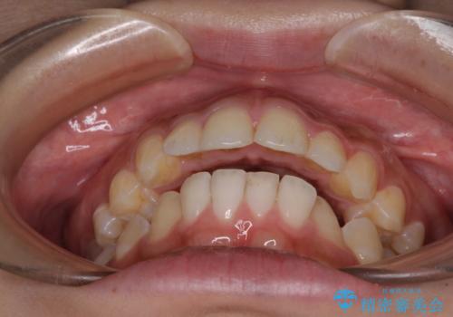
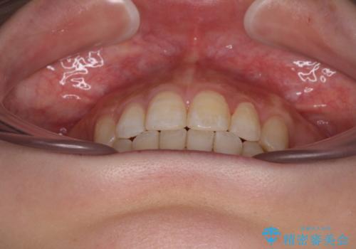
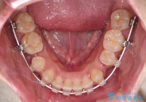
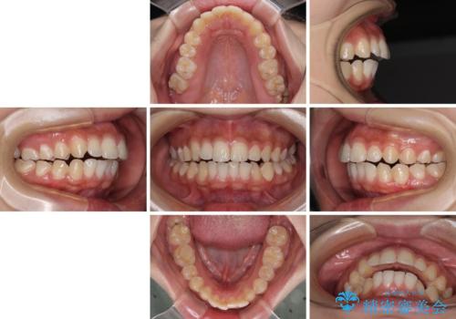
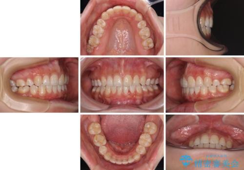
- 口元の突出感と上下前歯のズレを気にして来院された患者様です。
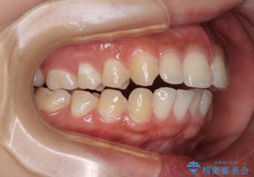
舌の突出癖により上下の前歯は非接触であり、更には奥歯の咬み合わせが非対称となっている状態でした。
舌のトレーニングを行わないと上下前歯の接触達成は困難であるため、トレーニングをしっかりと行っていただきながら、治療を進めて行くこととしました。
通常は上下左右の第一小臼歯4本を抜歯することになりますが、右側臼歯部の咬合が上顎前突気味であったため、下顎右側のみ第二小臼歯を抜歯し、ワイヤー装置にて矯正治療を行うこととしました。
- 費用(概算)
- 治療費の目安: 105万円(税込)費用は治療当時の料金となります
治療について
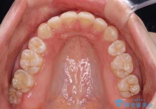
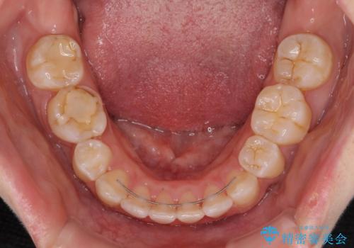
第二小臼歯抜歯はイレギュラーな治療手段であり、治療期間が延びる傾向にありますが、舌のトレーニングをしっかりと行ってくださり、2年弱という非常に短い期間で理想的な仕上がりを達成することができました。
ワイヤー矯正の注意事項(リスク・副作用など)
- 治療中は違和感や痛みが起こることがあります
- 症状により、抜歯が必要な場合があります
- 治療中は歯磨きがしにくくなるため、虫歯や歯周病になりやすくなります
- 矯正治療後の保定が不十分だと後戻り(元の位置に戻ろうとする動き)をします
- 自費診療(保険適用外)となります
当サイトの内容、テキスト、画像等の無断転載、複製、複写、盗用を固く禁じます。


























