症例詳細
Case detail
インビザライン矯正 歯を抜かずに出っ歯を改善!
治療症例の内容
- 患者様
- 20代女性
- 矯正装置
- インビザライン
- 治療期間
- 1年
- 治療回数
- 10-30回
- 治療計画
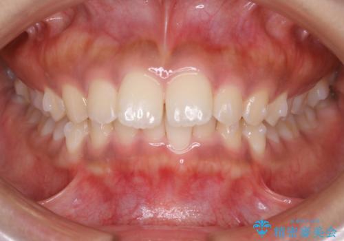
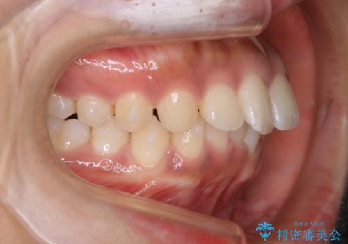
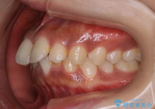
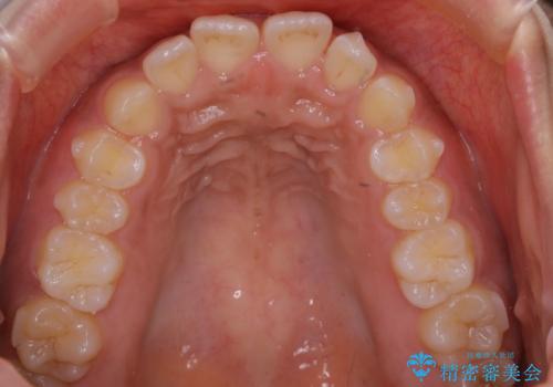
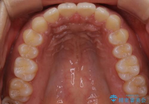
- 出っ歯と前歯の隙間が空いていることを気にされて来院されました。
また、自然な感じで口元を下げていとのことでした。
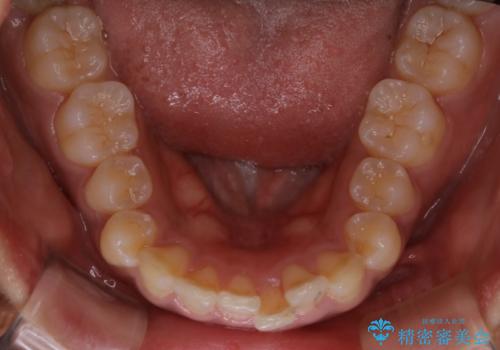
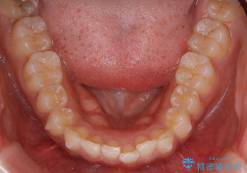
奥歯のかみ合わせが問題なかったため、上顎の前歯の隙間を閉じるとともに、上顎の歯の側面を削ることをメインにして、出っ歯を改善する治療計画としました。
上顎の歯の傾きを変えるうえで、下顎の歯とのバランスのことも考え、下顎の歯の側面も削ることを加えています。
また、今回は口元を変えたい中に、劇的な変化は避けたいとのことだったので、抜歯をしない計画としています。
抜歯をしない場合、口元の変化は感じにくいですが、前歯の傾きが変わることで、口の閉じやすさは感じていただけたとのことです。
- 費用(概算)
- 78.3万円費用は治療当時の料金となります
治療について
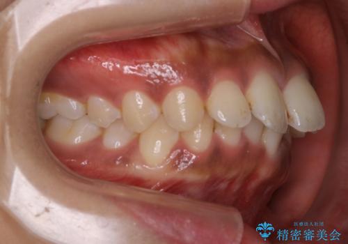
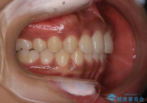
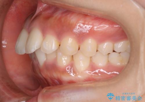
症例にもよりますが、本症例は奥歯のかみ合わせに問題がなかったので歯の側面を削ることメインに、前歯の傾きを改善することができました。
抜歯を行う場合や抜歯をしなくても奥歯の位置をずらす場合は、治療期間が長期化することが多いですが、今回は歯を削ることで改善できたため、短期間で治療を完了することができました。
マウスピース矯正の注意事項(リスク・副作用など)
- 口腔内・歯並びの状態によっては対応できない場合があります
- マウスピース型矯正装置の長時間装着(1日20時間以上)が必須です
- 治療計画通りに進めるためには、患者様の意志が重要になります
- 矯正治療後の保定が不十分だと後戻り(元の位置に戻ろうとする動き)をします
- 薬機法対象外の矯正歯科装置のため医薬品副作用被害救済制度の対象外となる場合があります
- 自費診療(保険適用外)となります
当サイトの内容、テキスト、画像等の無断転載、複製、複写、盗用を固く禁じます。



















