症例詳細
Case detail
前歯の変色 打撲により失活した前歯の根管・セラミック治療
治療症例の内容
- 担当医
- 大元洋佑(ドクタープロフィール)
- 患者様
- 20代女性
- 治療期間
- 1ヶ月
- 治療回数
- 2-5回
- 治療計画
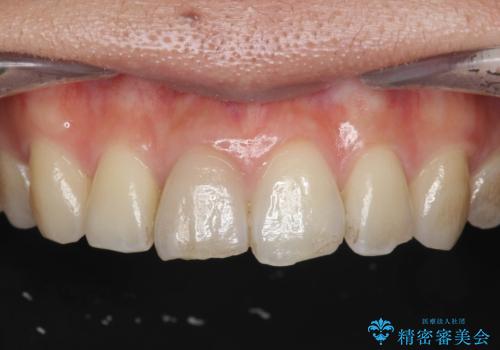
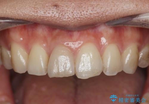
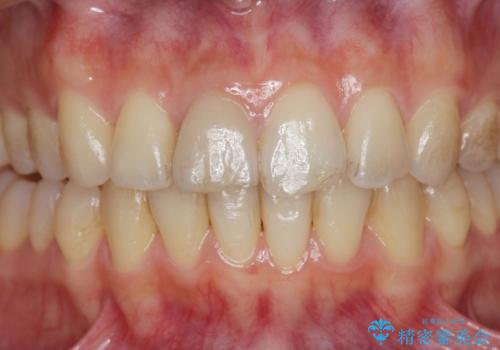
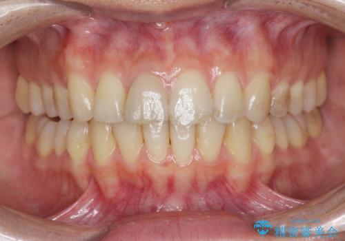
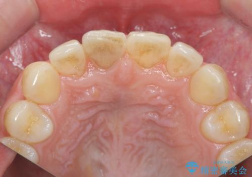
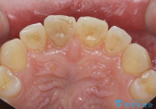
- 変色してきた前歯の形態回復、色調の改善を求めて来院されました。
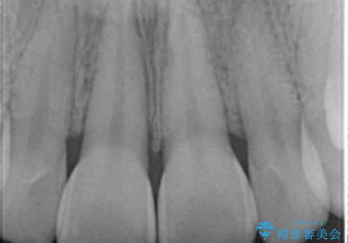
X線検査、歯髄(歯の神経)の検査を行ったところ、失活(歯の神経の死んだ状態)であると診断されました。
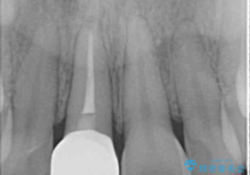
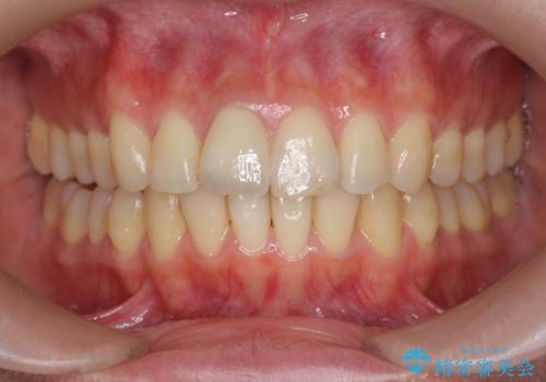
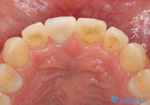
放置すると変色が進行するだけでなく、根尖病変も形成される恐れが強いことから、根管治療を行ったのちセラミッククラウンによる審美性の改善を計画します。
- 費用(概算)
- 13.2万円(ジルコニアクラウン・仮歯)費用は治療当時の料金となります
治療について
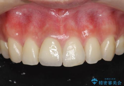
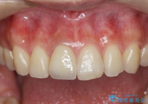
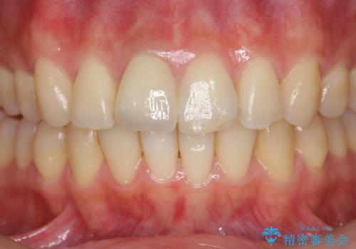
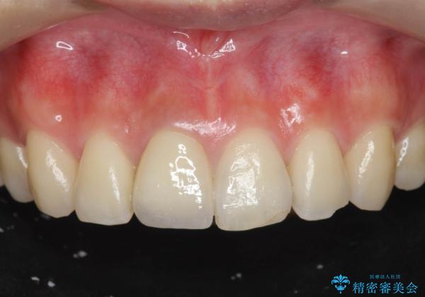
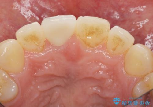
自然な色調をセラミッククラウンで再現することができ、審美性の改善に大変喜んでいただくことができました。
セラミック治療の注意事項(リスク・副作用など)
- 天然歯を削ります
- 硬い素材は天然歯を傷つけてしまう場合があります
- かみ合わせや歯ぎしりが強すぎる方はセラミックが割れてしまう可能性があります
- 自費診療(保険適用外治療)となります
当サイトの内容、テキスト、画像等の無断転載、複製、複写、盗用を固く禁じます。















