症例詳細
Case detail
伸びてしまった奥歯、咬合平面を揃えたインプラント治療
治療症例の内容
- 担当医
- 大元洋佑(ドクタープロフィール)
- 患者様
- 30代女性
- 矯正装置
- マイクロインプラント
- 治療期間
- 10ヶ月
- 治療回数
- 5-10回
- 治療計画
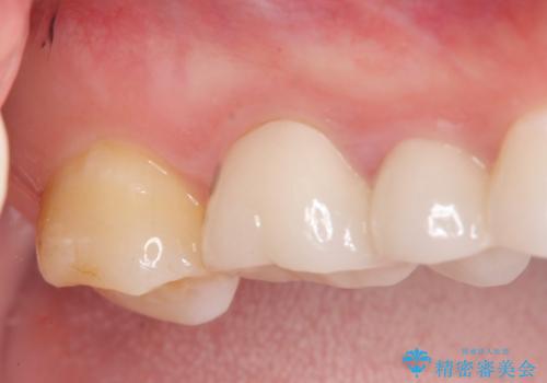
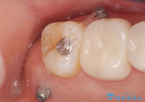
- 右下の歯を虫歯で抜去し、インプラント治療を希望され来院されました。
インプラントを埋入するのに十分な骨は存在しますが、放置した間に上の歯が伸びてきてしまいクラウンのスペース不足な状態です。
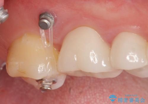
通常このような場合、神経を除去し歯を短くしたのちインプラント治療を行いますが、今回はマイクロインプラントを用いて歯を歯ぐきの方向へ沈めたのち神経を温存する形でインプラント補綴を行いました。
- 費用(概算)
- 44万円(インプラント・アバットメント・ジルコニアクラウン・仮歯・小矯正)費用は治療当時の料金となります
治療について
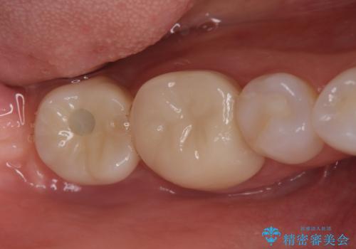
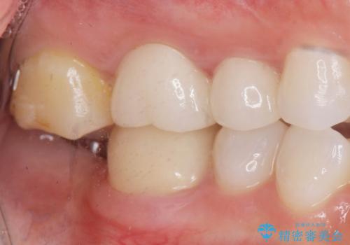
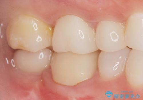
伸びてしまった上の奥歯を、神経もとらず、クラウンにもせず治療することができ、喜んでいただくことができました。
インプラント治療の注意事項(リスク・副作用など)
- 外科手術のため、術後に痛みや腫れ、違和感を伴います
- メンテナンスを怠ったり喫煙により、お口の中に大きな悪影響を及ぼすインプラント周囲炎等にかかる可能性があります
- 糖尿病、肝硬変、心臓病等の場合、インプラント治療ができない可能性があります
- 高血圧、貧血・不整脈等の場合、インプラント治療後に治癒不全を招く可能性があります
- 自費診療(保険適用外治療)となります
当サイトの内容、テキスト、画像等の無断転載、複製、複写、盗用を固く禁じます。













