症例詳細
Case detail
不正咬合で抜歯となった奥歯 インプラントによる咬合回復
治療症例の内容
- 担当医
- 藤巻太一朗(ドクタープロフィール)
- 患者様
- 50代女性
- 治療期間
- 8ヶ月
- 治療回数
- 5-10回
- 治療計画
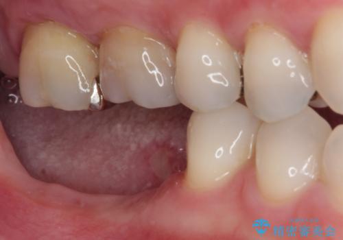
- 近医にて抜歯が必要と言われたとこのことで来院された患者様です。
歯周病により抜歯が必要と診断されたとのことでしたが、実際は奥歯以外に歯周病の所見はなく、不正な咬み合わせにより負担が過剰となり、歯を支える歯槽骨が吸収している状態でした。
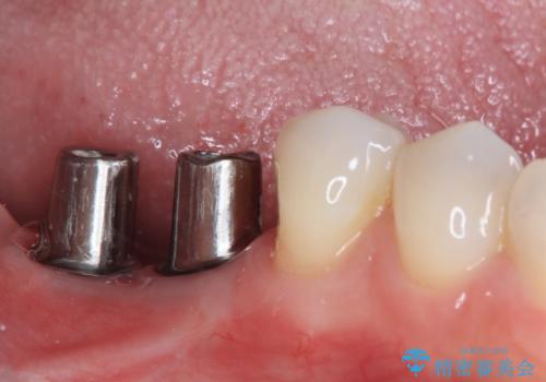
歯の周りの炎症が顕著であったため、抜歯後炎症が治まるのを待ち、咬み合わせが改善できる位置にインプラントを埋入することとしました。
- 費用(概算)
- 治療費の目安: 80万円(税込)費用は治療当時の料金となります
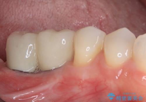
治療について
長年の咬合により、周囲の奥歯がすり減っているため、よりインプラントが長い期間安定するよう、睡眠時にはマウスピースを装着することを強く推奨しています。
インプラント治療の注意事項(リスク・副作用など)
- 外科手術のため、術後に痛みや腫れ、違和感を伴います
- メンテナンスを怠ったり喫煙により、お口の中に大きな悪影響を及ぼすインプラント周囲炎等にかかる可能性があります
- 糖尿病、肝硬変、心臓病等の場合、インプラント治療ができない可能性があります
- 高血圧、貧血・不整脈等の場合、インプラント治療後に治癒不全を招く可能性があります
- 自費診療(保険適用外治療)となります
セラミック治療の注意事項(リスク・副作用など)
- 天然歯を削ります
- 硬い素材は天然歯を傷つけてしまう場合があります
- かみ合わせや歯ぎしりが強すぎる方はセラミックが割れてしまう可能性があります
- 自費診療(保険適用外治療)となります
当サイトの内容、テキスト、画像等の無断転載、複製、複写、盗用を固く禁じます。










