症例詳細
Case detail
前歯を明るくしたい 前歯のオールセラミッククラウン治療
治療症例の内容
- 診療科目
- 治療カテゴリ
- 担当医
- 藤巻太一朗(ドクタープロフィール)
- 患者様
- 50代女性
- 治療期間
- 2ヶ月
- 治療回数
- 2-5回
- 治療計画
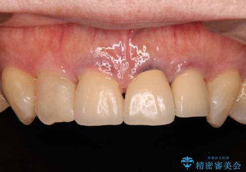
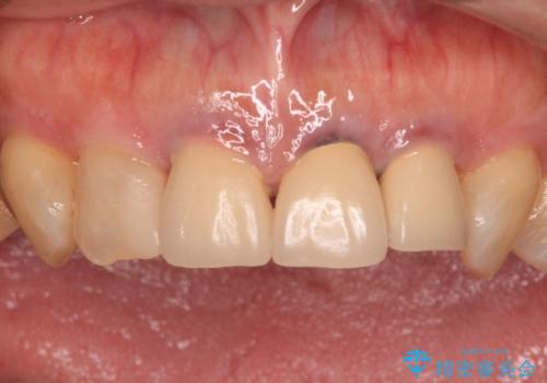
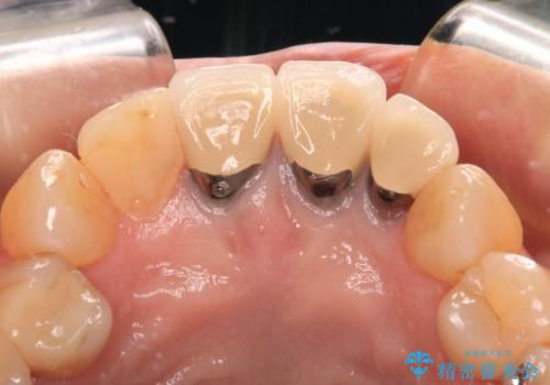
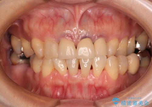
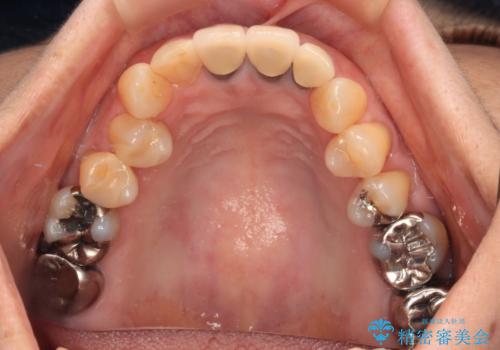
- 黄色みのある前歯のセラミックを、明るい色に替えたいとのことで来院された患者様です。
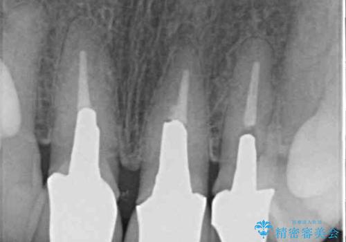
透明感がないことも気になっていたため、オールセラミッククラウンでは透けてしまう可能性のある金属の土台をファイバーコアに置き換え、1トーン明るいクラウンにて仕上げていくこととしました。
- 費用(概算)
- 治療費の目安: 46万円(税込)費用は治療当時の料金となります
治療について
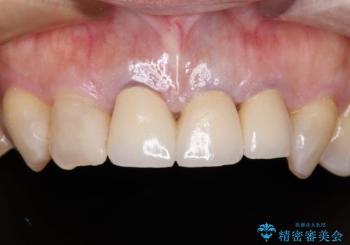
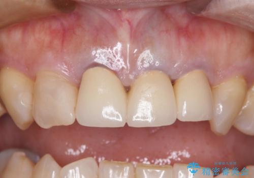
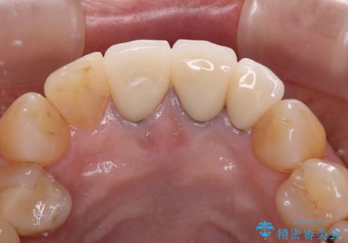
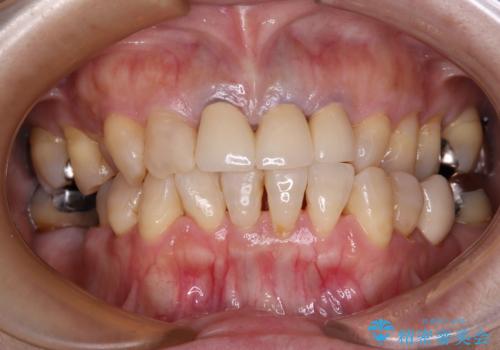
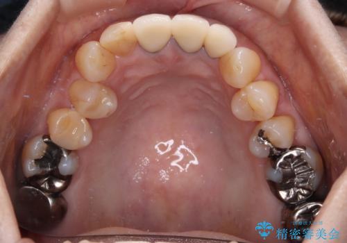
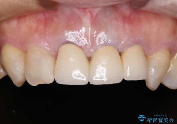
透明感のある自然な色合いとなり、患者様には大変満足していただけました。
セラミック治療の注意事項(リスク・副作用など)
- 天然歯を削ります
- 硬い素材は天然歯を傷つけてしまう場合があります
- かみ合わせや歯ぎしりが強すぎる方はセラミックが割れてしまう可能性があります
- 自費診療(保険適用外治療)となります
当サイトの内容、テキスト、画像等の無断転載、複製、複写、盗用を固く禁じます。












