症例詳細
Case detail
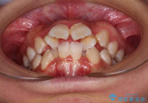
唇からはみ出るほど飛び出した前歯 ワイヤー装置による抜歯矯正
治療症例の内容
- 診療科目
- 担当医
- 藤巻太一朗(ドクタープロフィール)
- 患者様
- 20代女性
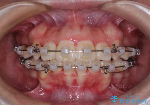
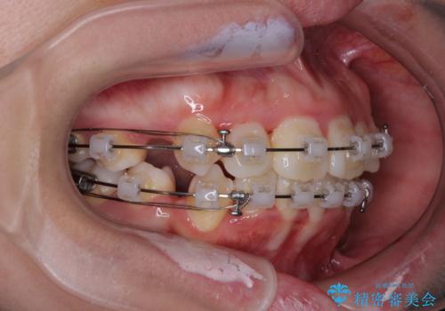
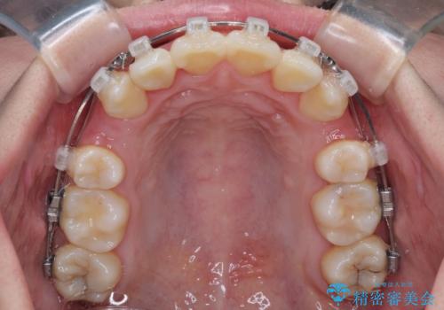
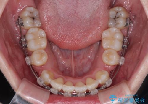
- 矯正装置
- クリアブラケット
- 治療期間
- 2年
- 治療回数
- 10-30回
- 治療計画
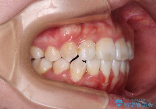
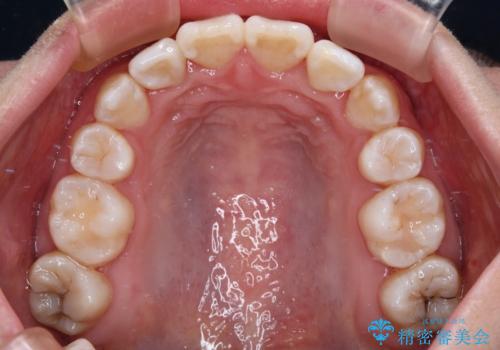
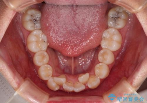
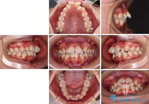
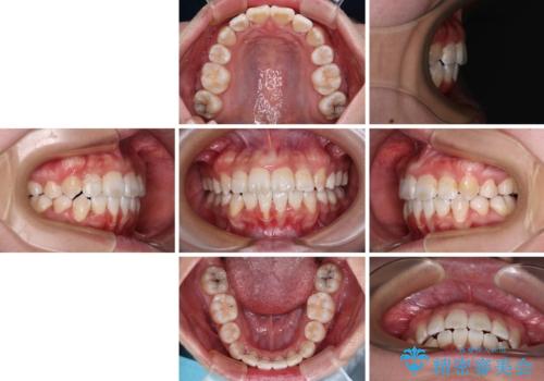
- 飛び出した上顎の前歯と八重歯を気にして来院された患者様です。
口元を積極的に引っ込めるために、上下左右の小臼歯計4本を抜歯することとしました。
舌の突出癖が強いため、しっかりと口元を引っ込めるため、舌のトレーニングをしっかりと行いながら矯正治療を行うこととしました。
- 費用(概算)
- 治療費の目安: 100万円(税込)費用は治療当時の料金となります
治療について
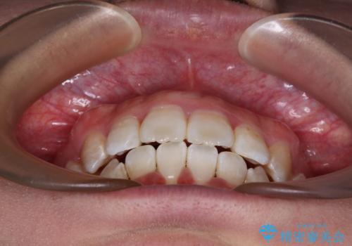
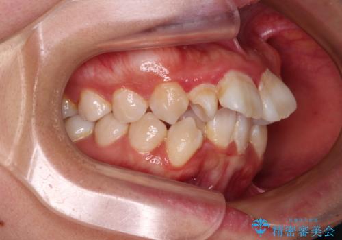
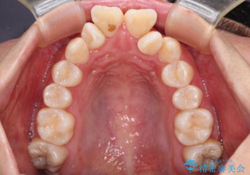
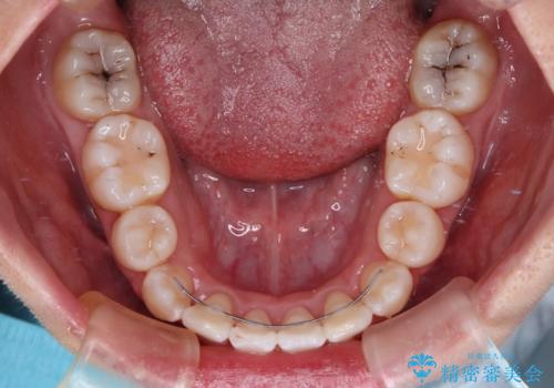
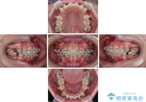
下顎前歯の歯肉が元々薄く、歯肉退縮リスクがあったため、細心の注意を払って治療を進めましたが、残念ながら1歯退縮を起こして歯根が露出してしまいました。
今後、患者様と相談しながら、歯肉移植を行っていく予定です。
ワイヤー矯正の注意事項(リスク・副作用など)
- 治療中は違和感や痛みが起こることがあります
- 症状により、抜歯が必要な場合があります
- 治療中は歯磨きがしにくくなるため、虫歯や歯周病になりやすくなります
- 矯正治療後の保定が不十分だと後戻り(元の位置に戻ろうとする動き)をします
- 自費診療(保険適用外)となります
当サイトの内容、テキスト、画像等の無断転載、複製、複写、盗用を固く禁じます。


























