症例詳細
Case detail
銀歯の下のむし歯で欠けてしまった歯 オールセラミッククラウン治療
治療症例の内容
- 診療科目
- 治療カテゴリ
- 担当医
- 藤巻太一朗(ドクタープロフィール)
- 患者様
- 50代女性
- 治療期間
- 1ヶ月
- 治療回数
- 2-5回
- 治療計画
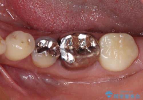
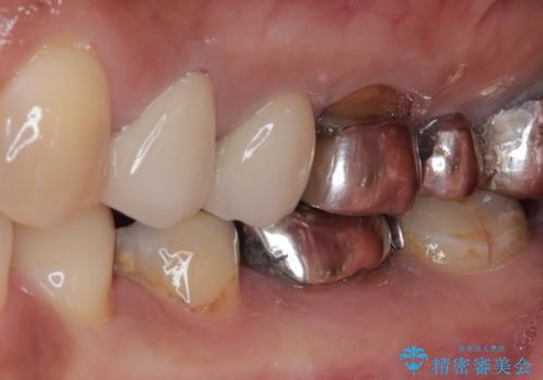
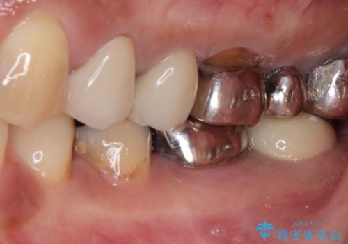
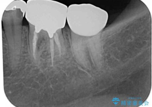
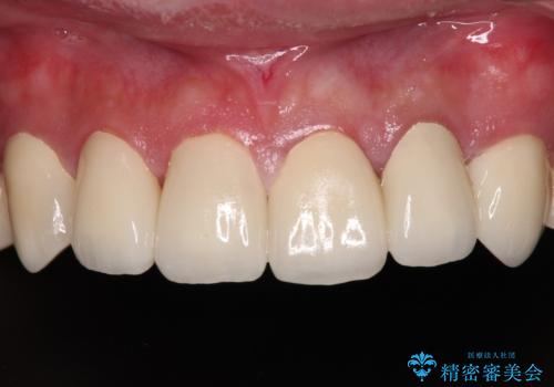
- 銀歯の奥が欠けてしまったとのことで来院された患者様です。
大きな銀歯が装着されており、その下からむし歯が広がっている状態でした。
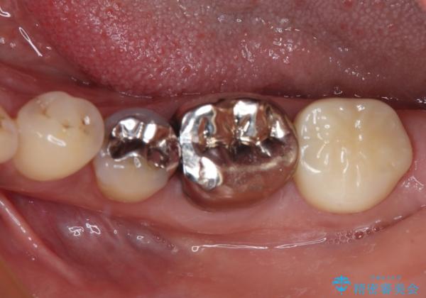
特に症状はなく、神経組織も健全な状態であったため、むし歯を全て取り切った後にフルジルコニアクラウンにて補綴することとしました。
- 費用(概算)
- 治療費の目安: 10万円(税込)費用は治療当時の料金となります
治療について
銀歯などを使用する保険診療は、歯との境界の適合が悪く、むし歯の再発リスクが高いため、長期的な観点から使用は推奨されません。
セラミック治療の注意事項(リスク・副作用など)
- 天然歯を削ります
- 硬い素材は天然歯を傷つけてしまう場合があります
- かみ合わせや歯ぎしりが強すぎる方はセラミックが割れてしまう可能性があります
- 自費診療(保険適用外治療)となります
当サイトの内容、テキスト、画像等の無断転載、複製、複写、盗用を固く禁じます。








